首页
我的
艾滋病症状图片
本文由有来医生原创,经专业医师审核校对
所有图片质量和准确性经专业医生严格审查
蔡明钢
副主任医师 | 审核医师
广东省人民医院
|
皮肤性病科
艾滋病是人类免疫缺陷病毒引起的一种慢性传染病,可通过性接触、血液、母婴这3种途径进行传播。具体可分为艾滋病急性感染期、无症状感染期和艾滋病期。其中无症状感染期一般无特殊表现,艾滋病急性感染期和艾滋病期可出现皮肤表现、淋巴结肿大、发热、咽炎、头痛、肌肉关节痛、体重下降等表现。
艾滋病的分期和症状图片
艾滋病急性感染期
面部
结节
艾滋病急性感染期面部红色结节图
艾滋病急性感染期皮损发生于面部,表现为皮肤上陆续出现疱疹,初起为单个或多个红色、紫红色斑疹、丘疹和结节,后来皮损颜色加深,数量增多。
下巴
小红疙瘩
艾滋病急性感染期下巴一片小红疙瘩图
艾滋病急性感染期可在下巴出现皮疹表现,呈红色或红褐色,类似于小红疙瘩,多数为散在出现,数量多时也会连接成片,边界不清楚,抓挠后可破溃、渗液。
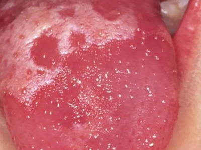
舌头
白斑
艾滋病急性感染期舌头上有一层白斑图
艾滋病急性感染期表现为舌头黏膜表面形成白色凝乳块物质,即白斑,不易拭去,使舌头表面变得粗糙、增厚,多为念珠菌感染,严重时可发展成口腔炎、食管溃疡。
口腔
白斑
艾滋病急性感染期口腔黏膜白色斑块图
艾滋病急性感染期患者发生口腔炎,表现为口腔黏膜白色斑块,甚至分布在咽后壁以及咽部位置,不易擦去,伴有咽痛、发热等全身症状。
口腔
坑
艾滋病急性感染期口腔唇内侧有凹坑图
艾滋病急性感染期患者的身体免疫力较差,极易发生感染,发生在口腔部位,表现为口腔唇内侧血疱,或者破溃成红色凹坑,患者有明显的局部疼痛感。
舌头
白斑
艾滋病急性感染期舌头白色斑块图
艾滋病急性感染期发生口腔部位的不适症状,表现为舌头白色附着物,尤其是舌头边缘比较明显,呈苍白色斑块,不易拭去,伴有发热、乏力等不适症状。
舌头
红肿
艾滋病急性感染期舌头上白色毛状物红肿图
艾滋病急性感染期发生皮损以及口腔炎症情况,表现为舌头部位有白色毛状物,舌苔厚重,同时还伴有舌乳头红肿,部分伴有咽痛、发热等症状。
嘴唇
红肿 · 结痂
艾滋病急性感染期上嘴唇长红疹流脓结痂图
艾滋病急性感染期发生病毒感染,表现为上嘴唇长红疹,以及嘴唇红肿的症状,并在红疹部位出现流脓结痂的情况,同时伴有张口困难。
嘴唇
水疱
艾滋病急性感染期嘴唇上白色透明水疱图
艾滋病急性感染期表现为上嘴唇长了一片白色透明水疱,疱壁紧张,容易破溃,除去表面一层皮后可露出潮红的肤色,病情严重时可发生溃疡、结痂,不留瘢痕,伴有轻度瘙痒或烧灼感。
嘴唇
水疱 · 黄痂
艾滋病急性感染期嘴唇水疱破溃结黄痂图
艾滋病急性感染期发生嘴唇感染的情况,表现为嘴唇上簇集发生的小水疱,并在破溃后结黄色痂皮,同时患者的嘴唇干燥、起皮。
舌头
红肿
艾滋病急性感染期舌头有白色毛状物红肿图
艾滋病急性感染期导致口腔感染,舌头上有大片分布的白色毛状物,不易拭去,同时伴有口角发白以及舌乳头红肿,或者发热、咽痛等不适症状。
耳后
小红疙瘩
艾滋病急性感染期耳后小红疙瘩图
艾滋病急性感染期可在耳后出现暗红色皮疹,类似于小红疙瘩,散在分布,直径较小,米粒至绿豆大小,形状不规则,多呈圆形或类圆形,多没有瘙痒,偶尔出现轻度压痛。
耳后
肿块
