概述
急性牙周脓肿可表现为牙龈上出现肿起的大包,是由于感染导致,需进行脓液引流,并使用药物治疗。
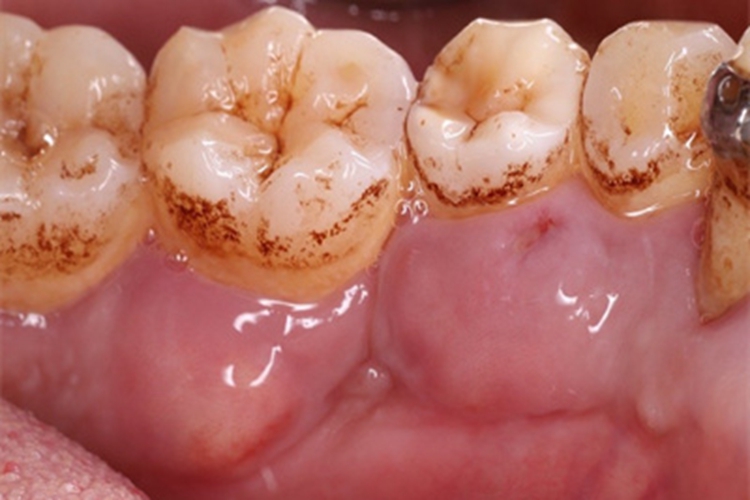
症状
急性牙周脓肿可表现为牙龈上出现肿起的大包,表面光滑发亮,有时能看到零星的血丝。用手轻轻触碰,患处可出现波动,并有疼痛感。

病因
通常情况下,急性牙周脓肿是由未能得到妥善治疗的牙齿感染引起,这些感染可以是牙髓炎或牙周炎。这些感染源可以扩散到牙龈周围,引起牙龈发炎,形成脓肿。脓肿是由于细菌感染引起的化脓性炎症,当脓液在牙龈下方积聚时,牙龈会因为脓肿的形成而肿大起包。
治疗
针对急性牙周脓肿牙龈肿大起包的情况,首先要进行脓液引流,通过切开牙龈,在局部麻醉下排出脓液,从而减轻牙龈肿胀。然后使用生理盐水彻底冲洗脓腔,清除残余的脓液和细菌,以促进伤口愈合。最后可以使用醋酸氯己定溶液进行含漱,这是一种具有抗菌作用的药物,可以进一步减少细菌数量。上述操作均需由专业医生进行。
参考文献
[1]孟焕新.牙周病学.第5版[M].北京.人民卫生出版社.2020.173-175.
[2]樊明文主编.中华医学百科全书 2 临床医学 口腔医学[M].北京:中国协和医科大学出版社,2018.11.94.
展开
