概述
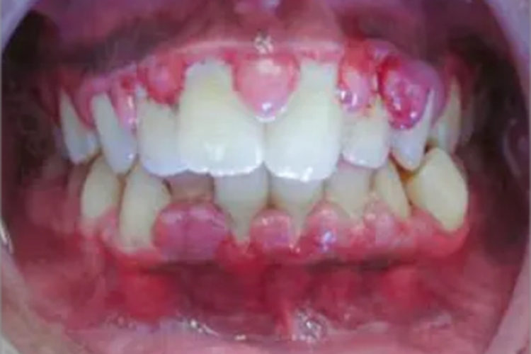
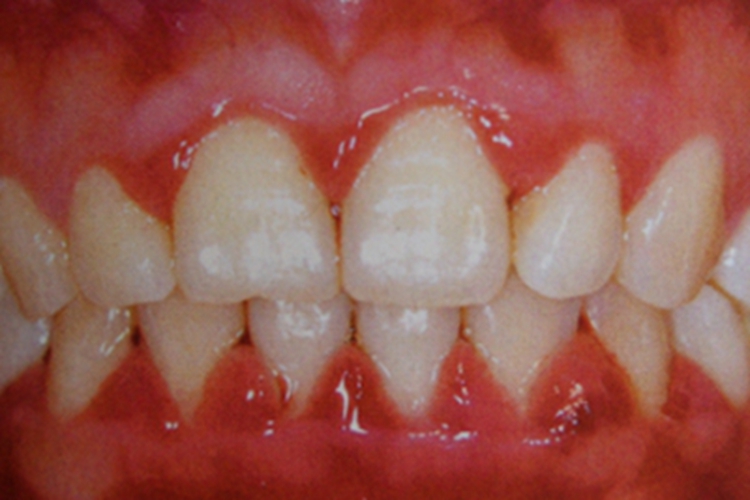
妊娠期龈炎局部可见肿胀、肿块,颜色发红,质地松软,光亮,一般无疼痛。其与牙菌斑有关,可用过氧化氢溶液冲洗或含漱。
症状
妊娠期龈炎可表现为一个或多个瘤样肥大,像肿块一样,颜色为鲜红或暗红色,质地松软,光亮,呈显著的炎性肿胀,轻触牙龈极易出血,一般无疼痛,严重时龈缘可有溃疡或假膜形成。


病因
妊娠期龈炎与牙菌斑和患者的黄体酮水平升高有关。妊娠本身不会引起龈炎,只是由于妊娠时性激素水平的改变使原有的慢性炎症加重。因此牙菌斑是本病的直接原因,此外与体内性激素水平的变化有关。
治疗
妊娠期龈炎治疗上应遵医嘱去除一切局部刺激因素,如牙菌斑、牙石、不良修复体等,操作时要特别仔细,动作轻柔,尽量减少出血;牙龈肿胀肥大明显、龈袋有溢脓时,可用过氧化氢溶液冲洗或含漱,尽量避免使用药物治疗,以免影响胎儿发育。
参考文献
[1]张志愿.口腔科学.第9版[M].北京.人民卫生出版社.2018.64-65.
[2]孟焕新.牙周病学.第5版[M].北京.人民卫生出版社.2020.134-136.
[3]口腔执业医师资格考试专家组.口腔执业医师资格考试应试指导2020版[M].北京.中国协和医科大学出版社.2019.460.
[4]徐国权.口腔临床技术与临床实践[M].江西.江西科学技术出版社.2019.99.
展开
