首页
我的
舌下腺囊肿症状图片
本文由有来医生原创,经专业医师审核校对
所有图片质量和准确性经专业医生严格审查
王卫之
主任医师 | 审核医师
山东大学齐鲁医院
|
口腔修复科
舌下腺囊肿大多系外渗性黏液囊肿,舌下腺受伤后导管破裂,黏液外渗入组织间隙所致,好发于儿童及青少年。本病多位于下颌舌骨肌以上的舌下区,呈浅紫蓝色。
舌下腺囊肿症状图片
下巴
大疙瘩
舌下腺囊肿下颌一侧长了大疙瘩图
舌下腺囊肿患者下颌区会出现一凸起的半球形肿物,外观形似大疙瘩,口底囊肿表现并不明显,触之柔软,与皮肤无粘连,可压缩,患者有明显的异物感。
口腔
疙瘩
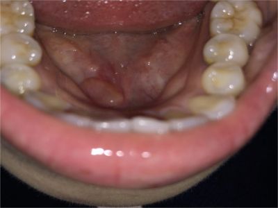
舌下腺囊肿舌底下长了个蚕豆大小的疙瘩图
舌下腺囊肿出现在舌系带一侧,表现为凸出于黏膜表面的疙瘩,如蚕豆大小,质地较软,有异物感,局部自发破溃,流蛋清样液体,常反复出现。
口腔
包块
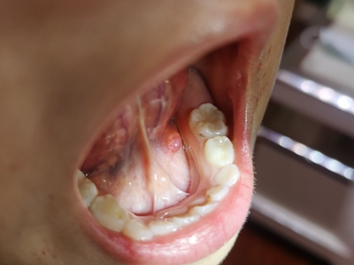
舌下腺囊肿舌头下面右侧有一个紫色包块图
舌下腺囊肿出现在口底舌系带一侧,表现为紫蓝色的隆起性包块,形态大致呈球形,界限清楚,质地柔软,囊肿增大后因破裂流出黏液。
口腔
大疙瘩
舌下腺囊肿舌头底下的筋旁边长个球形疙瘩图
舌下腺囊肿位于舌系带一侧的口底黏膜下,表现为表面光滑的球状大疙瘩,常继发感染导致局部肿胀、疼痛,呈进行性增大,并越过舌系带在对侧隆起。
口腔
肿块
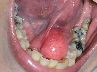
舌下腺囊肿舌头下面长了一个圆形肿块图
舌下腺囊肿位于舌底一侧,表现为圆形、光滑、柔软的肿块,直径约3cm大小,紧贴下牙,囊肿壁薄,呈浅紫蓝色,破裂并流出黏稠的液体。
口腔
包块
舌下腺囊肿舌头下面右侧有个包图
舌下腺囊肿因舌下腺导管炎症、损伤而缩窄或阻塞,导致分泌物在此积聚,出现囊性包块,逐渐长大,无痛感,随后破裂、渗液,有复发倾向。
口腔
肿块
舌下腺囊肿舌头下面一边肿起来图
舌下腺囊肿出现在口底一侧,有一个明显凸起的肿物,累及对侧,囊肿较大时导致舌头无法下压,影响说话和进食,囊肿壁较薄,常继发感染出现疼痛感。
口腔
肿块
舌下腺囊肿舌下一边长了个小肿块图
舌下腺囊肿紧贴舌系带,出现鼓起的肿块,初期体积较小,不容易引起注意,随着疾病进展,呈进行性增大,容易破溃后流出透明液体。
口腔
包块
舌下腺囊肿舌头下面长了一个紫色球形包块图
舌下腺囊肿发生在口底,表现为球形的浅紫蓝色包块,其内充满液体,有波动感,可将舌头推向健侧,严重时妨碍正常的咀嚼和言语功能。
口腔
囊肿
舌下腺囊肿舌头下面出现好几个囊肿图
舌下腺囊肿患者表现为舌头下长出质地柔软的囊性肿块,呈透明黄色,为米粒至黄豆大小,表面光滑有光泽,触之有波动感。囊肿壁薄弱,边界不清可连接成串。
