概述
口腔黏膜结核性溃疡可发生于部分患者舌侧,表现为大小不定的溃疡。本病的发生与病原微生物侵入有关,应遵医嘱治疗。
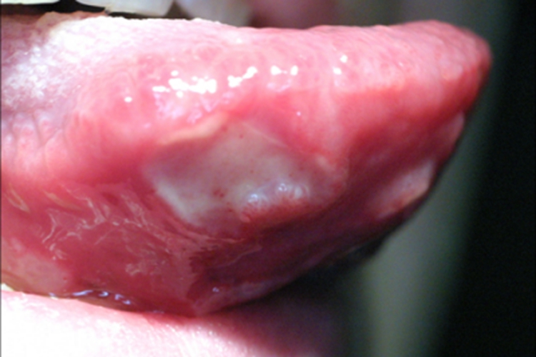
症状
口腔黏膜结核性溃疡患者舌侧可出现损害,表现为溃疡,大小不定,边界清楚或呈线性,表面浅表,微凹而平坦,基底有少许脓性渗出物。患者疼痛程度不一。


病因
口腔黏膜结核性溃疡的发病与病原微生物侵入有关,主要是人型或牛型结核分枝杆菌。可经受损的皮肤黏膜直接感染,也可由血行或邻近组织病灶播散到皮肤。
治疗
口腔黏膜结核性溃疡者,建议遵医嘱早期、规律、全程、适量及联合应用抗结核药物,常用的有异烟肼片、盐酸乙胺丁醇片、利福平胶囊、注射用硫酸链霉素等。
参考文献
[1]刘洋著.口腔内科学;高级医师进阶;副主任医师/主任医师.中国协和医科大学出版社.2018.403-405.
[2]陈谦明.口腔黏膜病学.第5版[M].北京.人民卫生出版社.2020.36.
展开
