概述
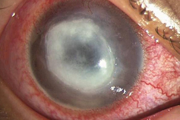
基质性角膜炎可见角膜出现炎症浸润,混浊、水肿。可能与细菌感染有关,治疗包括全身治疗、眼局部治疗、角膜移植。
症状
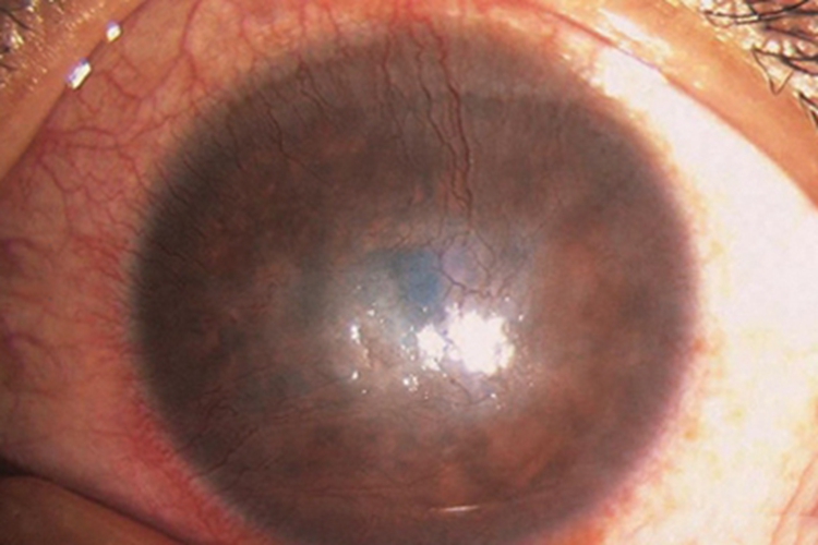
基质性角膜炎可见患者角膜出现典型的扇形或弥漫性炎症浸润,随着病情进展,角膜基质深层出现新生血管,混浊、水肿,起病时可有眼痛、流泪、畏光等刺激症状,视力明显下降。


病因
基质性角膜炎可能与细菌、病毒、寄生虫感染有关,梅毒螺旋体、麻风杆菌、结核分枝杆菌和单纯疱疹病毒感染是常见的病因,虽然致病微生物可直接侵犯角膜基质,但大多数角膜病变是与感染原所致的免疫反应性炎症有关。
治疗
基质性角膜炎治疗包括全身治疗、眼局部治疗、角膜移植。
全身治疗:针对病因遵医嘱给予抗梅毒或抗结核治疗。
眼局部治疗:伴有虹膜睫状体炎,需用阿托品滴眼液或眼膏散瞳;点用糖皮质激素可减轻角膜炎症及症状,但要持续使用,注意逐渐减量原则,防止疾病反复。患者畏光强烈,可戴深色眼镜减少光线刺激。在医生指导下进行。
角膜移植:用于角膜瘢痕形成导致的视力障碍者,可遵医嘱行角膜移植术。
参考文献
[1]邵毅,赵学英,刘毅.眼科疾病的治疗与研究[M].北京:科学普及出版社,2016:23-24.
[2]杨培增,范先群.眼科学(第9版)[M].北京:人民卫生出版社,2018:117-118.
展开
