概述
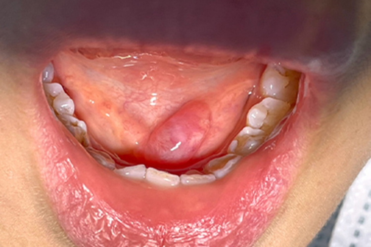
涎腺囊肿可出现口腔软包样损害,可形成囊肿,触之柔软,没有疼痛感,与周围界限清晰,多因损伤导致,可遵医嘱进行针对性治疗。
症状
涎腺囊肿可出现口腔软包样损害,初期可发现导管囊性扩张,继之形成囊肿,触之柔软。与周围界限清晰,没有疼痛感。若有感染时可合并疼痛及压痛。

病因
涎腺囊肿可发生在腮腺、颌下腺及舌下腺区,涎腺导管因炎症或结石阻塞使腺体分泌物潴留所致,阻塞原因多系损伤,有时多次反复损伤,可形成瘢痕而阻塞排泄管。
治疗
涎腺囊肿可遵医嘱进行针对性治疗。如应用普鲁本辛溴化物,或是局部注射A型肉毒杆菌毒素。
参考文献
[1]严继萍主编.血管及浅表器官常见疾病超声诊断分册[M].太原:山西科学技术出版社,2014.38.
[2]徐秋华,周辉红主编.颌面颈部超声诊断学[M].北京:军事医学科学出版社,2015.60.
[3]姜颖,朱庆莉,张一休著.腹部及浅表器官;第2版[M].北京:科学技术文献出版社,2018.203.
[4](美)贝尔纳黛特·L.科.国际经典影像诊断学丛书;头颈部影像诊断学[M].江苏凤凰科学技术出版社,2019.405.
[5]栗建辉,郝冬梅,孙静主编.手把手教你学B超诊断;第3版[M].沈阳:辽宁科学技术出版社,2018.27.
展开
