痛风症状图片

本文由有来医生原创,经专业医师审核校对
所有图片质量和准确性经专业医生严格审查

痛风是由于嘌呤代谢紊乱和尿酸排出减少,而引起的尿酸盐结晶沉积性病变,可累及指关节、第一跖趾关节、耳廓等处,造成急性炎症反应性滑膜炎。常于中老年发病,男性发病率明显高于女性,以皮下出现痛风石、痛风性关节炎、关节畸形、肾结石或肾脏病变为临床特征。痛风治疗原则为治疗高尿酸血症和控制关节炎。

痛风症状图片

痛风相关知识

痛风急性发作时,表现为关节红肿、灼痛、感觉过敏、活动受限,伴畏寒、发热、头痛、乏力和纳差等症状。常于夜间发作,白天缓解,入夜又发,经几日到几周发作而逐渐停止,关节疼痛缓解。
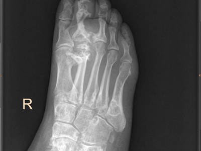
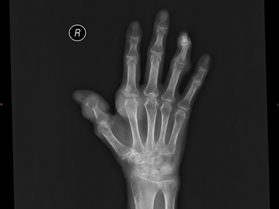
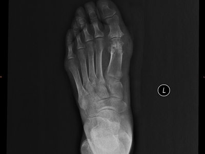
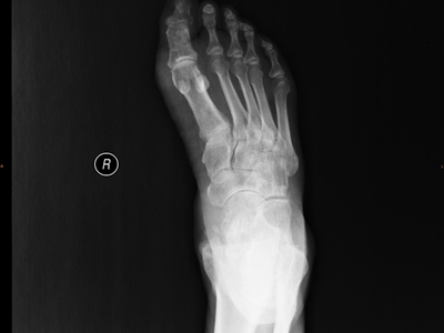
痛风病程较长,常反复发作而迁延不愈形成痛风石,是痛风的特征性临床表现,常见于指关节、第一跖趾关节、耳廓等处。外观为隆起、大小不一的不规则的黄白色赘生物,表面菲薄,破溃后排出白色粉状或糊状尿酸盐结晶物,经久不愈,但较少继发感染。部分患者伴有肾结石及肾脏病变。
痛风病因复杂,可能与遗传、某些疾病有关,还可能与过劳、精神紧张、外伤、感染和酗酒等诱发因素有关。发病机制是由于嘌呤代谢障碍,引起血清尿酸水平升高,尿酸盐沉积于皮下、关节及肾脏等组织中,而出现的代谢障碍性疾病。
痛风治疗可分为急性发作期、间歇期和慢性期,单个较大的痛风石可行外科手术切除治疗。
1、急性发作期:患者应卧床休息,抬高患肢,尽快治疗,暂时禁用降尿酸的药物。可遵医嘱使用秋水仙碱,以及非甾体类抗炎药如吲哚美辛、布洛芬和双氯芬酸钠等,对缓解关节疼痛有效;
2、间歇期和慢性期:秋水仙碱可预防痛风急性发作,但不能阻止痛风石的沉积。患者可选用促进尿酸排泄的药物,如丙磺舒、保泰松,同时服用碳酸氢钠碱化尿液,抑制尿酸合成药可选用别嘌醇。日常生活中患者应避免酗酒以及进食含嘌呤高的食物,如动物内脏。

参考文献

[1]张丽芹.现代临床皮肤性病治疗实践[M].长春.吉林科学技术出版社.2018.277-278.

[2]王辰,王建安.内科学下册.第3版[M].北京.人民卫生出版社.2015.1227-1229.

[3]葛均波,徐永健,王辰.内科学.第9版[M].北京.人民卫生出版社.2018.861.

相关疾病

相关科普