口腔
疙瘩
舌下腺囊肿舌头下面有个疙瘩图
舌下腺囊肿患者舌头下面一个浅蓝紫色的囊性疙瘩,大小如黄豆样,表面光滑稀薄,周围有几个针尖大小的透明小疱,囊肿的内容物为清亮的黏性液体。
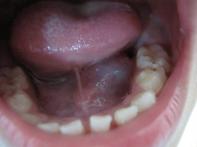
舌头
软疙瘩
舌下腺囊肿舌头下长了个软疙瘩图
舌下腺囊肿位于下颌舌骨肌以上的舌下区,呈浅紫蓝色,扪之柔软有波动感,常位于口底的一侧,有时扩展至对侧,囊肿发展很大时,引起吞咽、语言及呼吸困难。
口腔
圆疙瘩
舌下腺囊肿口腔舌系带处有肿起的圆疙瘩图
舌下腺囊肿患者皮损为舌系带处透明带点红色的圆疙瘩样囊肿,局部触之有波动感,质地柔软而有弹性,但囊肿变大后可影响进食与发音。
口腔
囊肿
舌下腺囊肿舌头下面出现透明色的囊肿图
舌下腺囊肿患者表现为黄豆大小的透明色囊肿,局部可能有胀痛,囊肿的囊壁很薄,可流出澄黄色的液体,建议及时到医院就诊,以免耽误治疗。
舌头
小红疙瘩
舌下腺囊肿舌头底下有个小红疙瘩图
舌下腺囊肿患者舌头底下出现一黄豆大小的疙瘩,颜色红润,表面光滑,触之较为柔软,无明显的异常感觉,但可逐渐增大,需及时就医治疗。
舌头
小红疙瘩
舌下腺囊肿舌头底下有个光滑的小红疙瘩图
舌下腺囊肿表现为舌头下方右侧出现一光滑的红色小疙瘩,形如草莓味的豆状软糖,与健康部位分界清楚,触摸时有一定的波动感。
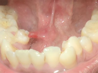
舌头
疙瘩
舌下腺囊肿舌头根底下有个红色疙瘩图
舌下腺囊肿累及舌头根底下时,局部有一鲜红色的豌豆大小的疙瘩,仔细观察甚至可以看见有血丝分布,表面光滑,有反光感。
舌头
疙瘩
舌下腺囊肿舌头下面有个突起的疙瘩图
舌下腺囊肿发生时,可于舌头侧下方观察到一个光滑的小凸起,形似小疙瘩,颜色较正常舌组织红,质地柔软,无明显的不适感。
舌头
小疙瘩
舌下腺囊肿舌头侧下方有个小疙瘩图
舌下腺囊肿患者舌头左侧下方出现一个透亮的小疙瘩,表面可见稀疏的红色血丝,内含清澈的液体,质地柔软,体积较小时无明显的异常感觉。
舌头
小疙瘩
舌下腺囊肿舌头根有个小疙瘩图
舌下腺囊肿发生于舌头根底下靠近左侧时,可观察到一鲜红色的柔软的小疙瘩,较为扁平,甚至无明显的自觉症状,可于照镜子时候发现。
舌头
肉赘
舌下腺囊肿舌头根有个小肉赘图
舌下腺囊肿症状表现为舌头根部出现一个鲜红色的突起物,状似小肉赘,如绿豆大小,触摸时自觉柔软并且有轻微的波动感,无明显的不适。
舌头
小红疙瘩
舌下腺囊肿舌头底下中间长了个小红疙瘩图
舌下腺囊肿可发生在舌头底下中间线上,局部可有红色半透明的小疙瘩,质地较为柔软,用手可以波动,体积较小,患者常无法觉察到他的存在。
舌头
肉赘
舌下腺囊肿舌头侧边底部有扁扁的肉赘图