艾滋病急性感染期耳后肿块图
艾滋病急性感染期可在患者耳后观察到一个肿块,形状不规则,边界不清,高出于皮肤表面,常为局限性,无疼痛感,平时应多注意休息,病情好转后可消退。
耳后
包块
艾滋病急性感染期耳朵后面发红鼓起包块图
艾滋病急性感染期表现为局部淋巴结肿大,发生在耳朵后面,表现为发红,以及耳根处鼓起两个包块,触摸质地较硬,并有明显的痛感。
耳后
疙瘩
艾滋病急性感染期耳后红色疙瘩图
艾滋病急性感染期表现为耳后长出红色团状疹子,类似于红色疙瘩,皮疹为2-5mm大小,若皮损严重还会在局部形成暂时的皮肤色素沉着,同时有明显瘙痒感。
耳后
大包
艾滋病急性感染期耳朵后面鼓起一个大包图
艾滋病急性感染期导致耳朵后面淋巴结肿大,类似于鼓起一个大包,皮损肤色正常,同时伴有局部明显的压痛感,患者还可出现乏力、咽痛等症状。
侧颈
肿块
艾滋病急性感染期颈部侧边肿块图
艾滋病急性感染期在颈部侧边出现淋巴结肿大的症状,肿块质地柔软,与周围界限不清楚,肿大部位颜色正常,同时伴有发热、乏力、消瘦等症状。
侧颈
肿块
艾滋病急性感染期颈部侧边有肿块图
艾滋病急性感染期皮损发生在颈部侧边,可见患者左侧颈部有一个凸起的小肿块,也就是淋巴结肿大,肿块呈半球形,边界不清,质地柔韧,无压痛,无粘连。
前颈
红点
艾滋病急性感染期颈部前面皮肤红点图
艾滋病急性感染期患者于颈部前面出现红点,即丘疹或斑疹,红点大小不一,伴有瘙痒,同时有头痛、皮损、淋巴结肿大等非特异性表现。
前颈
疙瘩
艾滋病急性感染期颈部前面好几颗红色疙瘩图
艾滋病急性感染期的皮损症状可发生在任何部位,表现为颈部前面散在分布的斑疹和丘疹样小疹子,类似于红色疙瘩,为2-5mm大小,患者有明显的瘙痒感。
前颈
肿块
艾滋病急性感染期颈部前面肿起一块图
艾滋病急性感染期因为免疫力下降,导致颈部前面淋巴结肿大,表现为肿起一块,像肿块一样,伴有局部触痛感,以及发热、咽痛等不适症状。
侧颈
肿块
艾滋病急性感染期颈部侧边有明显凸起肿块图
艾滋病急性感染期表现为颈部侧边淋巴结肿大,表现为明显凸起的肿块,以及皮肤有红色丘疹,在进行局部触诊时有明显触痛感,并伴有皮肤瘙痒症状。
侧颈
包块
艾滋病急性感染期侧颈部包块图
艾滋病急性感染期有部分患者出现侧颈部淋巴结肿大,在局部看到明显的肿胀性包块,触摸局部有触痛感,同时还伴有发热、咽痛等不适症状。
侧颈
包块
艾滋病急性感染期颈部侧边凸起一个包块图
艾滋病急性感染期患者淋巴结肿大,表现为颈部侧边有一个凸起的包块,触摸质地坚韧,但有明显的触痛感,同时部分患者伴有发热、咽痛等症状。
侧颈
肿块
艾滋病急性感染期颈部侧边有个肿块图
艾滋病急性感染期可出现淋巴结肿大,表现为患者颈部侧边隆起一个小肿块,蚕豆大小,境界不清,与局部皮肤无粘连,且不易推动,可伴有发热、疼痛等症状。
侧颈
肿块
艾滋病急性感染期颈部侧边肿块图
艾滋病急性感染期表现为患者颈部侧边有肿块,造成颈部两侧不对称,右侧明显肿胀,肿大的淋巴结质地较软,局部皮肤出现大片不规则红斑,可有轻微压痛感。
背部
水疱
艾滋病急性感染期背部透亮水疱图
艾滋病急性感染期患者继发感染,背部反复出现透亮水疱,类似于稻米大小,顶端可以伴有白色脓疱,基底部潮红。此病难以查明病因,难以治愈。
背部
水疱
艾滋病急性感染期背部红色水疱图
艾滋病急性感染期患者背部皮肤上出现丘疹,2-5mm大小,互不融合。若皮损加重,出现水疱,周围绕有红晕,提示继发感染,由于患者免疫力低下,难以治愈。
