首页
我的
艾滋病急性感染期症状图片
本文由有来医生原创,经专业医师审核校对
所有图片质量和准确性经专业医生严格审查
蔡明钢
副主任医师 | 审核医师
广东省人民医院
|
皮肤性病科
艾滋病急性感染期是从感染HIV到发展为艾滋病的一个阶段,通常发生在接触HIV后1-2周,主要表现为发热、乏力、咽痛及全身不适症状。少数患者可有头痛、皮损、淋巴结肿大等表现。上述表现多在1个月内消失。
艾滋病急性感染期症状图片
面部
结节
艾滋病急性感染期面部红色结节图
艾滋病急性感染期皮损发生于面部,表现为皮肤上陆续出现疱疹,初起为单个或多个红色、紫红色斑疹、丘疹和结节,后来皮损颜色加深,数量增多。
下巴
小红疙瘩
艾滋病急性感染期下巴一片小红疙瘩图
艾滋病急性感染期可在下巴出现皮疹表现,呈红色或红褐色,类似于小红疙瘩,多数为散在出现,数量多时也会连接成片,边界不清楚,抓挠后可破溃、渗液。
舌头
白斑
艾滋病急性感染期舌头上有一层白斑图
艾滋病急性感染期表现为舌头黏膜表面形成白色凝乳块物质,即白斑,不易拭去,使舌头表面变得粗糙、增厚,多为念珠菌感染,严重时可发展成口腔炎、食管溃疡。
口腔
白斑
艾滋病急性感染期口腔黏膜白色斑块图
艾滋病急性感染期患者发生口腔炎,表现为口腔黏膜白色斑块,甚至分布在咽后壁以及咽部位置,不易擦去,伴有咽痛、发热等全身症状。
口腔
坑
艾滋病急性感染期口腔唇内侧有凹坑图
艾滋病急性感染期患者的身体免疫力较差,极易发生感染,发生在口腔部位,表现为口腔唇内侧血疱,或者破溃成红色凹坑,患者有明显的局部疼痛感。
舌头
白斑
艾滋病急性感染期舌头白色斑块图
艾滋病急性感染期发生口腔部位的不适症状,表现为舌头白色附着物,尤其是舌头边缘比较明显,呈苍白色斑块,不易拭去,伴有发热、乏力等不适症状。
舌头
红肿
艾滋病急性感染期舌头上白色毛状物红肿图
艾滋病急性感染期发生皮损以及口腔炎症情况,表现为舌头部位有白色毛状物,舌苔厚重,同时还伴有舌乳头红肿,部分伴有咽痛、发热等症状。
嘴唇
红肿 · 结痂
艾滋病急性感染期上嘴唇长红疹流脓结痂图
艾滋病急性感染期发生病毒感染,表现为上嘴唇长红疹,以及嘴唇红肿的症状,并在红疹部位出现流脓结痂的情况,同时伴有张口困难。
嘴唇
水疱
艾滋病急性感染期嘴唇上白色透明水疱图
艾滋病急性感染期表现为上嘴唇长了一片白色透明水疱,疱壁紧张,容易破溃,除去表面一层皮后可露出潮红的肤色,病情严重时可发生溃疡、结痂,不留瘢痕,伴有轻度瘙痒或烧灼感。
嘴唇
水疱 · 黄痂
艾滋病急性感染期嘴唇水疱破溃结黄痂图
艾滋病急性感染期发生嘴唇感染的情况,表现为嘴唇上簇集发生的小水疱,并在破溃后结黄色痂皮,同时患者的嘴唇干燥、起皮。
舌头
红肿
艾滋病急性感染期舌头有白色毛状物红肿图
艾滋病急性感染期导致口腔感染,舌头上有大片分布的白色毛状物,不易拭去,同时伴有口角发白以及舌乳头红肿,或者发热、咽痛等不适症状。
耳后
小红疙瘩
艾滋病急性感染期耳后小红疙瘩图
艾滋病急性感染期可在耳后出现暗红色皮疹,类似于小红疙瘩,散在分布,直径较小,米粒至绿豆大小,形状不规则,多呈圆形或类圆形,多没有瘙痒,偶尔出现轻度压痛。
