概述
中龋可导致单个或多个牙齿出现龋坏,表面发黑,并有形状不规则的龋洞。本病是由多种因素共同作用引起,需遵医嘱治疗。
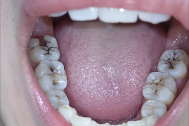
症状
中龋可导致单个或多个牙齿有不同程度的龋坏,表面发黑,可形成黄褐色、黑褐色至黑色不等的斑点、条纹或斑块,大小、数量不等,多沿着牙窝沟分布。同时牙齿表面可有宽窄、深浅不一的龋洞,形状不规则,患者对酸、甜刺激敏感,过冷过热饮食也能产生酸痛不适,冷刺激尤为显著,刺激去除后症状立即消失。

病因
中龋是由多种因素共同作用引起,细菌长时间停留、堆积在牙齿表面形成牙菌斑,经常进食甜食、不注意口腔卫生等,细菌可分解食物中的糖产生酸,导致牙体硬组织发生持续性脱矿,造成牙齿发黑有龋洞。
治疗
中龋患者牙齿有异常的发黑、龋洞时,可根据自身情况,遵医嘱采取银汞合金填充术、复合树脂直接粘接修复术、嵌体修复术等手术治疗,也可用氟化物、氟化铵银等处理龋洞,也可防止龋洞的形成或加重。
参考文献
[1]张志愿.口腔科学(第9版)[M].北京.人民卫生出版社.2018.43-45,58-60.
[2]周学东.牙体牙髓病学(第5版)[M].北京.人民卫生出版社.2020.24-27.
展开