背部
丘疹
艾滋病急性感染期背部大片红斑疹图
艾滋病急性感染期患者,背部皮损表现为大片红色斑丘疹,直径多为2-5mm,绿豆至黄豆大小,散在分布,互不融合,伴有不同程度的瘙痒感。
背部
结痂 · 红斑
艾滋病急性感染期背部红斑溃烂结痂图
艾滋病急性感染期发生无特异性皮损症状,表现为背部有大小不等的红斑,并在红斑基础上发生溃烂、结痂的情况,甚至还有脱皮表现,大多数皮损在1个月内能自行消退。
背部
疙瘩 · 结痂
艾滋病急性感染期背上长满了红色疙瘩结痂图
艾滋病急性感染期背上长满了红色疙瘩,皮损为2-5mm大小,并逐渐相互融合成较大的皮疹,顶端有干燥、结痂的情况,皮损症状大多数在1个月内自行消退。
背部
疙瘩
艾滋病急性感染期背上长满了红色疙瘩图
艾滋病急性感染期表现为不典型的皮损症状,背上长满红色疱疹和小斑点样皮疹,类似于大小不等的红色疙瘩,皮损大多为2-5mm大小,能相互融合呈较大的皮损,同时患者有明显的瘙痒感。
背部
红斑
艾滋病急性感染期背上红色斑点连成斑片图
艾滋病急性感染期表现为患者背部出现大片红斑,可散在分布也可相互融合连成斑片状,形状不规则,边界不清,顶端常有小丘疹,抓破后露出潮红的基底面。
胸部
小疙瘩
艾滋病急性感染期胸部小红疙瘩图
艾滋病急性感染期患者有皮肤表现,在胸部出现斑疹或丘疹,外观似红色小疙瘩,密集不规则分布,微隆起于皮肤表面,继发感染时症状加重。
腋窝
肿块
艾滋病急性感染期腋窝肿块图
艾滋病急性感染期表现为患者腋窝凸出一个小肿块,呈半球形,直径大于1厘米,质地坚韧,难以推动,病损部位皮肤紧绷、发红,患者无自觉症状。
腋窝
大包
艾滋病急性感染期腋窝长了一个大包图
艾滋病急性感染期表现为腋窝淋巴结肿大以及皮损症状,并在鼓胀的淋巴结节上长有一颗散在的红疹,患者腋窝像长了个大包,同时伴有局部触痛感以及瘙痒感。
腹部
红斑
艾滋病急性感染期腹部圆形红斑图
艾滋病急性感染期出现不同形态的皮损症状,如腹部有圆形红斑,呈圆环状,红斑中间为正常的肤色,边缘有红肿凸起的丘疹,患者有明显瘙痒感。
腰部
红点
艾滋病急性感染期腰部大片红斑点图
艾滋病急性感染期表现为发热、乏力、咽痛及全身不适症状,也会出现皮肤表现,为2-5mm大小的红斑点,数目并不固定,从几个到几百个不等,严重时腰部红斑点连成一片。
胳膊
疙瘩
艾滋病急性感染期胳膊密密麻麻疙瘩图
艾滋病急性感染期患者胳膊出现多发性皮疹,数百个不等,表现为密密麻麻的疙瘩,在1-2周消退,在发疹前会有发热、体重下降等全身症状。
胳膊
红斑
艾滋病急性感染期胳膊粉红色斑块图
艾滋病急性感染期部分患者有不典型的皮损症状,表现为胳膊上有粉红色斑块,并在斑块基础上形成风团或者红疙瘩,呈片样不规则分布。
胳膊
红斑
艾滋病急性感染期胳膊上的红色斑连成一片图
艾滋病急性感染期表现为整条胳膊上有红色斑,并相互融合连成一片,不规则分布,同时在红斑的基础上有丘疹出现,患者有明显瘙痒感。
胳膊
丘疹
艾滋病急性感染期胳膊上有成片红色小丘疹图
艾滋病急性感染期可在胳膊上出现非特异性荨麻疹,表现为红色丘疹,融合成片,边界不清,表面有许多小红点,严重时可脱屑,覆盖大量鳞屑,伴有瘙痒。
胳膊
疙瘩
艾滋病急性感染期胳膊上长满了红色疙瘩图
