概述
肾压迫性萎缩是由肾周围组织与器官对其长期受压所致,可表现为肾实质变薄、肾乳头消失等,需及时解除压迫。
症状
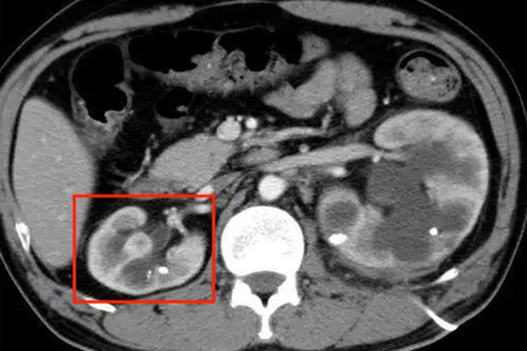
肾压迫性萎缩可表现为肾体积减小,重量减轻,色泽变深,同时可见肾盂扩张、肾盏融合消失,肾实质受压变薄,肾乳头变平或消失,皮质、髓质分界不清等表现。


病因
肾压迫性萎缩是由于肾周围组织与器官长期受压,使得受压组织和细胞缺氧、缺血所致,如肿瘤推挤压迫,可致邻近正常肾组织萎缩,尿路梗阻时肾盂积水,可压迫周围肾组织,引起肾皮质、髓质萎缩。
治疗
肾压迫性萎缩一般在去除肾盂积水、肿瘤等压迫性因素后,轻度者有可能恢复常态,但持续性萎缩的细胞最终可死亡,必要时需积极就医采取手术治疗。
参考文献
[1]步宏,李一雷.病理学.第9版[M].北京.人民卫生出版社.2018.6-7.
[2]黄玉芳,刘春英.病理学.第4版[M].北京.中国中医药出版社.2016.282.
[3]徐国成,邱雪杉,韩秋生主编.病理学彩色图谱[M].武汉.湖北科学技术出版社.2018.7.
展开
