首页
我的
霉菌性外耳道炎症状图片
本文由有来医生原创,经专业医师审核校对
所有图片质量和准确性经专业医生严格审查
郑贵亮
主任医师 | 审核医师
上海交通大学医学院附属新华医院
|
耳鼻喉头颈外科
霉菌性外耳道炎又叫外耳道真菌病、真菌性外耳道炎,是真菌侵人外耳道或外耳道内的条件致病性真菌,在适宜的条件下繁殖,引起的外耳道的炎性病变。一般有耳内发痒,还可出现外耳道红肿、疼痛和流脓等症状,轻者可无症状。
霉菌性外耳道炎症状图片
外耳道
脱屑 · 结痂
霉菌性外耳道炎外耳道结黑痂脱屑图
霉菌性外耳道炎患者外耳道周围有数量众多的黑白色鳞屑,稍微向上翘起,针尖至米粒大小,鱼鳞状排列,基地面呈紫黑色,并逐渐向外耳道深处侵袭。
外耳道
脱屑
霉菌性外耳道炎耳朵里有白色粉末图
霉菌性外耳道炎损害外耳道黏膜,检查时可见外耳道周围黏膜红肿,基底面有许多网状红血丝,其上有厚厚的白色鳞屑,宛如碎纸屑,呈螺旋状向耳朵深处蔓延。
外耳道
脱屑
霉菌性外耳道炎耳朵里有黄白色干酪样物质图
霉菌性外耳道炎患者外耳道上有许多白色鳞屑,并且呈簇状分布,相互之间会融合成片,但是边缘破碎,形似海岸线,周围还有散在的鳞屑。
外耳道
脱屑
霉菌性外耳道炎耳朵里有黄色粉末物图
霉菌性外耳道炎皮损为厚厚的白色鳞屑,并且向深处扩展,看上去像云雾状,部分相互融合成大块状,表面粗糙不平,中间有少许正常黏膜。
外耳道
脱屑
霉菌性外耳道炎外耳道发红有雪花样分泌物图
霉菌性外耳道炎患者的外耳道有许多麦穗状白色鳞屑,而且附着于外耳道口黏膜,并覆盖大部分的外耳道口,周围明显红肿,同时伴随有瘙痒和闷胀感。
外耳道
脱屑
霉菌性外耳道炎外耳道里有白色粉末图
霉菌性外耳道炎患者的外耳道口有一层厚厚的白色鳞屑,形似粉末,同时还向耳朵深处扩展,边界参差不齐,而且周围还有橘红色环状斑块。
外耳道
肉赘 · 脱屑
霉菌性外耳道炎外耳道有白粉末里边有肉赘图
霉菌性外耳道炎患者外耳道边缘有大量的白色鳞屑,融合呈团片状,形状不规则,境界清楚,同时在外耳道深处有乳头状肉赘,外观类似小葡萄。
外耳道
脱屑
霉菌性外耳道炎外耳道有黄白色颗粒物图
霉菌性外耳道炎累及外耳道,皮损为大块黄白色的厚痂,同时伴随有鳞屑,边缘还有少许颗粒状脱皮,与周围皮肤界限清楚,周围明显红肿。
外耳道
充血
霉菌性外耳道炎耳朵里发红肿胀图
霉菌性外耳道炎患者的一侧外耳道黏膜充血、肿胀,可见细密的白色、灰色丝状物,覆盖在靠近鼓膜处,并伴有耳内发痒症状,夜间为甚。
外耳道
脱屑
霉菌性外耳道炎耳朵里发红有白色鳞屑图
霉菌性外耳道炎患者的外耳道有体积较大的白色鳞屑,形状并不规则,直径为1-2mm,并且附着于外耳道侧壁,部分边缘翘起,患者自觉瘙痒、闷胀感。
外耳道
脱屑
霉菌性外耳道炎耳朵里有深褐色片状附着物图
霉菌性外耳道炎患者的外耳道上附着有大量的干燥分泌物,呈圆形或花朵状,附着于耳朵上的茸毛上,外观形似蒲公英,并不断向内耳进行侵袭。
外耳道
红肿 · 脱屑
霉菌性外耳道炎耳朵里有一层白色粉末伴有周围红肿图
霉菌性外耳道炎患者的外耳道周围明显红肿,表面附着少许白色鳞屑,并在外耳道的深部有云雾状的白色团块,堵塞大部分外耳道,仅露出少许空隙。
外耳道
脱屑
霉菌性外耳道炎耳朵有黄色颗粒样物质图
