首页
我的
外渗性黏液囊肿症状图片
本文由有来医生原创,经专业医师审核校对
所有图片质量和准确性经专业医生严格审查
王卫之
主任医师 | 审核医师
山东大学齐鲁医院
|
口腔修复科
外渗性黏液囊肿是黏液腺囊肿的一种分型,占黏液腺囊肿的80%以上,多见于嘴唇内侧,囊肿表面有薄层黏膜,呈半透明、浅蓝色的圆形小疱,易被咬破,囊腔内可有蛋清样透明黏液流出。
外渗性黏液囊肿症状图片
唇内侧
肉粒
外渗性黏液囊肿下嘴唇内侧有红色肉粒图
外渗性黏液囊肿会导致患者下面的嘴唇内侧出现一个球形的红色肉粒,有黄豆大小,边界清晰,表面平滑且有光泽,呈半透明状,囊肿容易被咬破,破裂愈合后可再次形成囊肿。
唇内侧
大红疙瘩
外渗性黏液囊肿嘴唇内侧有红疙瘩图
外渗性黏液囊肿发病后,表现为患者下面嘴唇黏膜上有一个红色的疙瘩,呈扁平状,高出黏膜表面,上面有白色的脓液,与周围正常的皮肤边界清晰。
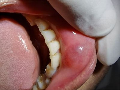
牙龈
大红疙瘩
外渗性黏液囊肿牙龈上有大红疙瘩图
外渗性黏液囊肿表现为患者下面的右侧牙龈上有一个红疙瘩,相对较大,有异物感,与周围的皮肤颜色相似,表面光滑,此病是由于局部创伤、导管系统阻塞等导致。
唇内侧
疙瘩
外渗性黏液囊肿唇内侧有的白色疙瘩图
外渗性黏液囊肿为外伤导致黏液渗入组织间隙所致,表现为唇内侧有一个绿豆大小的白色疙瘩,质地较软,与周围边界清晰,无明显的自觉症状。
唇内侧
疙瘩
外渗性黏液囊肿嘴唇里有个白疙瘩图
外渗性黏液囊肿反复破损后会形成白色瘢痕状凸起,看起来像一个白色的疙瘩,质地较硬,按压患处时有明显的异物感,但无其他症状。
唇内侧
疙瘩
外渗性黏液囊肿唇内侧有个疙瘩表面发白图
外渗性黏液囊肿的典型症状为唇内侧出现一个隆起的疙瘩,表面光滑,颜色发白,界限较清晰,可以通过药物烧灼腐蚀、手术切除、液氮冷冻等方式治疗。
唇内侧
疙瘩
外渗性黏液囊肿嘴里边有个白色疙瘩图
外渗性黏液囊肿为质地较软的疙瘩,频繁破损后会在患处出现一个椭圆形的瘢痕,约黄豆大小,与周围黏膜的界限清晰,患者多无不适症状。
唇内侧
水疱
外渗性黏液囊肿嘴唇内侧有个半透明水疱图
外渗性黏液腺囊肿患者嘴唇内侧出现一黄豆大小的水疱,呈半透明状,表面覆盖光滑的薄层黏膜,触摸时感觉柔软、有弹性,舌舔时无疼痛等不适感。
唇内侧
小疙瘩
外渗性黏液囊肿嘴唇内侧有一个小疙瘩图
外渗性黏液腺囊肿发生于嘴唇内侧,可见一半球形的小疙瘩,顶端光滑,呈现半透明状,如同婴儿小指甲盖大小,柔软无同感,但容易摩擦到牙齿部位而破损,需及时就医治疗。
舌尖
水疱
外渗性黏液囊肿舌尖下长了个透明水疱图
外渗性黏液囊肿出现在舌下,内含浓稠液体物质,由于表面过薄,因此在视觉上看起来像是水疱,清澈透亮,无疼痛感,破溃后黏液流出,消退后可复发。
唇内侧
囊肿
外渗性黏液囊肿嘴唇内长了个蓝色的囊肿图
外渗性黏液囊肿发生于嘴唇内壁,表面仅覆盖一层薄薄的黏膜,呈半透明、淡蓝色的类球形小包,约蚕豆大小,质软而有弹性,有波动感。
唇内侧
水疱
外渗性黏液囊肿唇内侧有个圆形水疱图
外渗性黏液腺囊肿由局部咬伤等所致,表现为一个直径约6mm的圆形水疱,容易被咬破,颜色与周围的口腔黏膜相近,界限较清晰。
