概述
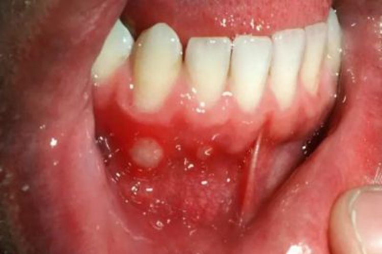
创伤性溃疡可表现为溃疡、水疱等,形态不整,破损后可形成糜烂面,自觉疼痛。
创伤性溃疡的发生主要与口内持久的机械刺激有关,应去除局部刺激因素。
症状
创伤性溃疡可在口腔黏膜出现水疱,之后破损后可形成溃疡或糜烂面,开始时可能仅有轻微疼痛或肿胀,溃疡为形态不整,有角的黏膜缺损,因唾液的浸渍,可使溃疡底发白,周边轻度炎性潮红,自觉疼痛。此外,表面渗出液和唾液混在一起,发生溃疡后可影响进食。





病因
创伤性溃疡主要与口内持久的机械刺激有关,如残冠、残根、不良修复体、锐利的牙齿边缘等。
治疗
创伤性溃疡首先应去除局部刺激因素,如拔除残根,修改或拆除不合适的修复体,磨改锐利的牙尖或切缘。同时可在医生指导下使用消炎镇痛药防止感染和镇痛,如复方氯己定含漱液、复方甘菊利多卡因凝胶等。
参考文献
[1]虞瑞尧,杨杨编著.儿童皮肤病彩色图谱[M].郑州:河南科学技术出版社.2019.443.
[2]陈乃玲等主编.口腔科疾病处置要点[M].长春:吉林科学技术出版社.2019.179.
展开
