维生素A缺乏症症状图片

本文由有来医生原创,经专业医师审核校对
所有图片质量和准确性经专业医生严格审查

维生素A缺乏症又称蟾皮病,是一种由于体内缺乏维生素A所引起的以眼和皮肤黏膜病变为主的全身性疾病。各年龄均可发病,但以6岁以下儿童为多见,1-4岁为发病高峰。

维生素A缺乏症症状图片

维生素A缺乏症相关知识

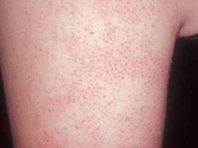
维生素A缺乏症的临床症状主要包括皮肤症状和眼部症状。
皮肤症状表现为皮肤干燥,角化增生,常发生丘疹样损害,呈半球形或圆锥形,坚实而干燥,触之有砂砾样感觉,丘疹的中央有棘刺状角栓,去除后可形成小凹陷;毛发干燥,无光泽,易脱落,头发稀疏;甲板失去光泽,变薄变脆,可出现纵沟、横纹及点状凹陷。患者一般无自觉症状。
眼部症状表现为夜间视物不清,自觉眼干不适,角膜侧缘附近的结膜处,有局限性干燥区,也可因脂肪和碎片堆积而形成大小不一、境界清楚的白色斑点,呈圆形或三角形,尖端指向眼角。角膜干燥,并逐渐失去透明性,严重者可软化、溃疡,甚至穿孔、失明。
维生素A缺乏症可能由膳食中长期缺乏维生素A和胡萝卜素导致,如长期进食脱脂乳且不添加辅食、单用淀粉类食物等;若饮食中脂肪含量过低,或是患有一些肠道功能紊乱的消化道疾病如急慢性肠炎、脂肪泻等,可导致维生素A和胡萝卜素的消化、吸收受影响。
维生素A缺乏症患者应在饮食中补充维生素A或胡萝卜素丰富的食物,如蛋、奶、肝、胡萝卜、蔬菜及水果等,同时大剂量补充维生素A,可口服或肌内注射。皮肤症状可选用维A酸乳膏、尿素霜,眼部损害需要请眼科会诊,进行相应治疗。

参考文献

[1]吴志华,史建强,李定等主编.皮肤性病诊断与鉴别诊断[M].北京.科学技术文献出版社.2018.503-505.

[2]李冬主编.儿科医师处方手册[M].郑州.河南科学技术出版社.2020.3-4.

[3]郝德华著.儿科常见病诊疗[M].长春.吉林科学技术出版社.2019.84-85.

[4]丁淑贞,倪雪莲主编.儿科护理学[M].北京.中国协和医科大学出版社.2019.153-156.

相关科普