概述
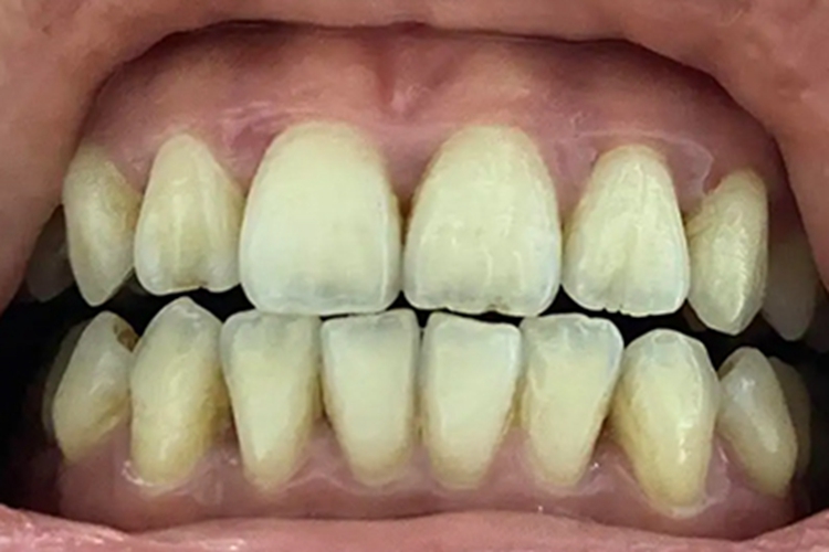
牙龈薄表现为龈乳头缺失,牙龈外观红而光亮,透过薄牙龈会显露出牙冠边缘。
如果牙龈薄则容易在牙体预备等治疗中受到损害,建议及时进行相应治疗。
表现
牙龈薄能看到牙根,可能会看到龈乳头缺失,牙龈外观红而光亮,透过较薄的牙龈会显露出牙冠边缘,患者一般不伴有不适症状。
注意事项
如果牙龈薄,容易在牙体预备、取模和修复体黏固等治疗步骤中受到损害,从而引起感染。因此,对于较薄的牙龈组织,通常建议在医生指导下将修复体龈边缘置于平齐牙龈稍下的位置。
参考文献
[1]张江云主编.口腔疾病诊疗技术常规[M].长春.吉林科学技术出版社.2019.76.
[2](美)MichaelS.Block原著;谭震,王航主译.口腔种植外科彩色图谱[M].北京/西安.世界图书出版公司.2017.297.
展开