耳后
肿块
艾滋病急性感染期耳后肿块图
艾滋病急性感染期可在患者耳后观察到一个肿块,形状不规则,边界不清,高出于皮肤表面,常为局限性,无疼痛感,平时应多注意休息,病情好转后可消退。
耳后
包块
艾滋病急性感染期耳朵后面发红鼓起包块图
艾滋病急性感染期表现为局部淋巴结肿大,发生在耳朵后面,表现为发红,以及耳根处鼓起两个包块,触摸质地较硬,并有明显的痛感。
耳后
疙瘩
艾滋病急性感染期耳后红色疙瘩图
艾滋病急性感染期表现为耳后长出红色团状疹子,类似于红色疙瘩,皮疹为2-5mm大小,若皮损严重还会在局部形成暂时的皮肤色素沉着,同时有明显瘙痒感。
耳后
大包
艾滋病急性感染期耳朵后面鼓起一个大包图
艾滋病急性感染期导致耳朵后面淋巴结肿大,类似于鼓起一个大包,皮损肤色正常,同时伴有局部明显的压痛感,患者还可出现乏力、咽痛等症状。
侧颈
肿块
艾滋病急性感染期颈部侧边肿块图
艾滋病急性感染期在颈部侧边出现淋巴结肿大的症状,肿块质地柔软,与周围界限不清楚,肿大部位颜色正常,同时伴有发热、乏力、消瘦等症状。
侧颈
肿块
艾滋病急性感染期颈部侧边有肿块图
艾滋病急性感染期皮损发生在颈部侧边,可见患者左侧颈部有一个凸起的小肿块,也就是淋巴结肿大,肿块呈半球形,边界不清,质地柔韧,无压痛,无粘连。
前颈
红点
艾滋病急性感染期颈部前面皮肤红点图
艾滋病急性感染期患者于颈部前面出现红点,即丘疹或斑疹,红点大小不一,伴有瘙痒,同时有头痛、皮损、淋巴结肿大等非特异性表现。
前颈
疙瘩
艾滋病急性感染期颈部前面好几颗红色疙瘩图
艾滋病急性感染期的皮损症状可发生在任何部位,表现为颈部前面散在分布的斑疹和丘疹样小疹子,类似于红色疙瘩,为2-5mm大小,患者有明显的瘙痒感。
前颈
肿块
艾滋病急性感染期颈部前面肿起一块图
艾滋病急性感染期因为免疫力下降,导致颈部前面淋巴结肿大,表现为肿起一块,像肿块一样,伴有局部触痛感,以及发热、咽痛等不适症状。
侧颈
肿块
艾滋病急性感染期颈部侧边有明显凸起肿块图
艾滋病急性感染期表现为颈部侧边淋巴结肿大,表现为明显凸起的肿块,以及皮肤有红色丘疹,在进行局部触诊时有明显触痛感,并伴有皮肤瘙痒症状。
侧颈
包块
艾滋病急性感染期侧颈部包块图
艾滋病急性感染期有部分患者出现侧颈部淋巴结肿大,在局部看到明显的肿胀性包块,触摸局部有触痛感,同时还伴有发热、咽痛等不适症状。
侧颈
包块
艾滋病急性感染期颈部侧边凸起一个包块图
艾滋病急性感染期患者淋巴结肿大,表现为颈部侧边有一个凸起的包块,触摸质地坚韧,但有明显的触痛感,同时部分患者伴有发热、咽痛等症状。
侧颈
肿块
艾滋病急性感染期颈部侧边有个肿块图
艾滋病急性感染期可出现淋巴结肿大,表现为患者颈部侧边隆起一个小肿块,蚕豆大小,境界不清,与局部皮肤无粘连,且不易推动,可伴有发热、疼痛等症状。
侧颈
肿块
艾滋病急性感染期颈部侧边肿块图
艾滋病急性感染期表现为患者颈部侧边有肿块,造成颈部两侧不对称,右侧明显肿胀,肿大的淋巴结质地较软,局部皮肤出现大片不规则红斑,可有轻微压痛感。
