概述
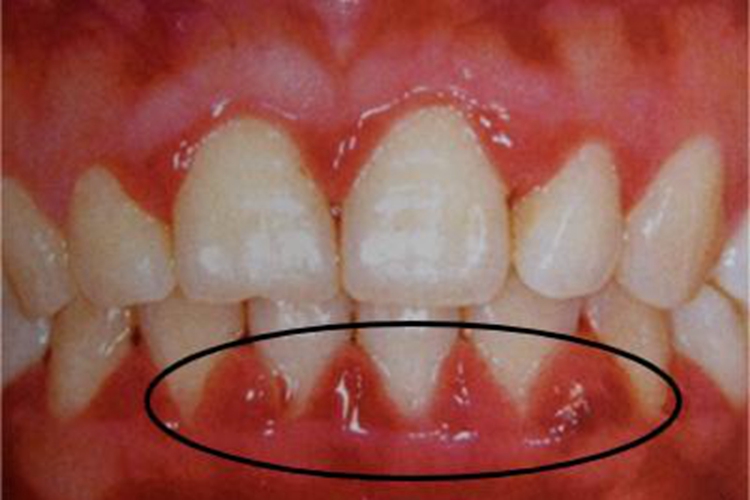
妊娠期龈炎可导致患者牙龈处红肿,龈乳头肥大,表面光亮。本病与患者的黄体酮水平升高有关,应去除局部刺激因素,遵医嘱治疗。
症状
妊娠期龈炎会导致患者牙龈红肿,表现为龈缘和龈乳头肥大,呈鲜红色或暗红色,质地松软,表面光亮,伴有显著的炎性肿胀,患处一般无疼痛症状。

病因
妊娠期龈炎与牙菌斑和患者的黄体酮水平升高有关。妊娠本身不会引起龈炎,只是由于妊娠时性激素水平的改变使原有的慢性炎症加重。因此牙菌斑是本病的直接原因,此外与体内性激素水平的变化有关。
治疗
妊娠期龈炎治疗上应去除一切局部刺激因素,如菌斑、牙石、不良修复体等,操作时要特别仔细,动作轻柔,尽量减少出血。
牙龈肿胀肥大明显、龈袋有溢脓时,可遵医嘱用过氧化氢溶液冲洗或含漱,尽量避免使用药物治疗,以免影响胎儿发育。
对于体积较大的妊娠期龈瘤,若已妨碍进食时,可手术切除,手术尽量选择在妊娠期的4-6个月,以免引起流产或早产。
参考文献
[1]张志愿.口腔科学.第9版[M].北京.人民卫生出版社.2018.64-65.
[2]孟焕新.牙周病学.第5版[M].北京.人民卫生出版社.2020.134-136.
展开
