概述
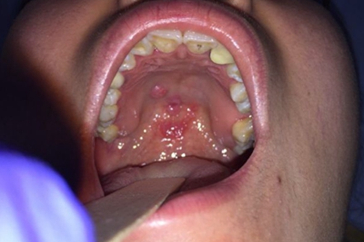
二期口腔梅毒的损害可发生于上牙膛,临床可表现为初期黏膜充血,弥漫性潮红。
该症状是由梅毒螺旋体感染引发,患者应积极治疗二期口腔梅毒。
症状
二期口腔梅毒的损害可发生于上牙膛,临床上可表现为初期黏膜充血,弥漫性潮红,无明显疼痛感,随病情进展,会逐渐形成类圆形的灰白色斑块,严重时还会出现浅表溃疡。

病因
患者的一期口腔梅毒未经治疗或治疗不彻底导致病症加重,或者其他部位的梅毒螺旋体大量繁殖,由淋巴系统进入血液循环形成菌血症,并播散至全身,从而引起口腔黏膜损害,使上牙膛血管异常扩张,局部血液过多,出现充血症状。
治疗
患者应积极治疗二期口腔梅毒,进而缓解皮损症状。患者可在医生指导下进行注射用普鲁卡因青霉素肌注,或进行注射用苄星青霉素分两侧臀部肌注。而对于青霉素过敏者,可选用注射用头孢曲松钠进行静脉滴注,或在医生的指导下服用盐酸多西环素片、红霉素肠溶片、四环素片等药物。
参考文献
[1]张震康,俞光岩,徐韬.实用口腔科学.第4版[M].北京.人民卫生出版社.2016.162-163.
[2]孟庆飞等主编.口腔科疾病临床诊治要点;上[M].长春.吉林科学技术出版社.2016.223.
[3]张学军,郑捷.皮肤性病学.第9版[M].北京.人民卫生出版社.2018.110.
展开
