概述
下颌骨骨化纤维瘤主要表现为下颌骨肿大,质硬,界限不清,甚至造成咬合紊乱、面部畸形等,属于良性肿瘤,需行手术治疗。
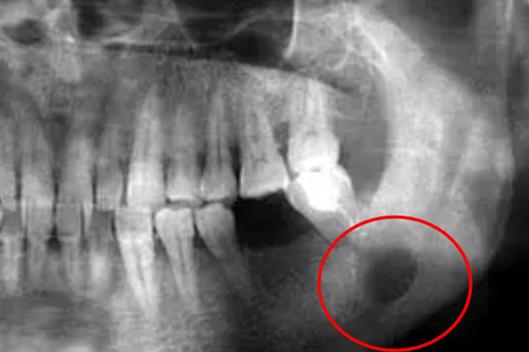
症状
下颌骨骨化纤维瘤主要表现为颌骨呈膨大状态,肿瘤质硬,界限不清,可造成面部畸形、咬合紊乱,有时可继发感染,伴发骨髓炎。影像检查表现为类圆形肿块或不规则形肿块,多可见完整包膜。


病因
下颌骨骨化纤维瘤属于良性肿瘤,来源于颌骨内成骨性结缔组织,是由大量、排列成束和旋涡状的纤维组织所构成,其中含有一些大小不等、排列不规则的骨小梁。
治疗
下颌骨骨化纤维瘤应手术切除,尤其是肿瘤小、局限性肿瘤应早期手术彻底切除。若为儿童发病且是范围较大的弥散性骨化纤维瘤或多发性骨化纤维瘤,情况允许时也可在青春期后手术切除。但如果肿瘤发展较快,影响功能时,则需提前手术。
参考文献
[1]北京医师协会组织编写.口腔科诊疗常规[M].北京.中国医药科技出版社.2020.272-273.
[2]张志愿主编.口腔医学 4[M].北京.中国协和医科大学出版社.2019.55.
展开
