概述
腹膜后淋巴结肿大是由感染或自身免疫功能低下引发的症状,可伴有全身性不适。
腹膜后淋巴结肿大可见于霍奇金淋巴瘤、腹膜间皮瘤等疾病,需对因治疗。
症状
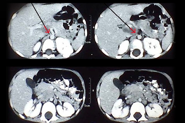
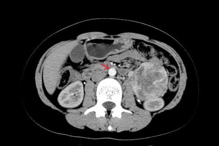
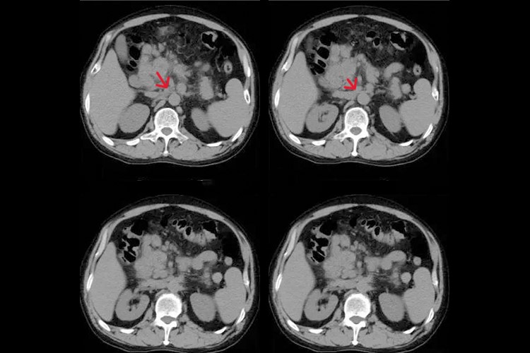
腹膜后淋巴结肿大可见于霍奇金淋巴瘤、腹膜间皮瘤或艾滋病合并马尔尼菲篮状菌感染,其各自的表现如下:
霍奇金淋巴瘤
霍奇金淋巴瘤的主要症状为全身多处淋巴结增大,易累及腹膜后淋巴结,伴有发热、盗汗、瘙痒及消瘦等全身症状,常以原因不明的持续发热为起病症状。患者一般年龄稍大,男性较多,年轻女性自觉瘙痒可为霍奇金淋巴瘤的唯一全身症状。

腹膜间皮瘤
腹膜间皮瘤早期无明显症状,后期表现为腹水、腹部肿块、腹痛、腹胀、胃肠道症状以及全身不适等。腹部超声检查可见腹膜不规则增厚、实质性肿块改变、腹水、腹膜后淋巴结肿大、肠系膜增厚等。

艾滋病合并马尔尼菲篮状菌感染
艾滋病合并马尔尼菲篮状菌感染患者的典型症状为出现皮肤损害(脐凹样皮疹、丘疹、结节等)、呼吸道感染(发热、咳嗽、咳痰、胸痛和呼吸困难等)和消化道症状(腹痛、腹胀、腹泻、便血、等),伴有腹腔及腹膜后区广泛的淋巴结肿大。

病因
霍奇金淋巴瘤、腹膜间皮瘤和艾滋病合并马尔尼菲篮状菌感染是由不同的致病因素所引起,具体分析如下:
霍奇金淋巴瘤
霍奇金淋巴瘤可由感染疱疹病毒、人类免疫缺陷病毒、麻疹病毒、幽门螺杆菌等引起发病。此外,本病受遗传因素影响,可具有家族史。
腹膜间皮瘤
腹膜间皮瘤是由于长期的生活习惯以及饮食结构等因素造成机体功能的下降,引起身体器官局部病变,当腹膜部位沉积了大量的酸性物质以后会造成腹膜间皮细胞溶氧量下降、腹膜间皮组织液酸化,进而形成肿瘤。
艾滋病合并马尔尼菲篮状菌感染
马尔尼菲青霉菌病好发于免疫功能严重低下的晚期艾滋病患者,其发病率在雨季增加,多寄生于竹鼠体内,竹鼠生活的土壤、空气传播或接触污染利器等都可引起发病。
治疗
对于霍奇金淋巴瘤、腹膜间皮瘤和艾滋病合并马尔尼菲篮状菌感染的治法分别如下:
霍奇金淋巴瘤
霍奇金淋巴瘤是化疗可治愈的肿瘤之一,可行淋巴结切除术并配合全身化疗、放射治疗等,肿瘤早期复发患者可考虑进行挽救性高剂量化疗及造血干细胞移植。
腹膜间皮瘤
早期腹膜间皮瘤最有效的治疗方法为手术切除;对于弥漫性肿瘤应切除其主要瘤体或大部分瘤体,并辅助进行放疗和化疗,常用环磷酰胺、甲氨蝶呤等药物;白细胞计数过低时,应停止腹腔化疗。还可作介入化疗。
艾滋病合并马尔尼菲篮状菌感染
马尔尼菲青霉菌病不论病情轻重,均建议采用两性霉素B诱导治疗+伊曲康唑巩固治疗的序贯疗法,如患者无法耐受两性霉素B,可选择伏立康唑进行治疗。还需坚持对艾滋的抗病毒和免疫重建治疗。
参考文献
[1]段志军.内科学 高级医师进阶.第1版[M].北京.中国协和医科大学出版社.2016.452-455,482-485.
[2]“十三五”国家科技重大专项艾滋病机会性感染课题组,陈耀凯,吴昊,等.艾滋病合并马尔尼菲篮状菌病临床诊疗的专家共识[J].西南大学学报 自然科学版,2020,42(7).15.61-69.
[3]李兰娟,任红.传染病学.第9版[M].北京.人民卫生出版社.2018.128-131.
