痤疮症状图片

本文由有来医生原创,经专业医师审核校对
所有图片质量和准确性经专业医生严格审查

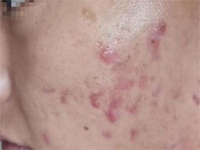
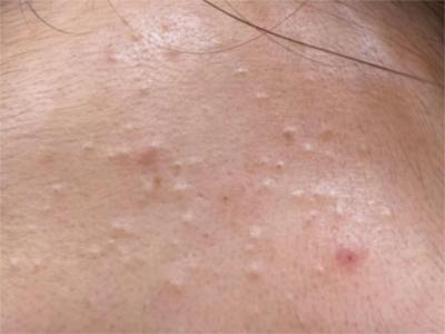
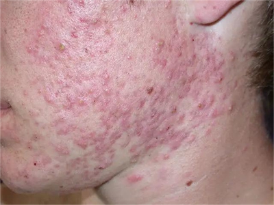
痤疮是发生于皮肤毛囊皮脂腺的一种慢性炎症,好发于青春期,男性多于女性。皮损以白头粉刺和黑头粉刺为初发,随后有丘疹、脓包、结节、囊肿及瘢痕等多型性损害为特征,好发于皮脂腺发达的部位,如面部、胸部等。

痤疮症状图片

痤疮相关知识

痤疮皮损表现为多型性损害,但白头粉刺和黑头粉刺是其最早和最基本的损害。皮损加重后可形成炎症丘疹,顶端可有小脓包;继续发展可形成大小不等的红色结节或囊肿,挤压时有波动感,甚至可化脓形成脓肿,破溃后常形成窦道和瘢痕。本病一般自觉症状轻微,炎症明显时可有疼痛。痤疮病程慢性,时轻时重,多数患者病情至中年期逐渐缓解,部分可遗留红色印记和色素沉着肥厚性或萎缩性瘢痕。
痤疮的发病与多种因素有关,其发病机制一般认为是皮脂分泌过多、毛囊皮脂腺导管过度角化、痤疮丙酸杆菌过度繁殖、各种炎症介质和细胞因子的作用等因素相互作用的结果。药物可以加重痤疮,尤其是口服避孕药、皮质激素、环孢素A和促同化激素类。
痤疮的治疗以控制皮损、预防瘢痕的形成以及降低发病率为目标,主要治疗方法包括一般治疗、全身治疗及局部治疗:
1、一般治疗:少食脂肪和甜食,避免饮酒和刺激性食物,忌用手挤压,常用温水清洁,避免肥皂过度清洗;
2、全身治疗:包括抗雄激素药物,如螺内酯、维甲酸类(如异维A酸等)、抗生素(如四环素类、红霉素类等)、锌制剂等,严重者必要时可用糖皮质激素;
3、局部治疗:可外用维A酸、抗生素等药物,还可采用冷冻、红蓝光照射、光动力等物理治疗以及外科治疗。

参考文献

[1]吴志华,史建强,李定等主编;张锡宝,王建琴,郑敏等副主编.皮肤性病诊断与鉴别诊断[M].北京:科学技术文献出版社,2018.318-620.

[2]张学军,郑捷.皮肤性病学.第9版[M].北京.人民卫生出版社.2018.167-169.

相关疾病

相关科普