概述
扁桃体CT可观察到扁桃体体积、位置有无异常,扁桃体正常时CT显示双侧对称,位于扁桃体窝内,发现扁桃体异常时应积极治疗。
表现
扁桃体CT通常为口咽部软腭平面的平扫,可分为正常表现与异常表现两种情况。
正常表现
扁桃体正常时CT显示腭扁桃体与腭弓等密度,其两侧形状对称,腭扁桃体位于咽外侧壁舌腭与咽腭弓间的扁桃体窝内。

异常表现
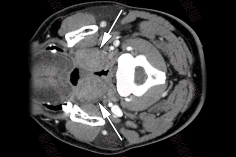
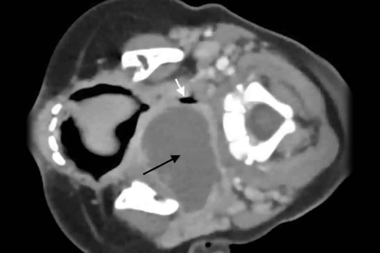
扁桃体常见异常为扁桃体炎、扁桃体脓肿,二者CT表现不同。
扁桃体炎:CT可见扁桃体区软组织广泛肿胀,密度欠均匀,边界不清,可有脓肿形成。肿胀软组织内出现低密度区,增强表现为边缘环状强化,中央低密度坏死,可累及咽后间隙、咽旁间隙及颌下间隙。

扁桃体脓肿:CT平扫可见咽后壁软组织肿胀并突向咽腔,致气道变形,与深部组织分界清或不清,增强呈不规则环形强化,脓腔无强化。结核性脓肿有时见脓肿壁钙化。

意义
扁桃体CT通过扫描横断面,可利用多平面重组后处理技术,得到冠状面、矢状面及其他任意方位图像。发现病变时可进行增强扫描,于软组织窗观察。CT扫描组织密度分辨率最高,能显著提高各种组织之间的对比度,有助于扁桃体病变的检出。
参考文献
[1]许乙凯,吴仁华著.医学影像学[M].西安.西安交通大学出版社.2017.140.
[2]冯友珍等编著.现代临床影像诊断精粹 第2版 上[M].长春.吉林科学技术出版社.2019.16.
展开