舌下腺囊肿患儿左侧舌下出现一个类似肉赘的突起物,形状扁扁的,像是一个小肉条,颜色与正常舌组织一致,质地柔软,可能于进食时感觉不适。
舌头
肉赘
舌下腺囊肿舌头底下有个扁肉赘图
舌下腺囊肿患者舌头左下侧出现一个扁扁的类似肉赘一样的增生物,质地柔软,表面光滑,颜色不均匀,靠近底部的位置更为发红,可于偶然机会发现。
舌头
小疙瘩
舌下腺囊肿舌头左边下部有个半透明小疙瘩图
舌下腺囊肿累及左侧舌头下方的部位时,局部出现一个黄豆大小的半透明小疙瘩,其上有零星的红色血丝,虽然其质地柔软,但进食时或者静息时,可有一定的异物感。
舌头
小疙瘩
舌下腺囊肿舌头底下有个半突起小疙瘩图
舌下腺囊肿发生于舌头下方右侧时,局部有半球形突起的小疙瘩,质地柔软并且红润,对光有微微的反光现象,与正常组织存在边界。
舌头
小疙瘩
舌下腺囊肿舌头底下有个光滑的小疙瘩图
舌下腺囊肿累及舌头下方左半侧时,局部出现一个光滑的半突起小疙瘩,内含清澈的囊液,囊壁薄而通透,质地柔软,无明显的不适症状。
舌头
小疙瘩
舌下腺囊肿舌头左侧底下有个发白小疙瘩图
舌下腺囊肿患者舌头底下左侧出现一个突起的小疙瘩,颜色略微泛白,如绿豆大小,正常情况不易被察觉,但是卷起舌头时可以看见。
舌头
小疙瘩
舌下腺囊肿舌头下有个半球形疙瘩图
舌下腺囊肿发生时,可于左侧舌下部分观察到一半球形的小疙瘩,如同黄豆大,较为圆润,微微反光,侧边可观察到鲜红色血样物质,患者偶感局部有异物。
舌头
小疙瘩
舌下腺囊肿舌头下边有个球形小疙瘩图
舌下腺囊肿舌头根底下出现一球形的小疙瘩,质地柔软,并且呈现半透明状,可透过薄薄的表面观察到红色类似血丝样物质,可能会造成一定的不适感。
舌头
肉赘
舌下腺囊肿舌头底下有个小肉赘图
舌下腺囊肿累及右侧舌下时,可表现为突起的小肉赘,顶端呈现透明感,如同小米粒大小,患者无明显的异常感觉,但是卷起舌头照镜子时可以观察到。
舌头
小红疙瘩
舌下腺囊肿舌头底下有个鲜红色小疙瘩图
舌下腺囊肿患者可以对着镜子观察到舌头下面出现一个球形的小疙瘩,边缘为鲜红色,但无血液流出,表面光滑,触之感觉柔软。
舌头
小红疙瘩
舌下腺囊肿舌头左下有个红色小疙瘩图
舌下腺囊肿舌头底下偏左侧有个鲜红色的小疙瘩,像是有血液要流出来一样,大小如同黄豆,触之柔软,可通过切除进行治疗。
舌头
疙瘩
舌下腺囊肿舌头底下藏个疙瘩图
舌下腺囊肿发生时,可于舌头底下观察到一个小凸起,类似疙瘩,但是患病侧整体较健侧更为肿胀,此时患者静息或者进食时有明显的不适。
舌头
小红疙瘩
舌下腺囊肿舌头底下有鲜红色小疙瘩图
舌下腺囊肿患者舌头下面存在一个类似南瓜子大小的疙瘩,颜色为鲜红色,色泽较为均匀,由于贴近牙龈部位,进食时可有一定的不适感。
舌头
小疙瘩
舌下腺囊肿舌头侧边出现一个小疙瘩图
