概述
牙根尖囊肿是颌骨内最常见的牙源性囊肿,根尖脓肿是由急性浆液性根尖周炎发展而来。
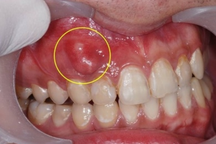
牙根尖囊肿可表现为常和一死髓牙相连,多无自觉症状。根尖脓肿表现为持续的剧烈跳痛。
症状
牙根尖囊肿与脓肿分别有不同的临床表现,具体如下:
牙根尖囊肿:常和一死髓牙相连,多无自觉症状。由于牙髓已坏死,牙体无光泽,呈黄色或灰色。囊肿大小不等,平均1-2cm,大者可达鸡蛋大。较大的囊肿常致颌骨膨胀,骨密质变薄,压迫邻牙使其牙根吸收或引起邻牙松动移位。

根尖脓肿:又称急性化脓性根尖周炎。常表现为持续的剧烈跳痛。根据脓液所侵犯的部位不同在表现上略有区别。牙髓一般已无活力,临床检查见患牙多已变色或失去光泽。严重者伴有全身乏力、发热、失眠等全身症状。

病因
根尖囊肿通常由先前存在的根尖肉芽肿转化而来。急性化脓性根尖周炎多由急性浆液性根尖周炎发展而来,也可由慢性根尖周炎转化而来。
治疗
根尖囊肿治疗可以和患牙一起切除,病变会得到彻底的解决。如果患牙拔出而囊肿没有还在,大多数囊肿会退化,但也有少数囊肿仍会存在,可能是来自囊壁的炎症刺激,需要手术刮除囊壁。有些小的根尖囊肿可以进行根管预备和根管充填治疗,也可治愈根尖囊肿。急性化脓性根尖周炎应急治疗可髓腔开放引流、脓肿形成后,切开排脓、调(牙合)磨改、抗感染、止痛治疗。急症缓解后,酌情做根管治疗或牙髓塑化治疗。
参考文献
[1]樊明文主编.中华医学百科全书.2.临床医学.口腔医学[M].北京.中国协和医科大学出版社.2018.45.
[2]李晔.陈玮粲.蒋斯等主编.口腔科实用诊疗技术[M].北京.科学技术文献出版社.2018.181-182.
展开
