概述
中龋部位呈黄褐色或深褐色,可有小孔样龋洞,对酸甜刺激敏感,刺激去除后症状立即消失,可充填治疗的方法。
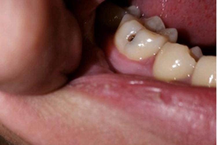
症状
中龋部位呈黄褐色或深褐色,可有龋洞形成,呈小孔样,牙体缺损明显,对酸甜刺激敏感,过冷过热饮食也能产生酸痛,冷刺激尤为显著,刺激去除后症状立即消失。

病因
中龋主要是由于口腔内的细菌与食物残渣等形成带腐蚀性的酸性物质,粘附在牙齿表面造成的牙齿损坏。
治疗
中龋有牙体的缺损,应选用充填治疗的方法,一般情况下,着色的牙本质应去除干净,可根据龋洞所在部位和患者经济状况来选择充填材料进行充填。某些情况下,经医生评估后,也可对一些无治疗意义的牙齿进行拔除。
参考文献
[1]张志愿.口腔科学(第9版)[M].北京:人民卫生出版社,2018:43-45,58-60.
[2]周学东.牙体牙髓病学(第5版)[M].北京:人民卫生出版社,2020:24-27.
展开