霉菌性外耳道炎患者的外耳道上有一大块厚厚的黄色鳞屑,表面呈颗粒状,边缘破碎不齐,并且与外耳道黏膜连接紧密,周围有少许斑点状鳞屑,并向外耳道深处进行蔓延。
外耳道
红肿 · 脱屑
霉菌性外耳道炎外耳道表面有一层白色雪花状分泌物图
霉菌性外耳道炎见于外耳道,表现为外耳道周围明显红肿,其上还有半球形的疙瘩,外耳道深处还有许多碎纸样白色鳞屑,部分鳞屑相互融合成团块,周围有散碎的白色颗粒。
外耳道
黄痂
霉菌性外耳道炎外耳道结黄痂图
霉菌性外耳道炎患者的外耳道壁上附着有大量的干燥分泌物,并凝结成团块的黄色脓块,周围有密密麻麻的颗粒状白色鳞屑,部分相互融合成片。
外耳道
脱屑
霉菌性外耳道炎外耳道有厚黄痂表面有白色物质图
霉菌性外耳道炎发生在外耳道,表面有大量棉絮状的白色鳞屑,呈环状分布,部分融合成橘色大块,鳞屑周围黏膜呈橘红色,边缘明显充血肿胀。
外耳道
脱屑
霉菌性外耳道炎外耳道有黄色粉末样附着物图
霉菌性外耳道炎患者的外耳道黏膜有大量黄白色鳞屑,边缘参差不齐,外观呈毛刷状,部分相互融合成片状,周围轻度肿胀,伴随有瘙痒和闷胀感。
外耳道
结痂
霉菌性外耳道炎外耳道有块状分泌物图
霉菌性外耳道炎患者外耳道壁呈淡红色,上面附着有大量散在的针尖大小的黄白色痂皮,耳道上茸毛凝结成团块状,伴随有瘙痒、胀痛感。
外耳道
脱屑
霉菌性外耳道炎耳朵有好多碎屑图
霉菌性外耳道炎患者的一侧外耳道深部有白色、黄色苔膜,状如脱屑,揭去苔膜后见外耳道黏膜充血、肿胀,患者可感到外耳道瘙痒不适。
外耳道
肿
霉菌性外耳道炎耳朵里面肿了图
霉菌性外耳道炎患者有耳闷、耳胀等症状,进行检查时会看到耳朵里面肿胀,外耳道深处有红肿、充血的情况,局部可见有白色的真菌团块。
外耳道
脱屑
霉菌性外耳道炎耳朵里面有小碎屑图
霉菌性外耳道炎患者进行检查时,在耳朵里面会看到散在的白色粉末状小碎屑物质,甚至可集聚呈霉苔样,患者同时会有耳闷、耳胀,以及耳朵发痒的症状。
外耳道
脱屑
霉菌性外耳道炎耳朵里面有白色鳞屑图
霉菌性外耳道炎患者进行检查时会看到耳朵里面深处有白色小碎片样霉苔,状似鳞屑,伴有耳痒、耳闷等症状,多因细菌感染导致,建议就医应用药物治疗。
外耳道
黄痂
霉菌性外耳道炎耳朵流脓结痂图
霉菌性外耳道炎表现为右耳外耳道深处红肿、化脓,耳道口有黄色透明脓液沿外耳轮廓向下流,并在耳垂及耳前交界处结黄色痂,附着于耳周皮肤。
外耳道
渗液
霉菌性外耳道炎耳朵流黄水图
霉菌性外耳道炎患儿耳朵会有黄水渗出的情况,多因细菌感染引起,随病情发展会导致局部化脓、结痂,应在医生指导下应用药物治疗。
外耳道
化脓
霉菌性外耳道炎耳朵里流黄脓图
霉菌性外耳道炎外耳道检查时,外耳道弥漫性充血,而且附着有大量黄白色脓液,质地较为粘稠,阻塞部分外耳道口,伴随有外耳道瘙痒和灼热感。
外耳道
化脓
霉菌性外耳道炎耳朵里有白色脓样分泌物图
霉菌性外耳道炎患者的外耳道有大块的灰白色脓性分泌物,表面湿润,周围还有黑棕色的痂皮,呈颗粒状,表面凹凸不平,患者自觉耳朵瘙痒。
外耳道
脱屑 · 化脓
霉菌性外耳道炎耳朵里有脓性分泌物图
霉菌性外耳道炎患者的外耳道处有大量黄白色脓液性分泌物,团块状附着于外耳道壁上,边缘有碎纸样白色鳞屑,耳朵内部黏液呈灰黑色,伴瘙痒感。
外耳道
化脓
霉菌性外耳道炎外耳道有白色脓样分泌物图
