概述
药物性牙龈肥大可表现为牙龈红肿、增生、肥大,牙龈易出血。本病与长期服用某些药物相关,需注意口腔清洁,治疗牙齿相关的疾病。
症状
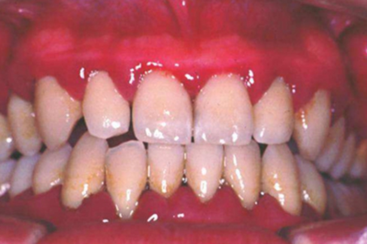
药物性牙龈肥大患者口腔大部分牙龈增生红肿、牙龈处肥大,尤其是下牙龈更为明显,呈紫红色,常合并有牙龈炎症,可伴有疼痛等不适症状,刷牙易出血。

病因
长期服用抗癫痫药苯妥英钠,可使已有炎症的牙龈发生纤维性增生,大约一半的患者可发生牙龈增生肥大,年轻人多于老年人。免疫抑制剂环孢素和钙通道阻滞剂如硝苯地平、维拉帕米等也可引起本症。
治疗
药物性牙龈肥大患者要进行认真细致的牙周基础治疗,如果状况改善不明显,应在医师协助下停药或换药。通过洁治、刮治去除局部刺激因素,配合药物治疗,用过氧化氢液冲洗龈袋,在袋内放入抗菌消炎药物。
参考文献
[1]张志愿.口腔科学.第9版[M].北京.人民卫生出版社.2018.65.
[2]孟焕新.牙周病学.第5版[M].北京.人民卫生出版社.2020.137-139.
展开
