概述
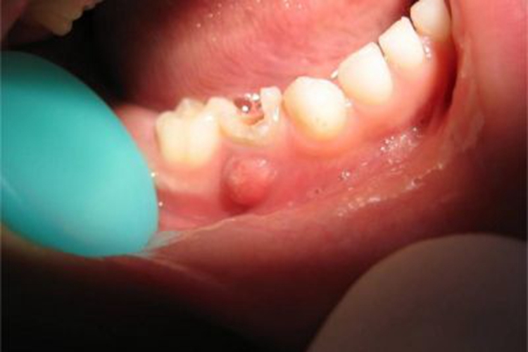
牙槽脓肿可表现为局部出现小红疙瘩,触之有波动感。可累及周围组织出现炎性反应,自觉有疼痛感,通常由牙髓炎进一步发展而导致。
症状
牙槽脓肿可表现为牙齿有浮起感,牙龈肿胀明显,局部形成一个小红疙瘩,有波动感,表面黏膜发红,患牙疼痛明显,叩痛更加强烈,牙齿出现明显松动,周围软组织亦有炎症表现。患者同时伴有体温升高,白细胞计数增高;严重病例可继发颌面部相应的蜂窝织炎。

病因
牙槽脓肿通常由牙髓炎进一步发展而导致,急性化脓性根尖周炎和慢性化脓性根尖周炎急性发作均可造成牙槽脓肿,由于龋病、牙髓炎未及时治疗,根管内感染物质通过根尖孔作用于根尖周组织,引起根尖周组织感染。
治疗
治疗牙槽脓肿需先进行应急处理,缓解症状,随后进行抗菌治疗,待感染得到控制后再治疗患牙。一般急性期过后治疗患牙,可根据牙冠破坏的程度,松动度以及根尖骨质破坏情况,选择根管治疗、根尖切除、牙冠修复等方式。
参考文献
[1]北京医师协会组织编写.口腔科诊疗常规[M].北京.中国医药科技出版社.2020.175-176.
[2]戴淑凤.学前儿童常见病与意外伤害应急处理速查手册[M].北京.教育科学出版社.2019.116.
[3]王玮主编.现代实用口腔医学[M].昆明.云南科技出版社.2020.213.
展开
