概述
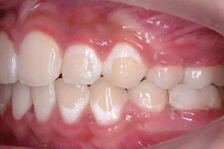
牙齿出现白色纹路时,可以表现为白垩色,具体形状并不规则,一般无自觉症状。
牙齿出现白色纹路临床多见于轻度牙釉质发育不全、酸蚀症、氟斑牙,需对因进行治疗。
症状
轻度牙釉质发育不全、酸蚀症、氟斑牙均可引起牙齿出现白色纹路,但不同疾病的症状表现存在一定的差异。
轻度牙釉质发育不全:轻度牙釉质发育不全牙冠形态完整,仅有色泽和透明度的改变,形成白垩色釉质,一般无自觉症状。

酸蚀症:酸蚀症早期仅出现牙敏感,以后逐渐出现牙体组织质性缺损。如硝酸所致者多发生于牙颈部,具体可以表现为白垩状纹路、黄褐色或者灰色的脱矿斑块,质地松软、易崩碎而逐渐形实质性缺损。

氟斑牙:当患者出现氟斑牙时,釉质表面有因矿化异常所形成的白垩横线、斑块,甚至整个牙齿均为白垩样釉质,氟斑牙患牙耐磨性差,但对酸蚀的抵抗力强。

病因
轻度牙釉质发育不全、酸蚀症、氟斑牙虽然可以引起牙齿出现白色纹路,但是有不同的症状表现,主要是因为疾病的发生原因不同。
轻度牙釉质发育不全:主要是由于全身疾病、严重营养障碍、内分泌失调、婴儿和母体疾病,以及局部严重的乳牙根尖周感染,从而导致牙釉质形成异常。
酸蚀症:酸蚀症的发生与酸的种类、浓度及接触时间有关,主要由无机盐,如盐酸、硝酸等所致,其中以盐酸的危害最大。常反酸的胃病患者,也可出现类似的牙损坏。
氟斑牙:氟斑牙多是由于牙釉质形成期间摄入过量的氟化物,干扰了釉质成熟的矿化过程,导致牙釉蛋白滞留,釉质结构改变、孔隙增多,从而产生的此疾病。
治疗
轻度牙釉质发育不全、酸蚀症、氟斑牙属于不同类型的疾病,因此为便于疾病的治愈,需要根据具体的疾病采取相应的治疗措施。
轻度牙釉质发育不全:轻度牙釉质发育不全者应预防龋病发生,牙着色或者缺陷,可使用复合树脂、烤瓷冠等方法进行治疗。
酸蚀症:对于酸蚀症的患者需注意刷牙、控制酸性饮食、积极治疗消化系统相关疾病。如症状较轻时可进行脱敏治疗,牙缺损严重可采用充填修复治疗,出现牙髓根尖周病变需行根管治疗。
氟斑牙:需要积极改良当地不利条件,降低氟的摄入量。轻症者无需处理,着色较深而无明显缺损的患牙可用漂白脱色法脱色,重度有缺损的患牙可用复合树脂直接贴面、瓷贴面或甲冠等修复方法处理。
参考文献
[1]王旭霞,杨征.全国普通高等医学院校五年制临床医学专业"十三五"规划教材 口腔科学[M].北京.中国医药科技出版社.2016.11.133.
[2]张志愿.口腔科学.第9版[M].北京.人民卫生出版社.2018.49-50.
