概述
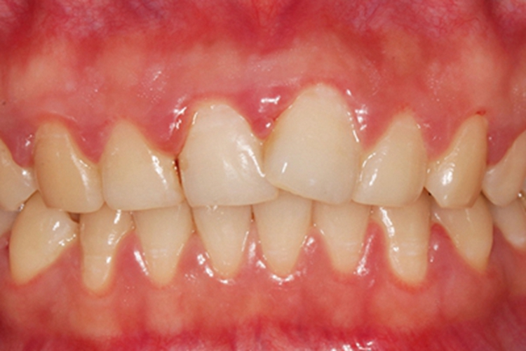
妊娠期龈炎可导致孕妇的牙龈缘和龈乳头红肿,外观为鲜红色,质地较软,伴有疼痛。
该病是由于女性激素水平升高,导致原有的牙龈慢性炎症加重引起的,可遵医嘱进行治疗。
症状
妊娠期龈炎发生于牙龈,可导致孕妇的牙龈缘和龈乳头红肿,外观为鲜红色,质地较软,伴有疼痛。

病因
此病的发生是由于在妊娠期间,女性激素水平升高,导致原有的牙龈慢性炎症加重,牙龈发生显著的炎性肿胀,牙龈组织内血管扩张、弯曲,以致血流淤滞,具体可表现为牙龈充血红肿。
治疗
针对妊娠期龈炎牙龈红肿的症状,在治疗上应去除一切局部刺激因素,如菌斑、牙石、不良修复体等,操作时要特别仔细,动作轻柔,尽量减少出血。
牙龈肿胀肥大明显的患者,可用过氧化氢溶液冲洗或含漱,尽量避免使用药物治疗,以免影响胎儿发育。具体治疗应谨遵医嘱进行。
患者在日常生活中,应注意口腔卫生的清洁,坚持早晚使用软毛牙刷刷牙,并在饭后漱口。避免食用辛辣、油腻、生冷、坚硬等刺激性食物,以免加重炎症。多饮水,多吃水果、蔬菜,有助于病情的恢复。
参考文献
[1]张志愿.口腔科学.第9版[M].北京.人民卫生出版社.2018.64-65.
[2]孟焕新.牙周病学.第5版[M].北京.人民卫生出版社.2020.134-136.
[3]口腔执业医师资格考试专家组.口腔执业医师资格考试应试指导2020版[M].北京.中国协和医科大学出版社.2019.460.
[4]徐国权.口腔临床技术与临床实践[M].江西.江西科学技术出版社.2019.99.
展开
