概述
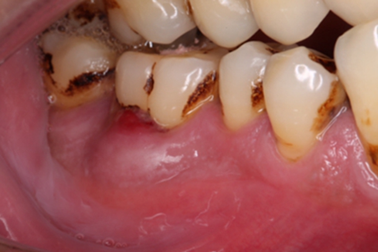
牙槽脓肿的症状为局部出现半球形的脓肿,局部有疼痛感和波动感,通常由牙髓炎进一步发展而导致,可遵医嘱给予治疗。
症状
牙槽脓肿可表现为脓肿、包块,多为花生大小,呈半球形突出牙龈表面,伴有疼痛,按压时疼痛更加明显,触之有明显波动感,对牙齿有一定影响。

病因
牙槽脓肿通常由牙髓炎进一步发展而导致,急性化脓性根尖周炎和慢性化脓性根尖周炎急性发作均可造成牙槽脓肿,由于根管内的感染通过根尖孔向牙根周围扩散,造成根尖周组织感染并被破坏,从而引起发病。
治疗
治疗牙槽脓肿需先进行应急处理,缓解症状,随后进行抗菌治疗,待感染得到控制后再治疗患牙。
应急处理:开放髓腔引流通道,缓解根尖部压力;脓肿形成后,需在局麻下切开引流。
抗菌治疗:一般术后服用抗菌药物控制感染,遵医嘱服用甲硝唑片、替硝唑片等抗生素,还可服用布洛芬缓释胶囊缓解疼痛。
患牙治疗:一般急性期过后治疗患牙,可根据牙冠破坏的程度,松动度以及根尖骨质破坏情况,选择根管治疗、根尖切除、牙冠修复等方式。
以上治疗均需遵医嘱进行。
参考文献
[1]北京医师协会组织编写.口腔科诊疗常规[M].北京.中国医药科技出版社.2020.175-176.
[2]戴淑凤.学前儿童常见病与意外伤害应急处理速查手册[M].北京.教育科学出版社.2019.116.
展开