舌下腺囊肿发生在舌头左侧时,局部出现一个半突起的小疙瘩,亚瑟为暗红色,卷舌头时可正好卡在牙齿上,此时会对日常咀嚼等造成一定的影响。
舌头
小疙瘩
舌下腺囊肿舌头底下藏了个小疙瘩图
舌下腺囊肿初期,局部隆起并不明显,可于舌头底下观察到一个略微突起的小疙瘩,颜色与正常组织无异,患者经常会忽略它的存在。
舌头
小疙瘩
舌下腺囊肿舌头底下正中间突起小疙瘩图
舌下腺囊肿出现在舌头底下正中间部位时,可在卷舌的时候观察到一个略微发红的豆形小疙瘩,表面光滑,呈现半透明状,局部有一定的异物感。
舌头
小红疙瘩
舌下腺囊肿舌头侧下方有个小红疙瘩图
舌下腺囊肿发生后,患者可在舌下左侧观察到一个鲜红色的小疙瘩,如绿豆大,但略微呈现条状,由于体积较小,平时无明显的症状。
舌头
小疙瘩
舌下腺囊肿舌头底下有肉色小疙瘩图
舌下腺囊肿患者舌头底下可出现一个小疙瘩,与周边颜色无明显差别,质地柔软,触摸时略微有波动感,由于体积较小,患者多无明显的自觉症状。
舌头
小红疙瘩
舌下腺囊肿舌头右下边有红色小疙瘩图
舌下腺囊肿表现为舌头底下偏右侧出现一个红色半透明的小疙瘩,表面薄而光滑,有反光的情况,底部较为红润,整体如同瓜子仁大小。
舌头
疙瘩
舌下腺囊肿舌头底下有个突起的疙瘩图
舌下腺囊肿舌头下边出现一个略微突起的疙瘩,表面光滑,可以观察到数条红血丝,整个疙瘩略微发青,建议及时就医,通过切除等手段治疗。
口腔
包块
舌下腺囊肿舌头下面鼓小包图
舌下腺囊肿在舌下出现质地较软、可推动的小包,呈半球形隆起,单发或多发,大小不等,易破溃、渗液,伤口很快愈合并再次形成囊肿。
舌头
疙瘩
舌下腺囊肿舌头底下有个疙瘩图
舌下腺囊肿患者将舌头歪向左侧时,可于右下方发现一个肉色的疙瘩,靠近底部有血丝分布,大小如同葡萄干,患者进食时可能有一些不适感。
舌头
囊肿
舌下腺囊肿舌头下长一个圆形肿物图
舌下腺囊肿可以发生在小孩舌头下面,表现为一个半圆形的囊肿,看上去像有两个舌头,摸起来质地软而有弹性,进食时会有疼痛不适感,进食后可缓解。
舌头
疙瘩
舌下腺囊肿舌头下面有凸起的疙瘩图
舌下腺囊肿表现为舌头下有凸起于周围黏膜的疙瘩,表面光滑,质地较柔软,一般无明显症状,主要是由于外渗性黏液囊肿、舌下腺受伤后导致。
舌头
肿块
舌下腺囊肿舌下面长椭圆形肿块图
舌下腺囊肿表现为舌头下有边界清楚的肿块,明显凸起,表面光滑,顶部较周围颜色略浅,呈粉红色,形状以椭圆形为主,触之较柔软。
舌头
疙瘩
舌下腺囊肿舌头下面有一个白色疙瘩图
舌下腺囊肿主要表现为舌头下有半球形隆起的囊肿,颜色呈白色,看着像一个白色疙瘩一样,表面较光滑,单独存在,日常注意口腔卫生。
舌头
肿块
舌下腺囊肿舌头下面有肿块图
舌下腺囊肿好发于舌头,表现为与周围皮肤边界清晰的肿块,颜色与周围皮肤相同,明显隆起,形状不规则,触之柔软又波动感,一般无自觉症状。
