首页
我的
外耳道炎症状图片
本文由有来医生原创,经专业医师审核校对
所有图片质量和准确性经专业医生严格审查
郑贵亮
主任医师 | 审核医师
上海交通大学医学院附属新华医院
|
耳鼻喉头颈外科
外耳道炎是外耳道皮肤或皮下组织的广泛的急、慢性炎症,是耳鼻咽喉科门诊的常见病、多发病。由于在潮湿的热带地区发病率很高,因而又被称为“热带耳”。本病主要为感染导致,表现为疼痛、分泌物流出等。
外耳道炎症状图片
外耳道
红肿
外耳道炎外耳道红肿图
外耳道炎的患者耳洞周围发红、肿胀,上面有一层细密的鳞屑,并在耳廓上有一个球形的疙瘩,牵拉耳廓时患者感到疼痛,说话或咀嚼时疼痛加重。
外耳道
结痂
外耳道炎外耳道结黄痂图
外耳道炎在检查时显示有很多黄色分泌物,附着在外耳道黏膜壁上,脓痂上还有白色豆腐渣状的鳞屑堆积,患者自觉耳痛、瘙痒、耳道潮湿。
外耳道
脱屑
外耳道炎外耳道里有白色粉末状物图
外耳道炎在外耳道表现为侧壁水肿发红,上附有一层白色粉末状的鳞屑,薄厚不一,患者出现耳内疼痛、耳道肿胀的表现,严重者伴有听力下降。
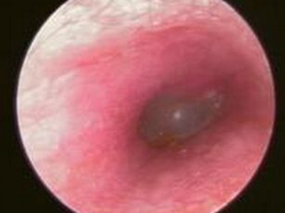
外耳道
肉赘
外耳道炎外耳道有白粉末里边有肉赘图
外耳道炎检查时发现外耳道内有多个白色半透明的肉赘,耳道潮湿,侧壁上还有又细又薄的白色鳞屑,患者表现为持续性疼痛,且逐渐加剧。
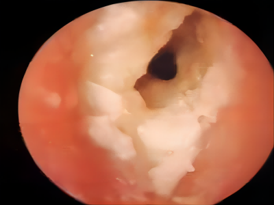
外耳道
结痂
外耳道炎外耳道有厚厚的结痂图
外耳道炎患者的外耳道侧壁呈鲜红色,水肿明显,上面有脓液干燥后形成的脓痂,脓痂上还附着有一层厚厚的鳞屑,不时有分泌物流出,严重时可出现听力下降。
外耳道
脱屑 · 结痂
外耳道炎外耳道有黄白色颗粒物图
外耳道炎表现为外耳道侧壁红肿,上面有黄色颗粒状脓痂和白色细毛样鳞屑,看上去像发霉,同时侧壁上有一个小水疱,破裂后有液体流出,耳道潮湿。
外耳道
红肿 · 结痂
外耳道炎外耳道皮肤脱屑结痂图
外耳道炎表现为外耳道及耳洞周围皮肤红肿,破溃后表面有结痂形成,同时伴随皮肤脱落等症状,自觉耳内有胀痛,说话或咀嚼时疼痛加重。
外耳道
结痂
外耳道炎外耳道结痂图
外耳道炎上面有黄白色干酪样鳞屑附着,而且周围皮肤发红、肿胀,伴随耳内疼痛、灼热不适等症状,应尽早到医院就诊,避免症状加重后出现发热等全身不适。
外耳道
结痂
外耳道炎外耳道有黄色结痂图
外耳道炎表现为外耳道有分泌物,分泌物较稀薄,干燥后附着于周围皮肤上,像黄色结痂一样,分泌物增多时会堵住外耳道,并出现听力下降等症状,建议积极就医。
外耳道
结痂
外耳道炎外耳道皮肤结黄白色痂皮图
外耳道炎患者外耳道耳屏及耳洞周围有黄色及白色结痂,结痂部位的皮肤颜色发红,部分有破皮出血,皮肤有明显疼痛,耳内有胀痛,说话或咀嚼时疼痛加重。
外耳道
结痂
外耳道炎外耳道有结痂图
