概述
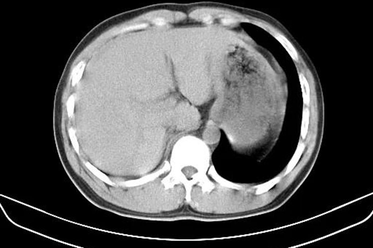
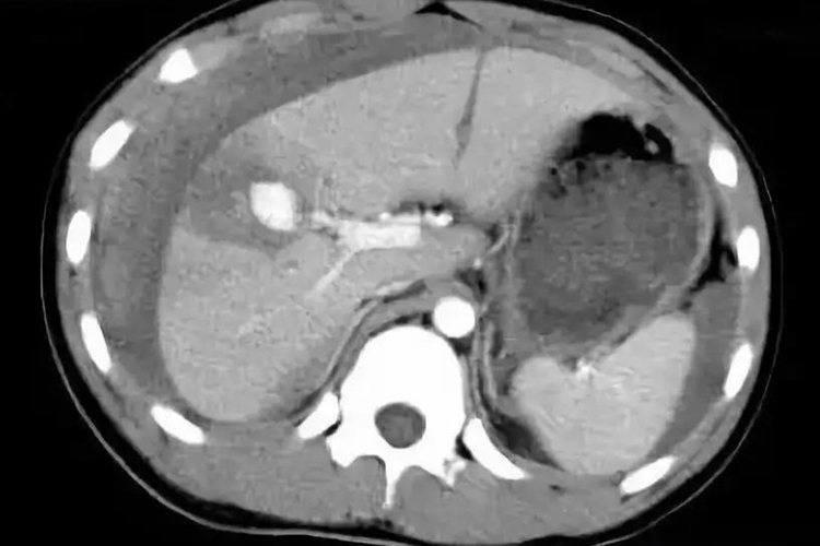
肝破裂多由坠落、机械性损伤导致,CT影像表现为肝实质破裂、肝血肿等,根据破裂的范围以及血肿的情况可分为Ⅰ-Ⅵ级。
症状
肝破裂的CT影像主要表现为肝实质损伤、破裂,以及肝出血导致血肿,根据损伤范围不同可分为Ⅰ-Ⅵ级,级别越低,损伤程度越低,例如Ⅰ级血肿小于1%的肝表面积,肝被膜撕裂,肝实质破裂深度小于1cm,而V级或Ⅵ级时肝实质破裂超过75%肝叶,肝脏从肝蒂上撕脱。


病因
肝破裂是指肝组织受外力作用发生破裂、挫碎和周围韧带撕裂。肝脏是一个体积较大、弹性较小、不易移动的实质性器官,故较易受伤,肝破裂多见于交通意外、高坠,肝右叶损伤较左叶多见,膈面受伤较脏面常见。肝破裂可由于钝器直接作用或间接作用引起,也可因刺伤或枪弹伤引起。
治疗
肝破裂多采用手术治疗,基本要求为彻底清创、确切止血、消除胆汁溢漏和建立通畅引流。肝脏火器伤和累及空腔脏器的非火器伤都应手术治疗。其他的刺伤和钝性伤,则主要根据伤员全身情况决定治疗方案。血流动力学稳定或经补充血容量后保持稳定的伤员,可在严密观察下进行非手术治疗。
参考文献
[1]赵玉沛,陈孝平.外科学.上册.第3版[M].北京.人民卫生出版社.2015.435-436.
[2]王保捷,侯一平.法医学.第7版[M].北京.人民卫生出版社.2018.50.
展开