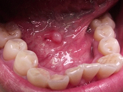
舌头
大红疙瘩
舌下腺囊肿舌下有大红疙瘩图
舌下腺囊肿会在舌头下面出现表面光滑的大红疙瘩,呈半球形隆起,质地较柔软,触之有明显波动感,破裂后可流出黏稠的蛋清样液体。
舌头
囊肿
舌下腺囊肿舌头下面有囊肿图
舌下腺囊肿好发于舌头,出现表面光滑的囊肿,可多发,大小不等,颜色与周围皮肤相同或呈浅紫蓝色,质地比较柔软,患者一般无明显不适。
舌头
大疙瘩
舌下腺囊肿舌下长一个大疙瘩图
舌下腺囊肿常累及舌头,表现为明显隆起于周围黏膜的大疙瘩,表面颜色不均匀,触之有明显波动感,患者可有异物感,可通过手术进行切除。
舌头
肿块
舌下腺囊肿舌头下面有隆起的肿块图
舌下腺囊肿主要表现为舌头下有明显隆起的肿块,顶部呈紫蓝色,边界较清晰,容易破裂,破裂后可流出黏稠蛋清样液体,患者一般无自觉症状。
舌头
小疙瘩
舌下腺囊肿舌头下面长一个小疙瘩图
舌下腺囊肿症状较轻时,会在舌头下面出现一个轻微隆起的小疙瘩,表面光滑,与周围黏膜颜色相同,质地柔软,主要是由于外渗性黏液囊肿、舌下腺受伤后致。
舌头
小疙瘩
舌下腺囊肿舌头下有小疙瘩图
舌下腺囊肿好发于舌头,表现为顶端呈白色的疙瘩,形状为半球形,初期常较小,不及时治疗可逐渐增大,日常应注意口腔卫生,及时到医院进行治疗。
舌头
疙瘩
舌下腺囊肿舌下有红色疙瘩图
舌下腺囊肿表现为舌头下有明显隆起的囊肿,状似疙瘩,与周围黏膜边界清楚,呈鲜红色,质地柔软,有波动感,容易破裂,破裂后可流出黏稠蛋清样液体。
舌头
囊肿
舌下腺囊肿舌头下有隆起囊肿图
舌下腺囊肿症状较严重时,囊肿通常较大,常累及整个舌头下面,形状不规则,触之有明显波动感,主要是由于外渗性黏液囊肿、舌下腺受伤后导致。
舌头
疙瘩
舌下腺囊肿舌下有光滑的疙瘩图
舌下腺囊肿常累及舌头,出现椭圆形隆起的疙瘩,表面光滑,常呈红色或紫蓝色,容易破裂,有明显的口腔异物感,应及时就医,通过手术进行切除。
舌头
囊肿
舌下腺囊肿舌头下面有柔软的囊肿图
舌下腺囊肿患者舌头下有质地柔软的囊肿,形状不规则,表面光滑,常有波动感,患者一般无明显的不适症状,主要通过手术进行切除。
舌头
疙瘩
舌下腺囊肿舌下有边缘发红的疙瘩图
舌下腺囊肿好发于舌头,表现为隆起的疙瘩,疙瘩边缘颜色略深,呈鲜红色,中央较浅,质地较柔软,触之有波动感,主要是由于外渗性黏液囊肿、舌下腺受伤后导致。
口腔
肿块
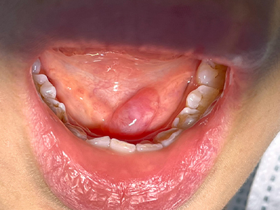
舌下腺囊肿舌头下长了一个淡紫色肿块图
舌下腺囊肿在舌下一侧出现明显鼓起的球形肿块,由于囊壁菲薄并紧贴口底黏膜,使囊肿呈浅紫蓝色,扪之柔软有波动感,容易出现破溃。
口腔
肿块
舌下腺囊肿舌根下长个突起的半球形肿物图
