概述
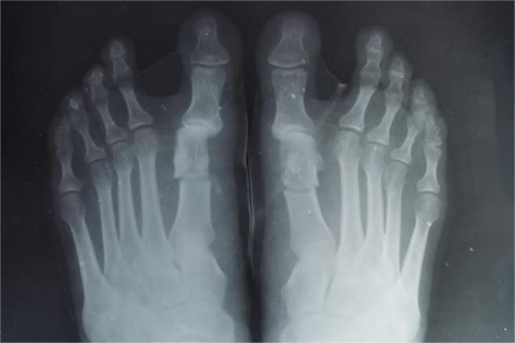
脚掌CT可观察到脚部的结构,其中包括跗骨、跖骨和趾骨,骨皮质呈致密的线状、带状影。
脚掌耐磨、耐压,可起到承重作用,协助人体完成站立、行走、跑跳等动作。
表现
脚掌CT可清楚观察到脚部结构,包括7块跗骨、5块跖骨和14块趾骨。骨皮质呈致密的线状、带状影,骨小梁表现为细密的网状影,骨髓腔呈低密度;还可显示关节骨端和骨性关节面,呈线状高密度影;影像中观察软组织结构,能区分肌肉、脂肪、血管等。

功能
脚掌皮肤具有角质层,皮下组织坚实,内有韧带相连,因此脚掌皮肤具有耐磨、耐压、承重的功能,并有推之不滚动的特点,能协助人体完成站立、行走、跑跳等动作。
参考文献
[1]邵水金.人体解剖学.第4版[M].北京.中国中医药出版社.2016.17.
[2]金征宇.医学影像学.第3版[M].北京.人民卫生出版社.2015.504.
[3]靳安民.骨科临床解剖学[M].济南.山东科学技术出版社.2020.473.
展开