外耳道炎症状较重时,会出现皮肤红肿、破溃,并且有分泌物渗出,分泌物干燥后形成结痂,结痂较硬,还会出现自行脱落,患者有明显症状,如疼痛、瘙痒等。
外耳道
脱屑
外耳道炎外耳道有白色脱屑图
外耳道炎表现为外耳道干燥,表面呈白色豆腐渣状,伴随有耳部瘙痒、疼痛,主要由于外耳道皮肤抵抗力下降或遭损伤,微生物感染导致。
外耳道
脱屑
外耳道炎外耳道里有白色鳞屑图
外耳道炎在耳朵出现疼痛的同时,伴有外耳道内皮肤破溃、化脓,并形成白色的干燥鳞屑,日常应保持耳朵的清洁于干燥,避免耳朵内进水。
外耳道
脱屑
外耳道炎外耳道有很多白色的鳞屑图
外耳道炎症状严重时,外耳道内会出现脓性分泌物,分泌物呈灰白色,干燥后表现为白色鳞屑,脓液增多后可堵住外耳道,甚至出现听力下降等症状。
外耳道
脱屑
外耳道炎外耳道有细小的白色脱屑图
外耳道炎患者检查时可见外耳道有很多细小的脱屑,表面呈白色,同时周围皮肤发红,并伴有轻微肿胀,患者自觉耳部疼痛、瘙痒等症状。
外耳道
红肿
外耳道炎外耳道及外部皮肤红肿图
外耳道炎表现为外耳道皮肤发红、肿胀,甚至累及耳洞周围皮肤,病变处皮肤温度升高,自觉明显疼痛,主要由于外耳道皮肤抵抗力下降或遭损伤,微生物感染导致。
外耳道
脱屑
外耳道炎外耳道里面有颗粒状的鳞屑图
外耳道炎会在外耳道内出现白色颗粒状鳞屑,看上去像细小的头皮屑一样,外耳道壁的黏膜发红,患者常伴有疼痛、耳鸣、发热等不适症状。
外耳道
脱皮
外耳道炎外耳道里面脱皮图
外耳道炎表现为外耳道内皮肤湿润,并且有柔软的皮肤脱落,症状严重时可累及整个外耳道,日常应不要抠耳朵,避免外耳道进水,尽早就医。
外耳道
脱屑
外耳道炎外耳道里有白色的干屑图
外耳道炎出现细小的白色干屑,并且附着在外耳道壁上,严重时还会出现耳道黏膜破溃流脓,同时伴随有明显的疼痛,可以在医生指导下通过药物进行治疗。
外耳道
脱屑
外耳道炎耳朵里有白色粉末图
外耳道炎患者检查时显示外耳道有白色颗粒状鳞屑堆积,类似头皮屑,部分集结成大块,有鳞屑的部位黏膜发红,患者自觉耳朵里面瘙痒。
外耳道
脱屑
外耳道炎耳朵里有黄白色干酪样物质图
外耳道炎患者外耳道黏膜发红肿胀,高出正常黏膜表面,上面有黄白色干酪样鳞屑附着,可刮除,还伴有耳部发热、疼痛,张口咀嚼时加重。
外耳道
充血
外耳道炎外耳道发红图
外耳道炎症状较轻的患者外耳道局部充血,越靠近里面颜色越深,在检查时显示外耳道红血丝明显,患者自觉耳朵肿胀,牵拉耳廓时伴随有疼痛感。
外耳道
红肿 · 渗液
外耳道炎外耳道发红有分泌物图
外耳道炎会出现外耳道皮肤红肿,破溃后皮肤表面形成结痂覆盖,同时有分泌物渗出,干燥后形成白色痂皮,并附着于外耳道壁上,患者自觉耳朵有明显疼痛感。
外耳道
化脓
外耳道炎外耳道有白色干燥结痂图
外耳道炎会在外耳道内有脓性分泌物,分泌物较多时可以向外溢出,干燥后形成白色结痂,同时皮肤发红,自觉明显疼痛、瘙痒等症状。
外耳道
化脓 · 结痂
外耳道炎外耳道有黄色痂皮图
