概述
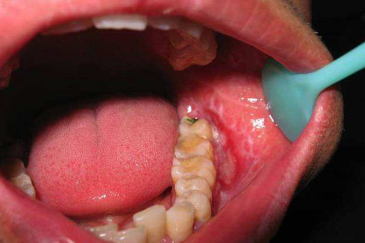
口腔内壁黏膜水肿表现为黏膜充血、发红或肿胀,可伴有红斑等症状,常用药物治疗。
口腔内壁黏膜水肿可见于复发性阿弗他溃疡、放疗化疗性口腔黏膜炎、接触性口炎等疾病。
症状
口腔内壁黏膜水肿可能与复发性阿弗他溃疡、放疗化疗性口腔黏膜炎、接触性口炎等疾病有关,具体症状如下:
复发性阿弗他溃疡:初起为局灶性口腔黏膜充血水肿,呈粟粒状红点,灼痛明显,继而形成浅表溃疡,圆形或椭圆形,直径小于10mm。愈合时溃疡面有肉芽组织形成、创面缩小、红肿消退、疼痛减轻。

放疗化疗性口腔黏膜炎:表现为放疗或化疗后出现口腔内壁黏膜发红、水肿,伴有灼热感和进食刺激痛,甚至出现黏膜深大溃疡并有假膜覆盖,口干、口臭等症状。

接触性口炎:表现为口腔局部或内壁黏膜充血水肿,或形成红斑,还可发生水疱、糜烂或溃疡,甚至组织坏死,表面渗出形成假膜覆盖。

病因
口腔内壁黏膜水肿可因不同疾病导致,不同疾病的病因也会有所区别,具体如下:
复发性阿弗他溃疡:病因不明,可能与免疫因素有关,如细胞免疫异常、体液免疫异常、自身免疫异常等,同时也不排除遗传因素、环境因素、系统性疾病因素,如胃溃疡、十二指肠溃疡、溃疡性结肠炎、局限性肠炎、肝胆疾病等密切相关。
放疗化疗性口腔黏膜炎:病因十分明确,主要与放射线、电离辐射和放疗有关,从而出现口腔内壁黏膜水肿。
接触性口炎:本病主要是由于口腔黏膜与变应原接触后,发生变态反应引起,常见的变应原有药物、修复材料等。
治疗
不同疾病多需要采取针对性的治疗措施,具体如下:
复发性阿弗他溃疡:可选择曲安西龙涂剂外涂,也可使用呋喃西林溶液、复方硼砂含漱液含漱。西地碘含片、溶菌酶含片等含服,有抗菌、抗病毒收敛和消肿止血作用,也可用于患者不适。
放疗化疗性口腔黏膜炎:凡具有抗炎、镇痛、促进愈合作用的任何局部制剂均可应用,例如外用重组人表皮生长因子、重组牛碱性成纤维细胞生长因子凝胶等细胞因子制剂,也可应用复方氯己定含漱液、复方硼砂含漱液等进行治疗。日常注意口腔卫生护理,包括刷牙、牙线和多种口腔漱口液保持口腔卫生。
接触性口炎:首先要找出可疑致敏物质,并立即停用,同时给予抗组胺药,常见的有氯雷他定片、马来酸氯苯那敏片等。
除以上相对常见的情况外,还有其他的可能性情况,例如白色角化病等,建议患者积极就医,遵医嘱行针对性的治疗。
参考文献
[1]陈谦明.口腔黏膜病学.第5版[M].北京.人民卫生出版社.2020.45-46,67-68.
[2]张志愿.口腔科学.第9版[M].北京.人民卫生出版社.2018.73-74.
