概述
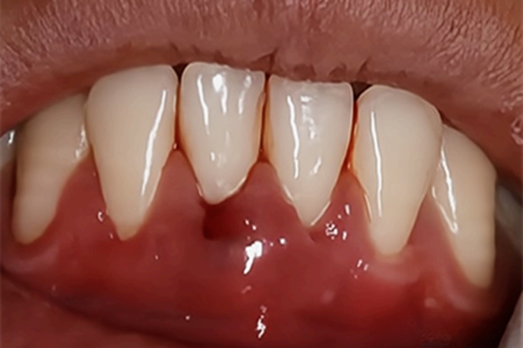
急性牙周脓肿可表现为患者牙龈出现一红色的小疙瘩,如绿豆大小,牙龈发红并有水肿。
该病可能是牙周炎患者机体抵抗力下降而引起,需遵医嘱进行相应治疗。
症状
急性牙周脓肿可表现为患者牙龈出现一红色的小疙瘩,如绿豆大小,牙龈发红并有水肿,同时疼痛明显,患者进食时或用舌头舔舐时,牙龈格外敏感。

病因
急性牙周脓肿可能是牙周炎患者机体抵抗力下降而引起。此外,牙面有深牙周袋、洁治或龈下刮治时操作不当、牙髓治疗时根管侧穿牙体等因素也可引起急性牙周脓肿。
治疗
对于急性牙周脓肿牙龈有红色小疙瘩的情况,首先应将脓肿切开,然后用生理盐水彻底冲洗脓腔,使脓液充分引流,以缓解髓腔压力。然后局部应用消炎止痛药,缓解急性疼痛,并用抗生素,如甲硝唑、奥硝唑、头孢他啶等预防感染。需注意,以上治疗均需在医生的指导下进行。
日常应注意重视口腔卫生,养成良好的生活习惯,早晚刷牙,饭后十分钟内用清水漱口,必要时用牙线或冲牙器深度清洁。保持饮食清淡,避免吃辛辣刺激的食物,也避免喝咖啡、浓茶、酒等刺激性饮料。注意监测病情变化,定期遵医嘱复查。
参考文献
[1]孟焕新.牙周病学.第5版[M].北京.人民卫生出版社.2020.173-175.
[2]樊明文主编.中华医学百科全书 2 临床医学 口腔医学[M].北京:中国协和医科大学出版社,2018.11.94.
展开
