概述
牙龈炎可能是口腔卫生不良等因素导致,疾病可导致局部出现溃疡,溃疡向内凹陷,患者应遵医嘱治疗。
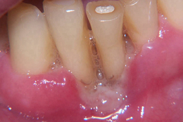
症状
牙龈炎的症状可以表现为局部溃疡,表面颜色泛白,向内凹陷,患者可有疼痛等不适症状,损害可自行消退,部分患者可持续轻度炎症数年。

病因
牙龈炎常见的病因是口腔卫生差,不良的口腔卫生使牙菌斑沉积于牙齿与牙龈之间,造成龈沟加深,另外牙结石、不良修复体等也可造成牙龈炎的发生。
治疗
牙龈炎患者可通过改善口腔卫生控制疾病,同时遵医嘱使用抗菌漱口液,如复方氯己定含漱液,并进行彻底的洁治处理。必要时,重新修整修复体的不良外形,并祛除局部刺激因素。
参考文献
[1]刘秦鹏主编.现代临床外科疾病诊断与治疗[M].天津.天津科学技术出版社2020.177-180.
[2]孟焕新.牙周病学.第5版[M].北京.人民卫生出版社.2020.131-134.
展开