艾滋病急性感染期有不典型的皮损症状,表现为荨麻疹样皮疹,导致胳膊上长满红色疙瘩,相互融合成2-5mm大小,触摸有颗粒感,并有明显瘙痒症状。
胳膊
红斑
艾滋病急性感染期胳膊成片像红斑图
艾滋病急性感染期皮损见于胳膊部位,出现疱疹或结节,呈红色,随后颜色加深、数量增多,逐渐融合成片,分布不规则,并伴有明显疼痛感。
胳膊
红斑
艾滋病急性感染期胳膊两大块片状红斑图
艾滋病急性感染期胳膊上出现两大块片状红斑,或呈淡粉色,皮损边缘不清楚,能够逐渐增多并相互融合,患者多伴有不同程度的瘙痒感。
胳膊
红斑
艾滋病急性感染期胳膊上大片斑点图
艾滋病急性感染期可在胳膊上出现多形性皮损,表现为略微隆起的细小暗色红斑、在红斑基础上有凸起的小丘疹,呈暗红色改变,可分散也可密集成片。
小腿
红点
艾滋病急性感染期小腿上起红点图
艾滋病急性感染期表现为患者小腿出现大片小红点,对称分布,以红色的丘疹、斑疹为主,境界较清,中间有毛发穿过,自觉瘙痒明显时可遵医嘱涂抹药膏。
大腿
疙瘩
艾滋病急性感染期大腿多处红疙瘩图
艾滋病急性感染期皮疹为互不融合的斑疹和丘疹,即俗称的红疙瘩,凸出于大腿皮肤表面,数量为几个或数百个,有的单一分布,有的群集分布。
大腿
水疱 · 结痂
艾滋病急性感染期大腿皮肤水疱结痂图
艾滋病急性感染期部分患者大腿皮肤上出现水疱,易反复发作,水疱破溃后有结痂形成,同时患者伴有发热、乏力、咽痛及全身不适等症状。
膝盖
红斑
艾滋病急性感染期膝盖红色斑块图
艾滋病急性感染期有部分患者表现为膝盖至小腿位置布满红色斑块,形状不规则,同时在红斑基础上有明显的风团样红疙瘩,患者局部皮肤瘙痒明显。
大腿
红斑
艾滋病急性感染期大腿红色团状斑片图
艾滋病急性感染期表现为大腿皮肤上有明显的粉红色斑片,形态不规则,并在其上方有团块斑片,患者有明显瘙痒感,在挠抓后皮损加重。
大腿
红斑
艾滋病急性感染期大腿上红色斑块接连成片图
艾滋病急性感染期在皮损早期,表现为两侧大腿出现片状红斑,可单发也可多发,直径较大,如鹌鹑蛋大小,红斑外面绕以线状红晕,并呈弥漫分布。
大腿
丘疹
艾滋病急性感染期大腿上小丘疹图
艾滋病急性感染期可见于大腿部,皮损呈多样性,表现为红色、暗红色的斑丘疹,密集成片,针尖至米粒大小,边界不清,周围有红晕,并伴有不同程度的瘙痒感。
小腿
糜烂
艾滋病急性感染期小腿疹子糜烂图
艾滋病急性感染期部分患者表现为小腿大小不等的小红疹,部分抓挠后破皮露出血色糜烂面,相邻位置较近的可互相融合。局部皮肤肿胀、隆起,颜色发白。
手背
丘疹
艾滋病急性感染期手背上红色丘疹图
艾滋病急性感染期可观察到患者手背部出现红色斑丘疹,孤立散在或是相互融合成片,大小不一,形状不规则,周围绕以红晕,愈后不留有色素沉着。
手腕
红点
艾滋病急性感染期手腕红点图
艾滋病急性感染期发生在感染HIV后1-2周,患者在手腕处出现红点,但并非是特异性表现,同时伴有发热、淋巴结肿大、关节痛等症状。
手掌
圆疙瘩
艾滋病急性感染期手掌大红圆疙瘩图
艾滋病急性感染期发生手掌的皮损表现,表现为手掌密集分布的大红色圆疙瘩,并且在中间有结痂,触摸局部有粗糙感,患者有明显瘙痒感。
手指
疙瘩
艾滋病急性感染期手指长红疙瘩图
艾滋病急性感染期表现为手指长红色皮疹,类似于红色疙瘩,其散在分布,形状不规则,常因搔抓形成点状溃烂面,有明显浆液渗出,导致局部皮肤浸润、粗糙。
手背
水疱
艾滋病急性感染期手背上水疱破裂白膜覆盖图
