首页
我的
角膜脂质变性症状图片
本文由有来医生原创,经专业医师审核校对
所有图片质量和准确性经专业医生严格审查
孙一洲
副主任医师 | 审核医师
中国医科大学附属第一医院
|
眼科
角膜脂质变性属于角膜变性的一种类型,是脂质在角膜基质的异常沉积,主要表现为灰色或黄白色病灶,可影响视力。角膜脂质变性分为原发性与继发性两种,前者罕见,可能与角膜缘血管通透性增加有关;后者是角膜基质炎、外伤、角膜溃疡等疾病继发而来。对于角膜脂质变性引起视力下降者,可行穿透性角膜移植术。
角膜脂质变性症状图片
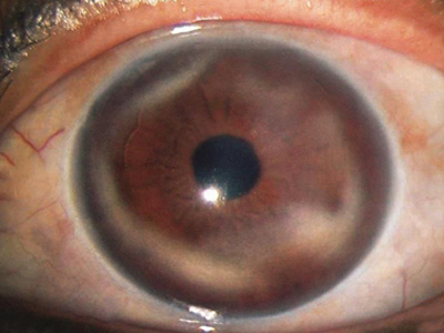
眼球
白斑
角膜脂质变性黑眼球上扇形白斑图
角膜脂质变性表现为患者黑眼球出现致密的灰白色病灶,透明度低,形如扇形的白斑,有羽毛状边缘,病灶边缘可见有少量白点,眼白有少量红血丝分布。
眼球
白斑
角膜脂质变性黑眼球出现灰白色混浊图
角膜脂质变性严重时表现为患者黑眼球有圆盘状斑纹,呈灰白色,眼球浑浊,底部有溃疡表现,角膜出现缺损,患者视力减退明显,伴有眼部疼痛症状。
眼球
血丝 · 白斑
角膜脂质变性黑眼球上一片圆环状白色斑块图
角膜脂质变性患者黑眼球上方出现大片的灰白色环状斑,宛如云片状,同时在黑眼球周围有大量如红色毛刷样的红血丝,向黑眼球内蔓延。
眼球
白斑
角膜脂质变性黑眼球上网状黄白色斑块图
角膜脂质变性患者可引起角膜病变,角膜上出现不均匀分布的黄白色斑片状浑浊,质地不均匀,呈网状,患者眼白上有大量的红血丝,靠近眼球中央部位红血丝明显。
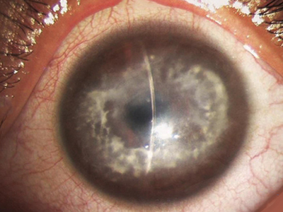
眼球
血丝 · 白斑
角膜脂质变性黑眼球上有黄白色斑块伴血丝图
角膜脂质变性患者可见角膜内部沉积增多,表现为黑眼球上出现黄白色云片状混浊,呈羽毛状外观,眼球中央经瞳孔出现一条细长弧线,眼白上有网状红血丝。
眼球
白斑
角膜脂质变性黑眼球上多个白斑伴雾状环图
角膜脂质变性患者表现为黑眼球周围出现白色雾状物,同时在黑眼球上有多个带状白斑。在角膜病变的同时,患者还出现视力减退的表现。
眼球
白斑
角膜脂质变性黑眼球上有向内扩散的白斑图
角膜脂质变性患者表现为黑眼球周围有白色环状斑,从黑眼球外周逐渐向瞳孔扩展。患者早期没有明显的自觉症状,但随着疾病进展,常影响视力。
眼球
白斑
角膜脂质变性黑眼球边上有一片环形白斑图
角膜脂质变性患者表现为角膜边缘内1mm左右,出现深层灰白色,外观呈逐渐加重的环形混浊斑块,同时在白环内有环状狭窄透明带。
角膜脂质变性相关知识
角膜脂质变性分为原发性和继发性,临床常见继发性角膜脂质变性,表现为致密的灰色或黄白色病灶,常位于无炎症反应的新生血管区域。脂质沉积沿着角膜内的血管分布,使脂质变性,形如扇形,有羽毛状边缘,病灶边缘可见胆固醇结晶。少数情况下,脂质变性也可发生于急性炎症的区域,多表现为致密的圆盘状病灶。
原发性角膜脂质变性为双侧性,可位于角膜中央,表现为盘状致密病灶,也可位于周边部,外观上像扩大的老年环。除影响美观外,还可影响视力。
角膜脂质变性分为原发性与继发性两种。原发性角膜脂质变性罕见,病因可能与角膜缘血管通透性增加有关。继发性角膜脂质变性常见于引起角膜新生血管的疾病,如角膜基质炎、外伤、角膜水肿及角膜溃疡等。
原发性角膜脂质变性引起视力下降者,可考虑行穿透性角膜移植术,但术后植片上可出现脂质变性复发。继发性角膜脂质变性由急性炎症引起者,脂质沉着通常逐渐消退,当视力下降时可考虑行穿透性角膜移植术。
参考文献
[1]杨培增,范先群.眼科学.第9版[M].北京.人民卫生出版社.2018.121.
[2]丁淑贞,刘莹主编.眼科临床护理[M].中国协和医科大学出版社.2016.91-93.
相关科普
角膜变性有哪些症状
张晓辉
西安交通大学第二附属医院
眼睛角膜变性可以治愈吗
王卫
中日友好医院
脂质代谢紊乱怎么办
齐铁莉
长沙市中心医院
脂质沉积性肌病是怎么回事
陆春玲
河北以岭医院
什么是角膜
施爱群
中日友好医院
角膜是哪里
王卫
中日友好医院
早期胃癌质软还是质硬
夏泽锋
华中科技大学同济医学院附属协和医院
什么是黄斑变性
陈中山
武汉大学中南医院
什么叫脊髓变性
李书剑
河南省人民医院
什么是脂肪变性
康鹏
哈尔滨医科大学附属第二医院