唇内侧
水疱
外渗性黏液囊肿嘴里有透明的水疱图
外渗性黏液囊肿较小时为一椭圆形小疱,表面仅覆盖一薄层黏膜,呈半透明,状似水疱,质地软而有弹性,易破裂,常因咀嚼时意外咬伤患处所致。
唇内侧
疙瘩
外渗性黏液囊肿下嘴唇内长了个蓝色的疙瘩图
外渗性黏液囊肿发生于下唇,表现为半透明、淡蓝色类似于水疱的疙瘩,约花生米大小,不慎咬破后消失,破裂处愈合后一段时间再次出现。
唇内侧
水疱
外渗性黏液囊肿下嘴唇内部有个紫色水疱图
外渗性黏液囊肿单发于唇内侧,呈紫蓝色、柔软、活动,界限清楚,凸出于黏膜表面呈水疱状,肿胀扩大,自行破裂后逐渐消失,但易复发。
唇内侧
水疱
外渗性黏液囊肿嘴唇内有个蓝色的水疱图
外渗性黏液囊肿单发,在唇内侧黏膜上,表现为淡蓝色肿块,约花生米大小,部分患者肿块颜色较淡,整体为水疱状,界限明显,没有疼痛表现。
唇内侧
水疱
外渗性黏液囊肿嘴里边长了两个水疱图
外渗性黏液囊肿患者的靠近嘴唇的口腔黏膜处有明显的异物感,翻开能观察到两个圆形或椭圆形水疱,明显隆起于皮肤表面,界限清晰。
舌头
大红疙瘩
外渗性黏液囊肿舌下方有红疙瘩图
外渗性黏液囊肿患者舌下方出现一个直径在0.5-1厘米之间的红疙瘩,红疙瘩表面光滑、质地柔软,其内容物为黏稠的蛋清状液。疙瘩出现数日后,可因食物等摩擦发生破裂而消失。
舌尖
圆疙瘩
外渗性黏液囊肿靠近舌尖部位有圆形疙瘩图
外渗性黏液囊肿患者的舌头近舌尖部位出现一个黄豆大小的圆形疙瘩,明显突出于正常舌面,质地柔软,疙瘩破溃后流出黏稠的白色液体,且反复发作。
小阴唇
小疙瘩
外渗性黏液囊肿小阴唇上有黑色小疙瘩图
外渗性黏液囊肿患者的小阴唇上出现簇集分布的黑色小疙瘩,疙瘩表面光亮,如小米粒大小,颜色为黑色,囊内含有囊液,质地柔软,伴有触痛感。
外渗性黏液囊肿相关知识
外渗性黏液囊肿位于黏膜下,表面有薄层黏膜,呈半透明、浅蓝色的圆形小疱,质地柔软有弹性。肿物易被咬破,囊腔内可有蛋清样透明黏液流出,此时肿物消失。当破裂之处愈合之后,囊肿可再次形成。组织学表现为黏液性肉芽肿或充满黏液的假囊,无上皮衬里。
外渗性黏液囊肿通常是由局部咬伤、导管破裂、黏液外渗入组织间隙导致。
外渗性黏液囊肿最常用的治疗方法为手术切除,手术时需将囊肿连同其表面部分黏膜完整切除,避免复发。
参考文献
[1]张志愿.口腔科学.第9版[M].北京.人民卫生出版社.2018.159-160.
[2]王佃亮,唐志辉,危岩主编.口腔科医师处方[M].北京:中国协和医科大学出版社,2019.155-156.
相关科普
黏液囊肿是什么
徐英辉
吉林大学第一医院
口腔黏液囊肿怎么手术
周丽斌
广州医科大学附属口腔医院
黏液囊肿好发于什么部位
周丽斌
广州医科大学附属口腔医院
黏液囊肿是良性肿瘤吗
周丽斌
广州医科大学附属口腔医院
黏液囊肿会恶变吗
代杰文
佛山市口腔医院
怎么让黏液性卵巢囊肿不复发
翟建军
首都医科大学附属北京同仁医院
黏液性卵巢囊肿如何治疗
郭淑丽
首都医科大学附属北京朝阳医院
口腔黏液囊肿好发于哪个部位
冯芝恩
首都医科大学附属北京口腔医院
直肠癌黏液性大便怎么治疗
刘慧敏
烟台毓璜顶医院
黏液性乳腺癌的生存期限
王宇
首都医科大学附属北京同仁医院