艾滋病非感染性皮肤损害症状图片

本文由有来医生原创,经专业医师审核校对
所有图片质量和准确性经专业医生严格审查

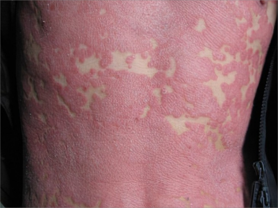
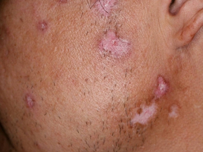
皮肤黏膜是艾滋病侵袭的主要部位之一,可表现为非感染性皮肤损害,皮肤损害呈多形性,可类似于脂溢性皮炎、鱼鳞病、毛发红糠疹、银屑病等,但症状一般更为严重。此外,还可出现特应性皮炎、光敏性皮炎、玫瑰糠疹、荨麻疹、多形性红斑及痤疮样皮损。

艾滋病非感染性皮肤损害症状图片

艾滋病非感染性皮肤损害相关知识

非感染性皮肤损害呈多形性,类似于脂溢性皮炎、鱼鳞病、毛发红糠疹、银屑病等,也可出现特应性皮炎、光敏性皮炎、玫瑰糠疹、荨麻疹、多形性红斑及痤疮样皮损。
脂溢性皮炎样皮损边缘清楚,上面覆盖有粗糙的、黄色油污状的厚屑鳞片。
鱼鳞病样皮损表现为弥漫性的大片状粘着性鳞屑;毛发红糠疹样皮损可表现为红斑、丘疹,并附有细小鳞屑;银屑病样皮损可表现为局限性点滴状,也可以表现为大斑块。
特应性皮炎样皮损可表现为红斑、丘疹,瘙痒剧烈;光敏性皮炎样皮损有红斑、丘疹表现,但也可表现为苔藓化湿疹、鳞屑等。
玫瑰糠疹样皮损呈散在性、椭圆形丘疹,表面有微少鳞屑;荨麻疹样皮损为红色、局限性的风团,可孤立散在,也可相互融合成片。
多形性红斑样皮损表现为红斑、斑丘疹、水疱等,还可伴有瘙痒感、烧灼感;痤疮样皮损以粉刺、丘疹等为特征,随着皮损发展,可出现弥漫性红斑。
艾滋病由人体免疫缺陷病毒引起。健康人群感染此病毒后,免疫细胞受损,使身体出现非感染性皮肤损害等不良症状。艾滋病主要有3种传播途径,分别为性接触、血液、母婴,其中性接触最为常见。
艾滋病非感染性皮肤损害患者需要在专业医生指导下,进行针对性治疗,一般可以应用叠氮胸苷、拉米夫定、阿巴卡韦、替诺福韦等抗反转录病毒制剂,其可以抑制病毒复制,维持机体免疫功能,从而控制病情,缓解机体不适。

参考文献

[1]卞坤鹏主编,临床皮肤性病诊治学[M].吉林科学技术出版社.2019.153.

[2]张学军,郑捷.皮肤性病学.第9版[M].北京.人民卫生出版社.2018.223-227.

[3]李兰娟,任红.传染病学第9版[M].北京.人民卫生出版社.2018.122-132.

[4]刘军.现代皮肤性病学[M].科学技术文献出版社.2014.539.

[5]马林昆.外科医生实习手册[M].云南科技出版社.2013.327.

相关科普