概述
牙髓炎主要表现为疼痛,同时可见深牙周袋、流脓血、牙石堆积、牙龈水肿或充血等情况。多由口腔微生物感染、急性创伤等因素导致。
症状
牙髓炎分为可复性牙髓炎和不可复性牙髓炎,其中不可复性牙髓炎根据病程特点分为急性牙髓炎、慢性牙髓炎、残髓炎、逆行性牙髓炎,不同类型疾病症状表现不同。
可复性牙髓炎
当患牙遇冷、热温度刺激或酸、甜化学刺激时,立即出现瞬间的疼痛反应,尤其对冷刺激敏感,刺激去除后疼痛立即消失。无自发性疼痛。患牙常见有接近髓腔的牙体硬组织病损,或有深牙周袋、咬合创伤等。

不可复性牙髓炎
急性牙髓炎:表现为突然发生剧烈的自发性尖锐疼痛、夜间痛,另外可出现遇冷热刺激时疼痛加重,常不能自行定位疼痛位置。检查可见微小穿髓孔,并有少许脓血自穿髓孔流出、部分牙髓坏死。

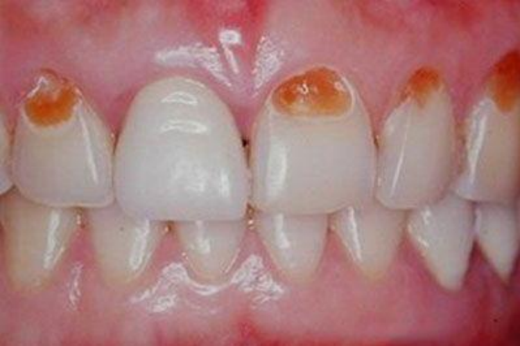
慢性牙髓炎:一般无剧烈的自发性疼痛,有时出现阵发性隐痛或钝痛,伴有咬合不适,可自行定位疼痛位置。检查可见患牙有大量软垢、牙石堆积,或见龋洞中有牙髓息肉。

残髓炎:残髓炎的疼痛与慢性牙髓炎相似,常表现为自发性钝痛、放散性痛、温度刺激痛。炎症发生于近根尖孔处的根髓组织,患牙多有咬合不适感。患牙牙冠做过牙髓治疗后的充填修复体或暂封材料。温度测试反应可为迟缓性痛或稍有感觉。轻度叩痛或不适感。

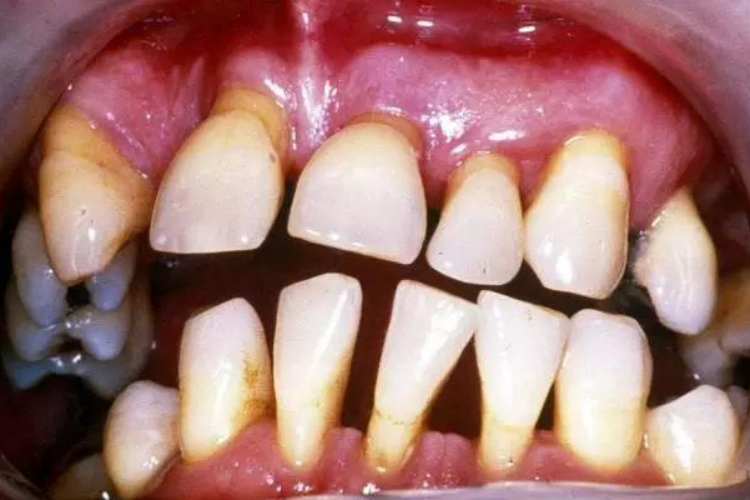
逆行性牙髓炎:患牙可表现为典型的急性牙髓炎症状,也可呈慢性牙髓炎症状。患牙均有长期的牙周炎病史,牙体多完整,无引发牙髓炎的深龋或其他牙体硬组织疾病。可见牙龈水肿、充血,牙周袋溢脓。可探及深达根尖区的牙周袋或较为严重的根分叉病变。温度测试为激发痛、迟钝或无反应。有轻度到中度叩痛。患牙可有不同程度的松动。X线片检查患牙有广泛的牙周组织破坏或根分叉病变。


原因
牙髓炎与口腔微生物感染、急性创伤、过高温度刺激、温度骤变、充填修复材料刺激等有关,上述因素可导致牙髓症状血管扩张、充血,病原菌侵入牙髓或牙髓受到刺激,进而引起牙髓炎症性病变。
治疗
对于可复性牙髓炎去除诱因后可逐渐恢复原有状态。而对于不可复性牙髓炎,不能自行消除,需遵医嘱摘除牙髓缓解症状,并且需要去除牙髓腔内的感染,再用生物相容性材料充填密封根管杜绝再次感染。临床上常使用根管治疗术治疗。通过及时有效的治疗,患牙一般可以保存。但若治疗不及时,感染会进一步扩散,引起根尖周的炎症,甚至导致牙的丧失。
参考文献
[1]张志愿.口腔科学.第9版[M].北京.人民卫生出版社.2018.54-56.
[2]樊明文.中华医学百科全书.2.临床医学.口腔医学[M].中国协和医科大学出版社.2018.35.