艾滋病急性感染期因为全身免疫力低下,被致病菌侵袭后表现为手背上长有水疱,并在发生破裂后形成白膜覆盖,患者有明显的瘙痒感。
艾滋病期
面部
黄痂
艾滋病期脸上有大片黄色痂块图
艾滋病期脸颊上有表面凹凸不平的黄色痂块,中间有少许的正常皮肤,痂块表面覆有油腻性的橙黄色物质,黄痂周围没有红晕,属于比较严重的情况。
下巴
丘疹
艾滋病期下巴两侧发红长疹子图
艾滋病期患者可出现类似痤疮样皮损,下巴两侧出现炎性丘疹、脓疱、结节等,呈红色,由于患者免疫力低下,皮损可逐渐加重,数目逐渐增多。
眼睑
丘疹
艾滋病期眼皮上长小丘疹图
艾滋病期患者眼皮上可长出扁平疣,主要表现为圆形或类圆形丘疹,高起于皮肤,表面光滑、质地坚硬,与皮肤颜色一致,看起来像是眼皮上长小肉球一样。
舌头
白斑
艾滋病期舌头上有毛状白斑图
艾滋病期患者舌头上有多个毛状白斑,颜色深浅不一,而且分布并不规则,白斑不容易被擦掉,随疾病的进展白斑面积会不断扩大,颜色也会逐渐加深变为黄白色或黄色。
舌头
红肿 · 白斑
艾滋病期舌头红肿有白斑图
艾滋病期舌头表面红肿明显,整体呈鲜红色,舌头根上有形状不规则的白斑,可以使用白斑擦掉红斑露出鲜红色的舌黏膜,并可能伴有出血情况。
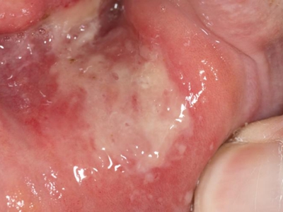
唇内侧
溃疡
艾滋病期嘴唇内侧有个白色大溃疡图
艾滋病期患者嘴唇内侧有一块面积相对较大的白色溃疡,形状并不规则,周围有红晕,溃疡表面稍微有些不平,但是整体与周围黏膜平齐。
舌侧
小红疙瘩
艾滋病期舌头侧面有几个红色疙瘩图
艾滋病期患者舌头侧面有几个米粒大小的红色小疙瘩,互相并不会融合,同时有舌面发白且舌苔明显增厚,患者一般不会有疼痛、瘙痒等不适。
嘴唇
白斑
艾滋病期嘴角和舌头上有白斑图
艾滋病期患者嘴角以及舌头发红,并且覆有一层灰白色物质,看上去像是表面有白斑,而且嘴唇比较干燥,上面会有小横纹或放射状裂纹,患者可能会有轻微的疼痛。
口腔
白斑
艾滋病期口腔有白色大片黄白色斑片图
艾滋病期患者口咽上有一层黄白色的乳凝状的斑片,附着在黏膜表面,微高于黏膜表面,用棉签大力擦拭后会看到红色的创面,但不会有出血。
口腔
溃疡
艾滋病期上腭溃疡面有一层白膜图
艾滋病期患者上腭黏膜上会有形状不规则的大片溃疡,表面覆有一层白色的假膜,边缘界限清晰,周边伴有红晕,严重者可累及喉部,会有明显疼痛。
口腔
肉赘
艾滋病期嘴里长了好多肉赘表面发白图
艾滋病期患者口腔内可出现尖锐湿疣,表现为嘴唇内侧黏膜出现粉红色赘生物,可单发或数量逐渐增多,呈菜花状、鸡冠样或蕈样,有的可彼此融合,表面亦可角化发白。
舌侧
溃疡
艾滋病期舌头长溃疡图
艾滋病期患者易合并复发性口腔溃疡,患者舌头上出现圆形溃疡,溃疡面为凹状、周围充血,患者自觉疼痛剧烈,灼痛难忍,可反复发病,迁延不愈。
舌头
白斑
艾滋病期舌头上白色斑块图
艾滋病期患者常合并口腔念珠菌感染,可见患者舌头表现出现白色凝乳块物质,形状不规则,质地柔软,但不易剥除,若强行去除,可见患处潮红,甚至出现出血症状。
唇内侧
溃疡
艾滋病期下嘴唇内侧有一块溃疡图
艾滋病期患者可出现复发性口腔溃疡,下唇内侧黏膜出现浅表性溃疡,损害米粒至黄豆大小不等,呈圆形或卵圆形,周围充血红肿,患者自觉疼痛,进食和说话都受到影响。
舌头
条纹
艾滋病期舌头上有白色条纹图