霉菌性外耳道炎临床症状为外耳道上有很多干燥样分泌物,表面凹凸不平,外观如粉末状,周围有伴随有明显的红肿,患者自觉耳朵瘙痒、胀痛。
外耳道
化脓
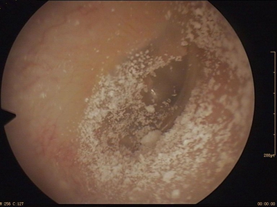
霉菌性外耳道炎外耳道有大量的分泌物图
霉菌性外耳道炎患者外耳道侧壁有明显的红肿,并且还有大量的分泌物,颜色深浅不一,呈黑色、黄色或白色,部分分泌物与耳朵内的绒毛相互粘连。
外耳道
化脓
霉菌性外耳道炎耳朵流脓图
霉菌性外耳道炎受真菌团块刺激,患者的左侧外耳道可有大量黄色的脓性分泌物流出,并在耳朵局部靠近外耳道口处结黄痂,由真菌大量繁殖导致。
外耳道
化脓
霉菌性外耳道炎外耳道有黄色膜样分泌物图
霉菌性外耳道炎患者的外耳道壁上有数量众多的黄白色脓性分泌物,表面干燥,外观呈云雾状团块,与黏膜联系紧密,覆盖大部分耳道,周围显著水肿,伴胀痛感。
外耳道
化脓
霉菌性外耳道炎外耳道壁红肿充血有大片黄白色分泌物图
霉菌性外耳道炎患者的外耳道壁明显红肿,耳道口狭窄呈不规则性,表面凹凸不平,有较多的褶皱,附着大块的云雾状的黄白色脓性分泌物。
外耳道
化脓
霉菌性外耳道炎外耳道及鼓膜上有大量灰白色分泌物图
霉菌性外耳道炎患者的外耳道周围红肿,外耳道壁及鼓膜上有大量灰白色脓液性分泌物,表面凹凸不平,有许多的疣状凸起,堵塞大部分耳道。
外耳道
化脓
霉菌性外耳道炎耳朵里面有白色碎块分泌物图
霉菌性外耳道炎患者耳朵里面会出现脓性分泌物,检查时发现耳朵里面有白色和黄色的碎块样分泌物,患者有明显的耳痒、闷胀感等症状。
外耳道
化脓 · 黄痂
霉菌性外耳道炎外耳道化脓结黄痂图
霉菌性外耳道炎患儿的右侧耳朵部位有半透明的脓性分泌物流出,并在耳朵外面靠近外耳道口处形成一圈黄色结痂,患儿可因耳朵瘙痒不断搔抓。
霉菌性外耳道炎相关知识
霉菌性外耳道炎主要症状为耳内发痒,以夜间为甚,伴闷胀感,合并细菌感染时可出现外耳道红肿、疼痛和流脓,轻者无症状。检查见外耳道和鼓膜表面有白色、黄色呈粉末状、丝状或块状的霉苔。
霉菌性外耳道炎致病的真菌种类很多,以曲霉菌、青霉菌及念珠菌等较为常见。当外耳道进水或积存分泌物、长期用抗生素液滴耳等情况下,较易受真菌感染。
霉菌性外耳道炎患者可行清创术清除肉芽、坏死组织脓液,用水杨酸乙醇溶液或麝香草酚乙醇溶液涂耳。也可用制霉菌素喷于外耳道或涂用咪唑类广谱抗霉菌药。根据真菌培养结果,选择敏感抗真菌药物。尽量保持外耳道干燥。
参考文献
[1]孙虹,张罗.耳鼻咽喉头颈外科学.第9版[M].北京.人民卫生出版社.2018.82-83.
[2]文忠等主编.耳鼻咽喉头颈外科临床治疗学[M].长春:吉林科学技术出版社,2019.03.177.
相关科普
霉菌性外耳道炎如何治疗好
郑贵亮
上海交通大学医学院附属新华医院
白癜风的治疗方法
刘文斌
北京航天总医院
白癜风饮食要注意什么
刘文斌
北京航天总医院
银屑病分为哪些类型
张涛
北京协和医院
牛皮癣的治疗需要多长时间
张涛
北京协和医院
银屑病患者如何选择衣着
张涛
北京协和医院
儿童肥胖症的判断标准
李时莲
首都医科大学附属北京儿童医院
宫颈癌疫苗有用吗
段微
首都医科大学北京妇产医院
得了宫颈癌还可以生孩子吗
段微
首都医科大学北京妇产医院
肥胖症儿童如何饮食
李时莲
首都医科大学附属北京儿童医院