氯痤疮症状图片

本文由有来医生原创,经专业医师审核校对
所有图片质量和准确性经专业医生严格审查

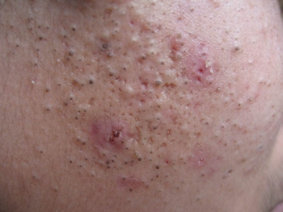
氯痤疮是职业性痤疮的一种类型,是在生产劳动中接触矿物油类或某些卤代烃类引起的皮肤毛囊、皮脂腺系统的慢性炎症损害,多表现为黑头粉刺。

氯痤疮症状图片

氯痤疮相关知识

氯痤疮表现以黑头粉刺为主,常在接触部位发生成片的毛囊性皮损。初发时常为密集的针尖状小黑点,后可逐渐形成较大的黑头粉刺,伴有毛囊口角化,可同时存在有粟丘疹样皮损,炎性丘疹较少见。常发生于耳廓及周围、腹部、臀部及阴囊等处,耳及阴囊等处常有草黄色囊肿。
氯痤疮多由卤代烃类化合物,包括多氯(溴)萘、多氯(溴)联苯、多氯苯、多氯酚、二噁英等引起,其发病机制与皮脂腺
的鳞状上皮增生以及毛囊外根鞘部位的增粗有关,致病物质作用于未分化的皮脂腺细胞,使其转化为角质形成细胞,导致细胞增殖角化,产生黑头及囊肿。
氯痤疮的治疗主要包括局部治疗、物理治疗和全身治疗。
1、局部治疗:及时脱离致病物质,用温水及中性肥皂清洗皮肤,减少油脂附着,并可外用阿达帕林凝胶、红霉素软膏及过氧苯甲酰凝胶等。
2、物理治疗:可选择蓝光、红光治疗仪或使用光动力疗法,对于瘢痕可选择皮肤磨削术或激光换肤治疗。
3、全身治疗:炎症明显或有化脓感染者可口服抗生素,如红霉素、阿奇霉素、米诺环素等,配合维生素A、维生素B6、维生素E及锌制剂口服。

参考文献

[1]李艳.实用皮肤科疾病诊断治疗[M].北京.科学技术文献出版社.2018.136-137.

[2]张嘉勇,巩学敏,刘楠.职业病危害与防治[M].武汉.武汉大学出版社.2018.43-44.

[3]张建中,高兴华.皮肤性病学.第1版[M].北京.人民卫生出版社.2015.148.

相关科普