艾滋病期可出现口腔念珠菌感染,表现为舌头表面形成白色凝乳物质,外观看似条纹状,不易拭去,强行剥脱后,局部黏膜潮红甚至出血。
口腔
白斑
艾滋病期嘴巴内侧长白斑图
艾滋病期患者免疫力低下,易合并口腔念珠菌感染,嘴唇内侧可出现许多散在的乳白色斑块,状如凝乳,稍突起,可扩大融合成大小不等的斑块状疮面。
口腔
溃疡
艾滋病期上腭有好几个溃疡图
艾滋病期患者可合并复发性口腔溃疡,临床可见口腔黏膜损害,表现为口腔内出现浅表溃疡,上有假膜覆盖,溃疡数目不定,几个或十几个都有可能。
舌头
白斑
艾滋病期舌头上长白斑图
艾滋病期患者易合并口腔念珠菌感染,舌体表面可覆盖一层白色斑片,周围无炎症反应,用手轻轻擦拭,白斑不易去除,患者可有口干、烧灼等不适症状。
口腔
白斑
艾滋病期嘴里有白斑图
艾滋病期患者合并条件性感染,如口腔念珠菌感染,患者口腔内黏膜出现白色片状小点,状似凝乳块,且不易擦去,如果强行剥除,可见患处粗糙发红,甚至溢血。
口腔
肿块
艾滋病期上腭有一块紫红色肿块图
艾滋病期累及上腭,表现为紫红色的肿物,表面凹凸不平,皮损面积较大,黏膜紧张易出血,边缘与正常的黏膜界限清晰,患者有明显的异物及疼痛感。
唇内侧
糜烂 · 白斑
艾滋病期嘴唇里面有白斑溃烂图
艾滋病期翻开患者的上嘴唇会看到分布不规则、颜色不均匀的片状白斑,使用棉签擦拭点白斑后,会露出粗糙的出血性糜烂面,白斑会逐渐增多、扩大并互相融合。
侧颈
肿块
艾滋病期脖子一侧出现圆形肿块图
艾滋病期导致患者脖子一侧淋巴结肿大,约有核桃大小,表面光滑,与周围组织粘连,不易推动,质地偏硬,无触痛感,可伴有发热、乏力的全身症状。
颈部
小疙瘩
艾滋病期脖子有暗红色小疙瘩图
艾滋病期患者脖子上有暗红色丘疹,类似痤疮样皮损,表现为略微高出皮肤表面,呈散在分布,后期发展可逐渐增多,并连接成片,甚至会发生破溃。
侧颈
肿块
艾滋病期脖子侧面鼓起一块图
艾滋病期患者可出现淋巴结肿大,可见颈侧面出现持久肿块,直径在1cm以上,质地坚硬,不与周围组织粘连,用手指轻轻按压,无疼痛症状。
颈部
肿块
艾滋病期脖子上鼓起一小块包图
艾滋病期的特征性表现为淋巴结肿大,好发部位为颈部,皮损直径在1cm以上,按压时无疼痛,能自由活动,且可维持相当长的一段时间。
颈部
丘疹
艾滋病期脖子上长红色疹子图
艾滋病期患者颈部可出现类似痤疮样皮损,形态多样,为红色炎性丘疹,数目不定,半球形或圆锥形,也可表现为脓包、结节、白头粉刺等。
背部
水疱 · 红斑
艾滋病期后背红斑上长水疱图
艾滋病期是发展成为艾滋病的一个阶段,在此期间患者易合并其他感染,若并发水痘,患者背部可见出现数量不等的红斑,并在此基础上出现小水疱,疱液澄清,互不融合。
背部
水疱 · 红斑
艾滋病期背上长紫红色斑上面有水泡图
艾滋病期患者免疫力低下,易合并疱疹病毒感染,表现为背部及肋间皮肤出现大片潮红、紫红斑,之后在此基础上出现黄豆大小的水疱,簇状分布不融合,痛感强烈。
背部
脱屑 · 红斑
艾滋病期背部长红色斑上面起皮图
艾滋病期患者可出现玫瑰糠疹,全身多处可见,皮损为玫瑰色淡红斑,呈椭圆形或环状,边界清楚,上覆细小白色鳞屑,可伴不同程度的瘙痒。
背部
小红疙瘩
艾滋病期后背有很多淡红色小疙瘩图
艾滋病期患者的后背上会出现密密麻麻的小红疙瘩,分布在整个背部,数目不定,多会融合成片状,疙瘩中间能看到正常的皮肤,患者伴有瘙痒感。
背部
水疱
艾滋病期后背起了一大片水疱图
