概述
口腔真菌感染舌苔会出现假膜、充血、红斑或白斑等,需进行药物治疗。
口腔真菌感染可致急性假膜型念珠菌性口炎、急性红斑型念珠菌性口炎等疾病。
症状
口腔真菌感染可致急性假膜型念珠菌性口炎、急性红斑型念珠菌性口炎、慢性增殖型念珠菌病等疾病,舌头症状存在差异。
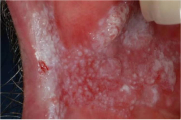
急性假膜型念珠菌性口炎
急性假膜型念珠菌性口炎会出现舌黏膜充血,有散在的色白如雪的柔软小斑点,如帽针头大小,不久即相互融合为白色丝绒状斑片,可继续扩大蔓延,严重者波及扁桃体、咽部。早期黏膜充血较明显,故呈鲜红色与雪白的对比。而陈旧的病损黏膜充血减退,白色斑片带淡黄色。斑片附着不十分紧密,稍用力可擦掉,暴露红的黏膜糜烂面及轻度出血。

急性红斑型念珠菌性口炎
急性红斑型念珠菌性口炎表现为舌黏膜上出现外形弥散的红斑,严重时舌背黏膜呈鲜红色并有舌乳头萎缩, 双颊、上腭及口角也可有红色斑块。黏膜红斑是由于上皮萎缩加上黏膜充血所致,若继发于假膜型,则可见假膜。自觉症状为口干、味觉异常、疼痛及烧灼感。

慢性增殖型念珠菌病
慢性增殖型念珠菌病可表现为舌苔呈结节状或颗粒状增生,黏膜充血明显,或为固着紧密的白色角质斑块,类似一般黏膜白斑,表层的假膜与上皮层附着紧密,不易脱落。

病因
急性假膜型念珠菌性口炎、急性红斑型念珠菌性口炎、慢性增殖型念珠菌病均属于口腔念珠菌病,为常见的口腔真菌感染性疾病,常见致病菌为白(色)念珠菌、热带念珠菌、光滑念珠菌、克柔念珠菌等。
治疗
口腔真菌感染首先应去除可能的诱发因素,如停用抗生素等,并遵医嘱使用针对性的药物治疗。局部药物治疗可应用氯己定、西地碘、制霉菌素等,全身抗真菌药物治疗可应用氟康唑、伊曲康唑等。还可使用胸腺素、转移因子增强机体免疫力。若出现异常增生的慢性增殖性念珠菌病,治疗期间应严格观察,疗效不明显时应考虑手术切除。
参考文献
[1]张志愿.口腔科学.第9版[M].北京.人民卫生出版社.2018.72-73.
[2]陈谦明.口腔黏膜病学.第5版[M].北京.人民卫生出版社.2020.28-30.
