概述
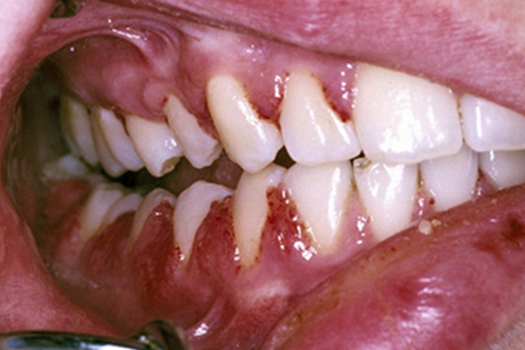
牙龈炎可表现为牙齿与牙龈之间的龈沟加深,牙龈充血、发红。
该病主要由口腔卫生状况差导致,需遵医嘱采取相应治疗。
症状
牙龈炎可表现为牙齿与牙龈之间的龈沟加深,牙龈充血、发红,伴牙龈乳头肿胀和易出血的情况。

病因
牙龈炎主要由口腔卫生状况差导致,可能是口腔卫生习惯不良,比如不按时刷牙、经常夜间刷牙后又吃东西、长期不洗牙等,使牙菌斑沉积于牙齿与牙龈之间,从而造成龈沟加深。另外,爱嚼槟榔、爱吃坚硬食物,或是牙结石、不良修复体等也容易造成牙龈炎的发生。
治疗
对于牙龈炎牙龈边缘充血的情况,主要是通过改善口腔卫生控制,同时患者可在医生指导下使用抗菌漱口液,如复方氯己定含漱液,并用抗生素,如甲硝唑、奥硝唑、头孢他啶等预防感染。
治疗期间,饮食宜清淡,宜吃稀软食物,避免吃辛辣、刺激性食物,避免吃过热、过凉的食物。
参考文献
[1]Robert S.Porter,MD.默克诊疗手册 上.第19版[M].北京.人民卫生出版社.2014.710.
[2]刘秦鹏主编.现代临床外科疾病诊断与治疗[M].天津.天津科学技术出版社.2020.177.
展开