背部
水疱
艾滋病急性感染期背部透亮水疱图
艾滋病急性感染期患者继发感染,背部反复出现透亮水疱,类似于稻米大小,顶端可以伴有白色脓疱,基底部潮红。此病难以查明病因,难以治愈。
背部
水疱
艾滋病急性感染期背部红色水疱图
艾滋病急性感染期患者背部皮肤上出现丘疹,2-5mm大小,互不融合。若皮损加重,出现水疱,周围绕有红晕,提示继发感染,由于患者免疫力低下,难以治愈。
背部
丘疹
艾滋病急性感染期背部大片红斑疹图
艾滋病急性感染期患者,背部皮损表现为大片红色斑丘疹,直径多为2-5mm,绿豆至黄豆大小,散在分布,互不融合,伴有不同程度的瘙痒感。
背部
结痂 · 红斑
艾滋病急性感染期背部红斑溃烂结痂图
艾滋病急性感染期发生无特异性皮损症状,表现为背部有大小不等的红斑,并在红斑基础上发生溃烂、结痂的情况,甚至还有脱皮表现,大多数皮损在1个月内能自行消退。
背部
疙瘩 · 结痂
艾滋病急性感染期背上长满了红色疙瘩结痂图
艾滋病急性感染期背上长满了红色疙瘩,皮损为2-5mm大小,并逐渐相互融合成较大的皮疹,顶端有干燥、结痂的情况,皮损症状大多数在1个月内自行消退。
背部
疙瘩
艾滋病急性感染期背上长满了红色疙瘩图
艾滋病急性感染期表现为不典型的皮损症状,背上长满红色疱疹和小斑点样皮疹,类似于大小不等的红色疙瘩,皮损大多为2-5mm大小,能相互融合呈较大的皮损,同时患者有明显的瘙痒感。
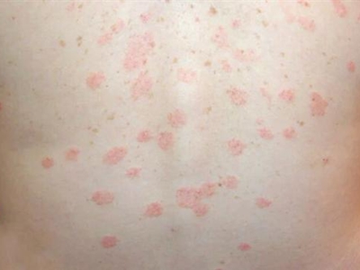
背部
红斑
艾滋病急性感染期背上红色斑点连成斑片图
艾滋病急性感染期表现为患者背部出现大片红斑,可散在分布也可相互融合连成斑片状,形状不规则,边界不清,顶端常有小丘疹,抓破后露出潮红的基底面。
胸部
小疙瘩
艾滋病急性感染期胸部小红疙瘩图
艾滋病急性感染期患者有皮肤表现,在胸部出现斑疹或丘疹,外观似红色小疙瘩,密集不规则分布,微隆起于皮肤表面,继发感染时症状加重。
腋窝
肿块
艾滋病急性感染期腋窝肿块图
艾滋病急性感染期表现为患者腋窝凸出一个小肿块,呈半球形,直径大于1厘米,质地坚韧,难以推动,病损部位皮肤紧绷、发红,患者无自觉症状。
腋窝
大包
艾滋病急性感染期腋窝长了一个大包图
艾滋病急性感染期表现为腋窝淋巴结肿大以及皮损症状,并在鼓胀的淋巴结节上长有一颗散在的红疹,患者腋窝像长了个大包,同时伴有局部触痛感以及瘙痒感。
腹部
红斑
艾滋病急性感染期腹部圆形红斑图
艾滋病急性感染期出现不同形态的皮损症状,如腹部有圆形红斑,呈圆环状,红斑中间为正常的肤色,边缘有红肿凸起的丘疹,患者有明显瘙痒感。
腰部
红点
艾滋病急性感染期腰部大片红斑点图
艾滋病急性感染期表现为发热、乏力、咽痛及全身不适症状,也会出现皮肤表现,为2-5mm大小的红斑点,数目并不固定,从几个到几百个不等,严重时腰部红斑点连成一片。
胳膊
疙瘩
艾滋病急性感染期胳膊密密麻麻疙瘩图
艾滋病急性感染期患者胳膊出现多发性皮疹,数百个不等,表现为密密麻麻的疙瘩,在1-2周消退,在发疹前会有发热、体重下降等全身症状。
