概述
牙龈炎与牙结石等因素有关,疾病受累处可出现发紫症状,可伴有疼痛、口臭表现,患者应及时就医治疗。
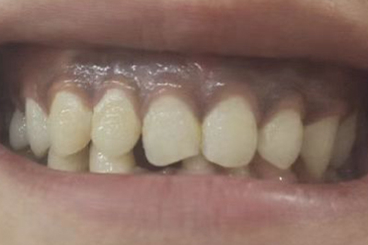
症状
牙龈炎可见局部颜色发紫,严重时可呈黑紫色,且黏膜变得光亮、肿大,尤其是牙齿边缘处的牙龈,隆起明显,患者可伴有疼痛和口臭。

病因
引起牙龈炎的主要病因是菌斑、牙结石和一些局部刺激因素,如食物残渣、不良充填修复体的刺激等。此外,青春期及妊娠期体内激素的改变、未及时治疗等因素都会加重原有的牙龈炎。
治疗
牙龈炎患者应及时就医治疗,可以在医生的指导下选择龈上洁治和龈下刮治,同时可使用含有氯己定成分的漱口水缓解炎症,还可以遵医嘱口服抗炎药物,如甲硝唑片、替硝唑片等。
参考文献
[1]刘秦鹏主编.现代临床外科疾病诊断与治疗[M].天津.天津科学技术出版社2020.177-180.
[2]孟焕新.牙周病学.第5版[M].北京.人民卫生出版社.2020.131-134.
展开
