概述
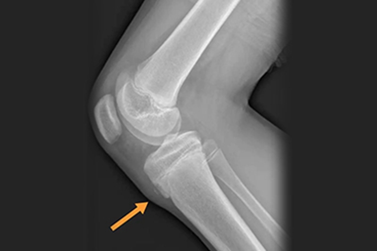
胫骨结节炎发生在髌骨下方,X线片显示胫骨结节骨骺呈舌状,常伴有局部骨骼疼痛、肿胀。可能与过度运动等因素有关。
症状
胫骨结节炎临床表现为膝痛,行走时明显,上下楼梯时加重。X线片显示胫骨结节骨骺呈舌状,骨骺骨质致密,或骨骺边缘不规则,附近软组织肥厚,或见骨骺碎裂与骨干分离。体格检查发现一侧或双侧胫骨结节上端前方局限性肿胀,压痛明显,晚期胫骨结节肥大突起,对股四头肌抵抗阻力运动引起局部疼痛加重。


病因
胫骨结节炎常发生于足球、篮球,手球、田径、体操等因奔跑、跳跃、踢腿而使用膝部的运动中。运动过度会引起胫骨结节炎的发生,导致骨骺线反复刺激而受伤、断裂、发生炎症。另外、骨骼、肌肉与肌腱的发育不平衡也可导致胫骨结节炎。
治疗
胫骨结节炎具有自限性,骨骺骨化后,症状自消,但时间很长。建议在医生指导下治疗,治疗以减少运动量为主。在急性期间,膝部于伸直位石膏托固定,患者仍可行走,若局部疼痛严重,则卧床休息,直到疼痛消失为止。待症状缓解后,逐渐恢复活动。也可遵医嘱使用氢化可的松局部封闭,同时热敷及按摩消除局部肿胀,必要时采取手术治疗。
参考文献
[1]王勇.临床骨科疾病诊疗研究[M].长春.吉林科学技术出版社.2020.285-286.
[2]潘少川.实用小儿骨科学.第3版[M].北京.人民卫生出版社.2016.41.
展开