胳膊
红斑
艾滋病急性感染期胳膊粉红色斑块图
艾滋病急性感染期部分患者有不典型的皮损症状,表现为胳膊上有粉红色斑块,并在斑块基础上形成风团或者红疙瘩,呈片样不规则分布。
胳膊
红斑
艾滋病急性感染期胳膊上的红色斑连成一片图
艾滋病急性感染期表现为整条胳膊上有红色斑,并相互融合连成一片,不规则分布,同时在红斑的基础上有丘疹出现,患者有明显瘙痒感。
胳膊
丘疹
艾滋病急性感染期胳膊上有成片红色小丘疹图
艾滋病急性感染期可在胳膊上出现非特异性荨麻疹,表现为红色丘疹,融合成片,边界不清,表面有许多小红点,严重时可脱屑,覆盖大量鳞屑,伴有瘙痒。
胳膊
疙瘩
艾滋病急性感染期胳膊上长满了红色疙瘩图
艾滋病急性感染期有不典型的皮损症状,表现为荨麻疹样皮疹,导致胳膊上长满红色疙瘩,相互融合成2-5mm大小,触摸有颗粒感,并有明显瘙痒症状。
胳膊
红斑
艾滋病急性感染期胳膊成片像红斑图
艾滋病急性感染期皮损见于胳膊部位,出现疱疹或结节,呈红色,随后颜色加深、数量增多,逐渐融合成片,分布不规则,并伴有明显疼痛感。
胳膊
红斑
艾滋病急性感染期胳膊两大块片状红斑图
艾滋病急性感染期胳膊上出现两大块片状红斑,或呈淡粉色,皮损边缘不清楚,能够逐渐增多并相互融合,患者多伴有不同程度的瘙痒感。
胳膊
红斑
艾滋病急性感染期胳膊上大片斑点图
艾滋病急性感染期可在胳膊上出现多形性皮损,表现为略微隆起的细小暗色红斑、在红斑基础上有凸起的小丘疹,呈暗红色改变,可分散也可密集成片。
小腿
红点
艾滋病急性感染期小腿上起红点图
艾滋病急性感染期表现为患者小腿出现大片小红点,对称分布,以红色的丘疹、斑疹为主,境界较清,中间有毛发穿过,自觉瘙痒明显时可遵医嘱涂抹药膏。
大腿
疙瘩
艾滋病急性感染期大腿多处红疙瘩图
艾滋病急性感染期皮疹为互不融合的斑疹和丘疹,即俗称的红疙瘩,凸出于大腿皮肤表面,数量为几个或数百个,有的单一分布,有的群集分布。
大腿
水疱 · 结痂
艾滋病急性感染期大腿皮肤水疱结痂图
艾滋病急性感染期部分患者大腿皮肤上出现水疱,易反复发作,水疱破溃后有结痂形成,同时患者伴有发热、乏力、咽痛及全身不适等症状。
膝盖
红斑
艾滋病急性感染期膝盖红色斑块图
艾滋病急性感染期有部分患者表现为膝盖至小腿位置布满红色斑块,形状不规则,同时在红斑基础上有明显的风团样红疙瘩,患者局部皮肤瘙痒明显。
大腿
红斑
艾滋病急性感染期大腿红色团状斑片图
艾滋病急性感染期表现为大腿皮肤上有明显的粉红色斑片,形态不规则,并在其上方有团块斑片,患者有明显瘙痒感,在挠抓后皮损加重。
大腿
红斑
艾滋病急性感染期大腿上红色斑块接连成片图
艾滋病急性感染期在皮损早期,表现为两侧大腿出现片状红斑,可单发也可多发,直径较大,如鹌鹑蛋大小,红斑外面绕以线状红晕,并呈弥漫分布。
大腿
丘疹
艾滋病急性感染期大腿上小丘疹图
艾滋病急性感染期可见于大腿部,皮损呈多样性,表现为红色、暗红色的斑丘疹,密集成片,针尖至米粒大小,边界不清,周围有红晕,并伴有不同程度的瘙痒感。
