概述
过敏性接触性口炎可累及牙龈部位,局部可表现为肿胀,还可出现溃疡。主要为充填和修复材料引起,应避免再次接触变应原。
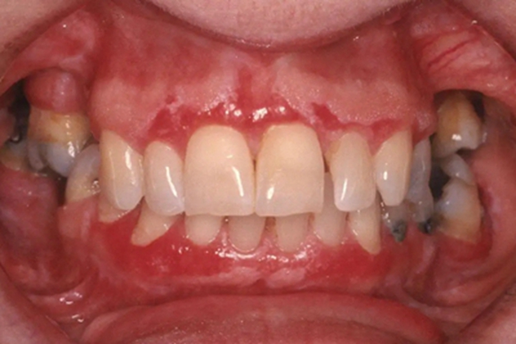
症状
过敏性接触性口炎可累及牙龈部位,患者接触变应原后,经2-3天在接触部位发生病变,局部肿胀发红,或形成红斑,也可发生糜烂或溃疡,甚至组织坏死,患者自觉局部异物感,以及灼痛感。


病因
过敏性接触性口炎除了局部使用药物这一病因外,主要为充填和修复材料引起,如银汞合金、自凝塑料等。本病的发病多为Ⅳ型变态反应。
治疗
过敏性接触性口炎患者应避免再次接触变应原。严重者可遵医嘱口服抗组胺类药物,如氯苯那敏、阿司咪唑等止痒、消炎。
或可酌情遵医嘱使用糖皮质激素类制剂,也可同时口服维生素C、钙制剂,严重者需在医生指导下用葡萄糖溶液静脉注射。
参考文献
[1]张震康,俞光岩,徐韬.实用口腔科学.第4版[M].北京.人民卫生出版社.2016.201.
[2]刘洋著.口腔内科学;高级医师进阶;副主任医师/主任医师[M].北京.中国协和医科大学出版社,2018.411.
展开