艾滋病期患者后背有一大片红色水疱,是由多个大小不等、形状不规则的水疱组成,水疱的疱壁紧张并呈半透明状,周围绕有红晕,多是感染疱疹病毒所致。
胸部
丘疹
艾滋病期胸上长满红色小疹子图
艾滋病期皮损多样,可类似痤疮样,表现为数目不定的丘疹,暗红色或紫红色,散在分布,高起于皮肤,触摸时高低不平,常发生于胸部。
胸部
疙瘩
艾滋病期胸上面有紫红色疙瘩图
艾滋病期患者可合并卡波西肉瘤,临床可见患者胸部出现暗红色、紫红色结节,状似疙瘩,单发或多发,可逐渐增大、融合,部分皮损可形成溃疡。
胸部
小红疙瘩
艾滋病期胸口有很多暗红色小疙瘩图
艾滋病期患者的胸口有散在分布多个暗红色的小疙瘩,数目较多,孤立存在,约有花生粒大小甚至更大,质地如橡皮,可发生溃疡,甚至是坏疽。
腋窝
黑斑
艾滋病期腋窝上有黑色斑块图
艾滋病期患者易出现皮肤黏膜病变,可合并卡波西肉瘤,初起皮损表现为紫色或青黑色斑点,后逐渐增长为坚实结节,边界不清晰,可互相融合。
乳房
丘疹
艾滋病期乳房上长好多疹子中间凹陷图
艾滋病期易合并其他感染,患者可出现传染性软疣,乳房长出数个粟粒大小的丘疹,半球形,有蜡样光泽,高出于皮肤,顶端凹陷有脐窝,能挤出乳酪样软疣小体。
腹部
丘疹
艾滋病期肚子上都是红色疹子图
艾滋病期患者肚子上可出现毛囊炎样皮损,表现为红色充实性丘疹,数目多少不一,大多成批出现,互不融合,由于患者免疫力低下,丘疹可继发感染,继而导致化脓。
肛门
疙瘩
艾滋病期肛周有灰白色疙瘩图
艾滋病期患者肛门周围有针尖至米粒大小的灰白色疙瘩,呈乳头状或菜花状,质地较软、表面湿润,可以聚集在一起但不会融合为整个,周围会有散在的小疙瘩。
肛周
肉球
艾滋病期肛周有菜花状小肉球图
艾滋病期可在肛周出现尖锐湿疣的表现,可见乳头状的小肉球,颜色为灰褐色,质地柔软,呈块状,边缘还可见很多半球形的小疙瘩。
肛周
肉粒
艾滋病期肛周有多个小肉粒图
艾滋病期患者的肛周会有很多小肉粒,部分根部有蒂,质地柔软,顶端稍尖锐,呈灰白色,易发生糜烂渗液,触之易出血,会有疼痛及便血。
阴茎
小疙瘩
艾滋病期阴茎根部有一个灰色小疙瘩图
艾滋病期男性患者的阴茎根部长有一个灰色的圆形小疙瘩,呈隆起的扁平状,约有绿豆大小,中间有一个线状的凹陷,一般无明显的感觉。
阴茎
水疱
艾滋病期阴茎长淡红色透明水疱图
艾滋病期阴茎上有多个淡红色、半透明的小水疱,呈播散性分布,通常患者合并有单纯疱疹时会出现症状,皮损可能会长期不愈合并形成溃疡。
胳膊
红斑
艾滋病期胳膊上长了很多红斑图
艾滋病期患者可有玫瑰糠疹样皮损,临床可见上肢出现散在分布的淡红色斑,数量、大小不等,形状不规则,患者自觉有不同程度的瘙痒。
胳膊
水疱 · 红斑
艾滋病期胳膊上有红斑水疱图
艾滋病期容易感染疱疹病毒,临床可见患者皮肤上局部先出现红斑,在红斑基础上出现针头大小的丘疱疹或水疱,疱破后可有糜烂、渗出。
胳膊
脱屑 · 红斑
艾滋病期胳膊上好多红斑掉皮图
艾滋病期会出现皮肤黏膜病变,皮损可类似毛发红糠疹,表现为边界清楚的红色斑块,上覆有鳞屑,数目众多,大小不同,好发于上肢部位。
肘部
脱屑 · 红斑
艾滋病期胳膊肘上有红斑白色鳞屑图
艾滋病期患者可出现毛发红糠疹样皮损,上肢肘部皮表长有红色斑块,上面覆有白色鳞屑,用手轻轻触摸,可感到皮肤表面粗糙、增厚。
胳膊
结节
艾滋病期胳膊上有多个暗紫色结节图
