概述
舌头背面即舌底,其正常为黏膜淡红色,舌下络脉为淡红色,并不迂曲。
中医可通过观察舌底状态,反映病人的身体状况。
正常形态
观察舌头背面时,伸舌使舌尖向上微卷,可见舌底为舌质淡红色,润而有津,舌系带居中,不长不短,舌系带两侧有微细血管,即舌下络脉,呈淡红色或淡紫色,隐约可见,少有迂曲,舌系带两侧有小而隆起的肉阜。

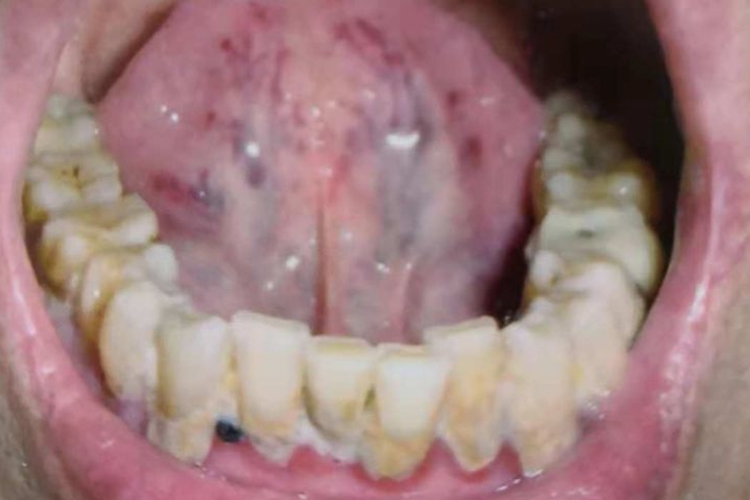
异常表现
中医常用望诊,观察舌底的状态,常见的舌底异常表现为舌底瘀丝、舌底瘀点瘀斑、紫暗舌底。
舌底瘀丝:可见舌底细小脉络呈网状扩散或伞形曲张,其色青紫,甚则脉络间有瘀点。常见于各种瘀血证。

舌底瘀点瘀斑:可见舌底颜色红暗,舌底两侧及舌尖不由紫暗瘀点。常见于瘀血、热盛动血等病症。

紫暗舌底:可见舌面颜色正常,舌底颜色青紫,并有脉络曲张或瘀丝瘀点,常见于各种瘀血证。


参考文献
[1]任健.中医诊断学[M].化学工业出版社,2020,138.
[2]梁湛聪.中医基础与临床[M].中山大学出版社,2018,87.
[3]张树生,肖相如.中华医学望诊大全 第3版[M].太原.山西科学技术出版社,2014.266-267.
展开