外耳道炎表现为外耳道里面化脓,还有脓性分泌物流出,干涸后形成黄色的痂皮,并附着于外耳道壁上,患者自觉耳朵疼痛明显,进食咀嚼时症状加重。
外耳道
化脓
外耳道炎外耳道表面有脓液图
外耳道炎患者外耳道内有白色的脓性分泌物,同时伴随有外耳道壁表面红肿,患者自觉疼痛不适,建议积极就医,避免出现发热等全身不适症状。
外耳道
化脓 · 结痂
外耳道炎外耳道化脓分泌物结痂图
外耳道炎会出现耳朵内部出现细小的分泌物,然后变成化脓性或脓性分泌物,可结痂呈白色块状,常伴随瘙痒、疼痛,甚至结痂堵住外耳道,出现听力下降等症状。
外耳道
化脓
外耳道炎外耳道有黄白色脓性分泌物图
外耳道炎检查时可以看到患者外耳道内有黄白色脓性分泌物,周围有红肿等异常改变,分泌物较多时可以向外溢出,患者常伴有疼痛、耳鸣、发热等不适症状。
外耳道
大包
外耳道炎外耳道有个大包图
外耳道炎患者会出现外耳道肿胀,像长了一个大包一样,大包表面发红,伴随耳内疼痛症状,且会有白色碎屑样的分泌物,疾病多为单侧发病,部分患者累及双耳发病。
外耳道
化脓
外耳道炎耳朵里流黄脓图
外耳道炎患者的外耳道有黄白色的脓性分泌物,检查时显示脓性分泌物之间有粘连,患者伴随有明显疼痛、听力下降、耳闷、耳鸣等表现。
外耳道
脱屑 · 化脓
外耳道炎耳朵里有脓性分泌物图
外耳道炎患者的外耳道黏膜潮红,伴随有肿胀感,并且附着大块黄白色脓痂,形状不规则,脓痂上有白色细密鳞屑,患者自觉耳部疼痛。
外耳道炎相关知识
外耳道炎可表现为急性弥漫性外耳道炎疼痛,发病初期耳内有灼热感,随着病情的发展,可出现耳内胀痛,疼痛逐渐加剧,甚至坐卧不宁,咀嚼或说话时加重。随着病情的发展,外耳道可有分泌物流出,并逐渐增多,初期是稀薄的分泌物,逐渐变稠成脓性。
外耳道炎主要由于外耳道皮肤本身的抵抗力下降或遭损伤,微生物进入引起感染导致。如患者有全身性慢性疾病,抵抗力差,或局部病因长期未予去除,炎症会迁延为慢性。
外耳道炎应注意清洁外耳道,保证局部清洁、干燥和引流通畅,保持外耳道处于酸化环境,同时可在医生指导下使用抗生素,如头孢克洛胶囊、阿莫西林胶囊等。
参考文献
[1]王静主编.新编耳鼻喉疾病临床治疗要点[M].开封.河南大学出版社.2020.57.
[2]孔维佳,周梁.耳鼻咽喉头颈外科学.第3版[M].北京.人民卫生出版社.2015.114.
相关疾病
霉菌性外耳道炎图
弥漫性外耳道炎图
坏死性外耳道炎图
相关科普
什么是外耳道炎
宋海涛
北京医院
什么是外耳道炎
李春丽
武汉市第一医院
外耳道炎是否严重
王琳
河南省人民医院
外耳道炎是怎么引起的
彭洪
首都医科大学附属北京世纪坛医院
什么是外耳道炎
谢丽娜
银川市第一人民医院
外耳道炎症状
王军
北京大学第一医院
外耳道炎多久能好
刘谦虚
珠海市人民医院
外耳道炎的预防
谢丽娜
银川市第一人民医院
外耳道炎多久能好
宋海涛
北京医院
外耳道炎的检查
谢丽娜
银川市第一人民医院