艾滋病期的患者胳膊上会看到几片形状不规则的紫红色结节,质地坚硬,隆起于皮表,表面凹凸不平,看似乳头状,周围还有许多圆形的紫色斑点。
小腿
硬疙瘩
艾滋病期小腿上长好多硬疙瘩图
艾滋病期患者小腿部可长有寻常疣,皮损为角质增生性突起,境界清楚,表面粗糙,显示不规则,数目不定,质地略坚硬,看起来像是腿上长了好多硬疙瘩。
小腿
脱屑 · 红斑
艾滋病期小腿上长好几块红斑还脱皮图
艾滋病期皮损表现可呈银屑病样改变,为大片的红色斑块,边界清楚,数目不定,表面覆盖白色鳞屑,刮去鳞屑可见半透明薄膜,呈淡红色,略有光亮。
小腿
丘疹
艾滋病期小腿上长红色小疹子图
艾滋病期患者可合并出现皮肤黏膜病变,表现为银屑病样,呈红色丘疹或斑丘疹,形态多样,如点滴状、斑块样等,数目不定,表面可覆有鳞屑。
手指
疙瘩
艾滋病期手指头上长个疙瘩图
艾滋病期患者可并发寻常疣,皮损为质地略硬的角质化赘生物,小如米粒,大如黄豆,突出于手指皮肤表面,呈色灰白或垢黄,看起来像个疙瘩。
手掌
红斑
艾滋病期手上有好多红色斑块图
艾滋病期患者可出现皮肤黏膜病变,皮损形态多样,可出现红斑狼疮样皮损,表现为一片或数片红斑,呈鲜红色或紫红色,境界清楚,表面光滑。
脚底
疙瘩
艾滋病期脚底有粗糙的疙瘩图
艾滋病期患者可患跖疣,表现为脚部出现乳头状角质增生,为赘生物,表面粗糙,状似疙瘩,呈灰黄或污灰色,表面常有散在小黑点。触碰时疼痛明显,用手挤压则疼痛加剧。
脚背
红点 · 脱屑
艾滋病期脚上长很多小红点脱屑图
艾滋病期患者可出现银屑病样皮损,表现为边界清楚的红色斑块,形状多样,如点滴状,看起来像小红点,数量众多,上覆有银白色鳞屑。
艾滋病相关知识
艾滋病分为艾滋病急性感染期、无症状感染期和艾滋病期,无症状感染期无特殊表现。艾滋病急性感染期和艾滋病期表现有一定的差异,具体可能会出现类似感冒的症状,如发热、咽炎、淋巴结肿大,身上可出现斑疹、丘疹、疱疹、疣状增生等表现。
艾滋病由人体免疫缺陷病毒引起,性接触是最常见的传播途径之一,但也可通过血液传播、母婴传播等途径患病,导致机体免疫细胞功能受损,或是出现缺陷,最终因并发严重感染、肿瘤等不良情况而去世。
艾滋病患者需要通过抑制病毒复制,重建或维持免疫功能来控制病情,可以应用抗反转录病毒制剂来达到此目的,常见的如叠氮胸苷、拉米夫定、阿巴卡韦等。在治疗过程中,患者需要定期检查临床评估及实验室检测,以明确治疗效果,并随时调整治疗方案。
参考文献
[1]张学军,郑捷.皮肤性病学.第9版[M].北京.人民卫生出版社.2018.223-227.
[2]李兰娟,任红.传染病学.第9版[M].北京.人民卫生出版社.2018.122-132.
相关疾病
艾滋病感染性皮肤损害图
艾滋病非感染性皮肤损害图
艾滋病皮肤肿瘤图
艾滋病期图
艾滋病急性感染期图
相关科普
什么是艾滋病
韩雪
银川市疾病预防控制中心
艾滋病是怎么来的
赵清霞
郑州市第六人民医院
艾滋病怎么得的
卢联合
首都医科大学附属北京地坛医院
什么是艾滋病
吴焱
首都医科大学附属北京地坛医院
什么是艾滋病
褚瑞海
潍坊市人民医院
艾滋病怎么来的
杨立刚
南方医科大学皮肤病医院
艾滋病是怎么造成的
李鑫
首都医科大学附属北京地坛医院
艾滋病是艾滋病病毒侵入什么系统
刘芳
河北医科大学第三医院
艾滋病会自己产生吗
李侗曾
首都医科大学附属北京佑安医院
什么是艾滋病的潜伏期
吴焱
首都医科大学附属北京地坛医院