小腿
糜烂
艾滋病急性感染期小腿疹子糜烂图
艾滋病急性感染期部分患者表现为小腿大小不等的小红疹,部分抓挠后破皮露出血色糜烂面,相邻位置较近的可互相融合。局部皮肤肿胀、隆起,颜色发白。
手背
丘疹
艾滋病急性感染期手背上红色丘疹图
艾滋病急性感染期可观察到患者手背部出现红色斑丘疹,孤立散在或是相互融合成片,大小不一,形状不规则,周围绕以红晕,愈后不留有色素沉着。
手腕
红点
艾滋病急性感染期手腕红点图
艾滋病急性感染期发生在感染HIV后1-2周,患者在手腕处出现红点,但并非是特异性表现,同时伴有发热、淋巴结肿大、关节痛等症状。
手掌
圆疙瘩
艾滋病急性感染期手掌大红圆疙瘩图
艾滋病急性感染期发生手掌的皮损表现,表现为手掌密集分布的大红色圆疙瘩,并且在中间有结痂,触摸局部有粗糙感,患者有明显瘙痒感。
手指
疙瘩
艾滋病急性感染期手指长红疙瘩图
艾滋病急性感染期表现为手指长红色皮疹,类似于红色疙瘩,其散在分布,形状不规则,常因搔抓形成点状溃烂面,有明显浆液渗出,导致局部皮肤浸润、粗糙。
手背
水疱
艾滋病急性感染期手背上水疱破裂白膜覆盖图
艾滋病急性感染期因为全身免疫力低下,被致病菌侵袭后表现为手背上长有水疱,并在发生破裂后形成白膜覆盖,患者有明显的瘙痒感。
艾滋病急性感染期相关知识
艾滋病急性感染期具有非特异性的表现,如发热、皮疹、僵直、淋巴结肿大、关节痛、肌痛、斑丘疹、荨麻疹、腹痛、腹泻及罕见的无菌性脑膜炎,症状2-3周自行缓解。皮疹多为斑疹和丘疹,可为几个或数百个,2-5mm大小,互补融合的皮色丘疹,伴有瘙痒。个别有口腔炎、食管溃疡或念珠菌感染。
艾滋病急性感染期是由人类免疫缺陷病毒(HIV)感染引起,破坏人体的免疫细胞,造成严重的免疫缺陷。艾滋病患者与HIV感染者是本病的传染源,HIV主要存在于感染者和患者的血液、精液、阴道分泌物、胸腹水、脑脊液和乳汁中,可通过性接触、血液、母婴三种途径传播。
艾滋病急性感染期平时应多注意休息,可采取综合性治疗方法,包括针对病因的抗病毒化疗,主要采用高效抗逆转录病毒治疗,即鸡尾酒疗法等;以及对症处理,如出现高热,应注意降温,可在医生的指导下服用对乙酰氨基酚、布洛芬退热。
参考文献
[1]吴志华.现代皮肤科学[M].北京.人民卫生出版社.2021.415-417.
[2]张学军,郑捷.皮肤性病学.第9版[M].北京.人民卫生出版社.2018.224-227.
相关科普
艾滋病的急性感染期症状
汪雯
首都医科大学附属北京佑安医院
乙肝急性感染期症状
曾艳丽
河南省人民医院
龟头炎急性感染期可以同房吗
罗勇
北京美中爱瑞肿瘤医院
艾滋病无症状感染期的平均时间是多久
吴剑波
武汉大学中南医院
急性感染性疾病有哪些
迟骋
北京大学人民医院
急性痛风性关节炎期的治疗
刘爱华
北京医院
根尖周炎的急性化脓期有什么特点
杨雪超
广州医科大学附属口腔医院
痛风性关节炎急性发作期特点
李玉翠
山西白求恩医院
艾滋病感染几率
李侗曾
首都医科大学附属北京佑安医院
感染艾滋病能活多久
汪雯
首都医科大学附属北京佑安医院