舌下腺囊肿在舌下口底一侧出现一个半球形的肿物,边界清楚,表面圆润、光滑,呈浅紫蓝色,不及时治疗呈进行性增大,易破溃渗液。
口腔
软包
舌下腺囊肿舌头下面有一个椭圆形的鼓包图
舌下腺囊肿发生在下前牙后的口底黏膜处,表现为椭圆形的鼓包,触之较软,与周围界限清晰,检查见其位于黏膜与肌肉之间,没有疼痛感。
口腔
大包
舌下腺囊肿舌头下鼓起个大包图
舌下腺囊肿为舌下腺受伤所致,表现为一侧舌下区出现较大的包,半透明状,较大的囊肿能将舌抬起,患者有明显的口腔异物感,影响正常的咀嚼、进食。
舌头
大包
舌下腺囊肿舌头下面有一个大包图
舌下腺囊肿常出现在舌头下,表现为隆起于周围皮肤的包块,呈半球形,看着像一个大包一样,表面呈紫色,触之较柔软,伴有波动感,可通过手术治疗。
口腔
大包
舌下腺囊肿舌头下鼓起一个柔软大包图
舌下腺囊肿发生在一侧口底黏膜下,局部鼓起一个大包,壁很薄,呈现浅紫蓝色,触之柔软、无痛感,常因体积较大而将舌头抬起,影响日常进食。
口腔
大包
舌下腺囊肿舌头下面长了一个紫色大包图
舌下腺囊肿多因舌下腺导管损伤、黏液外渗而在局部形成较大的鼓包,位于口底中线一侧的前部,表面光滑,呈浅紫蓝色,质地较柔软。
舌下腺囊肿相关知识
舌下腺囊肿主要位于下颌舌骨肌以上的舌下区,囊肿呈浅紫蓝色,扪之柔软有波动感,囊肿破裂后可流出黏稠蛋清样液体,囊肿暂时消失。数日后创口愈合,囊肿长大如前。
此外,囊肿体积很大或伴有继发感染时,可出现肿胀、疼痛,将舌推向后上方,形成“双重舌”,可影响进食及语言,严重者引起呼吸困难。
舌下腺囊肿主要由于外渗性黏液囊肿、舌下腺受伤后导管破裂,黏液外渗入组织间隙所致。
舌下腺囊肿根治的方法是切除舌下腺,残留部分囊壁不致造成复发。潜突型者可全部切除舌下腺后,将囊腔内的囊液吸净。
全身情况不能耐受舌下腺切除的患者及婴儿,可做简单的袋形缝合术,切除覆盖囊肿的部分黏膜及囊壁,放尽液体,填入碘仿纱条,待全身情况改善或婴儿长至4-5岁后再行舌下腺切除。
参考文献
[1]孙树印,乔森,刘辉主编.临床疾病诊疗常规外科[M].济南.山东大学出版社.2014.228.
[2]楚德国主编.实用口腔疾病诊疗图谱[M].北京.人民军医出版社.2014.32.
相关科普
舌下腺囊肿是怎么形成的
宫坤
烟台市口腔医院
舌下腺囊肿怎么引起的
冯芝恩
首都医科大学附属北京口腔医院
舌下腺囊肿怎么引起的
冯芝恩
首都医科大学附属北京口腔医院
舌下腺囊肿的病因
高向东
烟台毓璜顶医院
舌下腺囊肿怎么治疗
宫坤
烟台市口腔医院
舌下腺囊肿手术过程
宫坤
烟台市口腔医院
舌下腺囊肿可以不管吗
孙强
郑州大学第一附属医院
舌下腺囊肿严重吗
王一凤
江西省肿瘤医院
什么人易得舌下腺囊肿
张雷
北京大学口腔医院
舌下腺囊肿是什么原因
王磊
上海交通大学医学院附属第九人民医院