概述
舌下腺囊肿可发生于口腔,皮损为椭圆形的软包,患者可无局部疼痛等不适,可能因黏液外渗入组织间隙所致,建议切除舌下腺治疗。
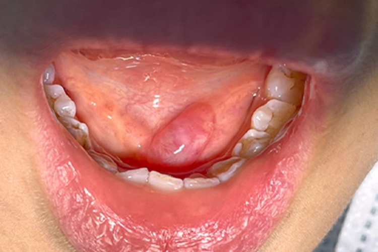
症状
舌下腺囊肿可发生在患者口腔,表现为椭圆形的鼓包,触之较软,与周围界限清晰,检查见其位于黏膜与肌肉之间,没有疼痛感。

病因
舌下腺囊肿主要由于外渗性黏液囊肿、舌下腺受伤后导管破裂,黏液外渗入组织间隙所致。
治疗
舌下腺囊肿根治的方法是切除舌下腺,残留部分囊壁不致造成复发。潜突型者可全部切除舌下腺后,将囊腔内的囊液吸净。
全身情况不能耐受舌下腺切除的患者及婴儿,可做简单的袋形缝合术,切除覆盖囊肿的部分黏膜及囊壁,放尽液体,填入碘仿纱条,待全身情况改善或婴儿长至4-5岁后再行舌下腺切除。
参考文献
[1]孙树印,乔森,刘辉主编.临床疾病诊疗常规外科[M].济南.山东大学出版社.2014.228.
[2]楚德国主编.实用口腔疾病诊疗图谱[M].北京.人民军医出版社.2014.32.
展开
