寻常痤疮症状图片

本文由有来医生原创,经专业医师审核校对
所有图片质量和准确性经专业医生严格审查

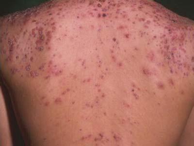
寻常痤疮是一种毛囊皮脂腺的慢性炎症性疾病,具有一定的损容性,各年龄段人群均可患病,但青少年发病率较高。本病的病因多与雌激素及皮脂增加、毛囊皮脂腺开口过度角化、痤疮丙酸杆菌感染及继发炎症反应等因素有关。主要表现为面颊、额部、肩背部等皮脂腺密集区域出现对称分布的炎性丘疹,伴有皮脂溢出。

寻常痤疮症状图片

寻常痤疮相关知识

寻常痤疮皮损好发于面颊、额部、肩背部等皮脂腺密集区域。初发损害为与毛囊一致的圆锥形丘疹,顶端呈黄白色,随后顶端因黑色素沉着形成黑头粉刺,用手可挤出头部呈黑色而其下呈白色半透明的脂栓。稍重时黑头粉刺形成炎性丘疹,顶端可有米粒至绿豆大小的脓疱。
炎症继续发展,可形成大小不等的暗红色结节或囊肿,挤压时可有波动感,破溃后常形成窦道或瘢痕。皮损一般无自觉症状,炎症明显时可伴有疼痛。
寻常痤疮的病因多与雌激素及皮脂增加、毛囊皮脂腺开口过度角化、痤疮丙酸杆菌感染及继发炎症反应等原因有关,部分患者还与遗传、免疫、内分泌障碍、情绪及饮食等因素有关。
寻常痤疮的治疗原则主要为去脂、溶解角质、杀菌消炎及调节激素水平等,主要包括局部治疗、全身治疗、物理治疗等方面。
1、局部治疗:注意用清水洗脸,禁用手挤压及搔抓皮损,可使用复方硫磺软膏、硫磺软膏、过氧苯甲酰凝胶、维A酸乳膏等。避免使用油类化妆品,忌辛辣、高糖饮食。对于结节、囊肿及聚合性痤疮患者的皮损处可使用糖皮质激素做局部封闭治疗。
2、全身治疗:可使用四环素、维A酸类药物抑制痤疮丙酸杆菌,并使用己烯雌酚、黄体酮、螺内酯、西咪替丁等药物,减少皮脂腺分泌,还可选择泼尼松治疗。
3、物理治疗:可联合应用红蓝光照射治疗,杀灭痤疮丙酸杆菌,减轻炎症反应。

参考文献

[1]张巧玲,秦立国,高薇.全国医学高等专科教育“十三五”规划教材 ;外科护理学.第3版[M].南京.江苏凤凰科学技术出版社.2018.384-386.

[2]王聪敏,余明莲,李海涛.老年护理手册丛书 ;皮肤科常见病护理手册[M].北京.中国医药科技出版社.2018.135-136.

[3]张学军.皮肤性病学.第8版[M].北京.人民卫生出版社.2013.175-177.

相关科普