痛风性关节炎症状图片

本文由有来医生原创,经专业医师审核校对
所有图片质量和准确性经专业医生严格审查

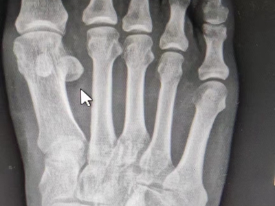
痛风性关节炎是一种特殊的关节炎,是由于血尿酸增高,使尿酸盐结晶沉积造成,诱因与高嘌呤食物、饮酒、受冷或劳累等有关。疾病表现为反复发作的肿胀、疼痛,伴有痛风石的形成和慢性关节变形,应积极进行药物或手术治疗。

痛风性关节炎症状图片

痛风性关节炎相关知识

痛风性关节炎好发于40岁以上男性,多见于第一跖趾关节,也可发生于其他较大关节,如踝部关节、膝关节、手指关节等,表现为突然出现的关节肿胀和剧痛,受累关节及其周围软组织明显发红、发热和肿胀,剧痛难忍,以及关节活动受限,伴有痛风石的形成和慢性关节变形。
痛风性关节炎是众多关节炎类型中的一种,是由于血尿酸增高,尿酸盐结晶在关节、滑囊、软骨、骨质或关节周围组织以结晶形式沉积,并引起一系列炎症反应所造成,高嘌呤食物、饮酒、受冷或劳累等因素易诱发痛风。
痛风性关节炎患者应注意休息,可应用秋水仙碱、塞来昔布等药物消肿止痛,若痛风石不断变大,可行手术治疗。

参考文献

[1]沈尚模主编.骨科疾病临床诊疗思维[M].昆明市:云南科学技术出版社,2020.07.584-585.

[2]王勇主编.临床骨科疾病诊疗研究[M].长春:吉林科学技术出版社,2020.06.306-307.

相关科普