概述
大牙指的是磨牙,当其发生严重龋坏或导致严重牙周病等情况时,常需要拔除,以免影响周围牙齿或牙髓,影响咀嚼功能。
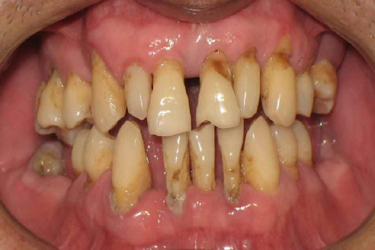
程度
对于大牙发生严重龋病,因龋坏致牙冠严重破坏已不能修复,而且牙根或牙周情况不适合做桩冠或覆盖义齿等,需要拔除。

如大牙龋坏或牙周疾病等原因引起晚期牙周病,牙周骨质丧失过多,牙松动已达Ⅲ度,经常牙周溢脓,影响咀嚼功能,也需拔除。

如大牙存在严重的根尖周病变,已不能用根管治疗、根尖手术或牙再植术等方法进行保留,也需要拔除。

注意事项
拔牙后需遵医嘱做好相关护理措施,避免出现出血过多或创面感染等不良后果。
拔牙后伤口处一般会放上棉卷,要适度地咬紧,30分钟后才能吐掉。
拔牙当天勿用力吐痰、吐口水,不能用舌舔创口,不要吮吸创口,也不要用手指或牙刷等东西去触及创面。拔牙后第2天可刷牙,但也应谨慎,勿使牙刷触及创面。
24小时以内不能漱口。拔牙2小时后方可进食,禁食辛辣或太烫、太硬的食物,也不要饮酒、喝碳酸饮料和吸烟。
24小时以内,可能在唾液中带有少量的血水,是正常现象。如出现大量的出血,可立即找一块消毒的纱布放在出血的创口上咬住,然后去医院。
拔牙当天,不应剧烈运动。
如果拔牙创面进行了缝合,一般在拔牙后5-7天拆线。
参考文献
[1]张志愿.口腔科学.第9版[M].北京.人民卫生出版社.2018.97.
[2]王虎中,谢玉茹主编;王林虎,刘诚,覃昱副主编.口腔卫生保健[M].北京:人民军医出版社,2014.50.
展开
