概述
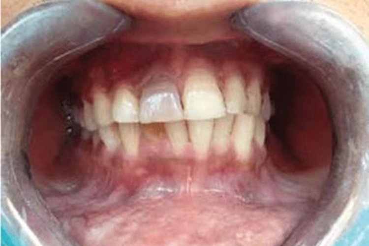
根尖囊肿可表现为牙齿根部隆起红色疙瘩,旁边的牙齿出现变色,呈灰白色。
该病是由于根尖肉芽肿、慢性炎症的刺激引起的,需遵医嘱进行相应治疗。
症状
根尖囊肿可表现为牙齿根部隆起红色疙瘩,旁边的牙齿出现变色,呈灰白色,牙齿表面失去光泽。

病因
根尖囊肿牙齿变色是由于根尖肉芽肿、慢性炎症的刺激引起牙周膜内的上皮残余增生,部分牙髓遭到破坏,导致其附近的牙齿变色。
治疗
对于根尖囊肿牙齿变色的情况,首先要消除囊肿。患者可遵医嘱选择清除囊肿内的细菌感染,进行根管治疗。
如果囊肿较大,也可进行开窗减压术解除囊内压力,使囊腔与口腔相通,使内环境改变,抑制囊肿的生长,并随着颌骨运动有效刺激囊肿周围骨质重建。根尖手术可消除根尖囊肿,医生会把病变位置的牙龈翻开,彻底刮除根尖囊肿。如果病牙不稳固,应一并拔除病牙。
日常应注意高度重视口腔卫生,养成良好的生活习惯,早晚刷牙,饭后十分钟内用清水漱口,必要时使用牙线或冲牙器深度清洁。
参考文献
[1]孙虹,张罗.耳鼻咽喉头颈外科学.第9版[M].北京.人民卫生出版社.2018.244.
[2]樊明文.中华医学百科全书 2 临床医学 口腔医学[M].北京.中国协和医科大学出版社.2018.48-49.
展开
